-
胃蛋白酶作用的最适pH是
-
可用作杂交探针标记物的不包括
-
培养细胞的长期冻存,需要保存在
-
在巴氏染色的宫颈/阴道涂片中,见到高度可疑的恶性细胞,应诊断为
-
常规制片HE染色中分化的作用是
-
常规HE染色中分化液的配制为
-
超薄切片的厚度一般为
-
在免疫组化染色时,大部分抗体在37℃下的温育时间是
-
下列关于嗜酸性粒细胞形态结构的叙述,错误的是
-
在组织处理过程中,造成组织硬脆的主要原因是
-
下列不是病理常规档案资料的是
-
在常规HE染色中细胞质的着色原理是
-
成人脊髓下端平对
-
患者男性,15岁。左膝关节上方骨性肿块突起,伴轻微疼痛1年余。X线检查见左股骨远侧内侧干骺端向外突出的骨性赘生物,界限清楚。根据上述资料,应首先考虑()
-
下列病变均可发生营养不良性钙化,除外
-
不经眶上裂入眶的结构是
-
哪种细胞的突起形成视神经
-
营养不良性钙化的病灶可见于下列组织内,除外
-
可诊断为急性粒细胞白血病的患者是
-
卵巢肿瘤,光镜下可见到:①梁型类癌;②岛型类癌;③甲状腺滤泡;④黏液上皮,应诊断
-
移行上皮分布于
-
乳腺髓样癌的形态特点为
-
下列关于细胞内糖原沉积的叙述,错误的是
-
被覆上皮的分类依据是
-
下列关于淀粉样变性的叙述,错误的是
-
电突触属于
-
由双层腹膜形成的韧带是
-
十二指肠大乳头位于
-
下列哪项不是先天性心脏病的病因
-
角化珠形成见于
-
脑膜中动脉是
-
不属于下消化道的是
-
空肠大部分位于
-
关于细胞癌基因,正确的概念是
-
处于活化状态的真核基因对DNaseⅠ
-
AFP是
-
青霉素过敏性休克
-
在蛋白质生物合成中催化氨基酸之间肽键形成的酶是
-
参加生物转化的有关氧化酶是
-
下列哪一项不是肠道病毒的共同特征
-
不侵犯中枢神经系统的病毒是
-
结核菌
-
能够产生抗体的结构是
-
关于超敏反应正确理解是
-
沙门菌属的致病物质是
-
与细菌致病性无关的结构是
-
参与氨基酸脱氨基作用
-
再次应答中最重要的APC是
-
RNA和DNA彻底水解后的产物是
-
按数量计算胆固醇在体内代谢的主要去路是转变成
-
下列氨基酸为含硫氨基酸的是
-
通过膜受体发挥作用的是
-
下列真菌中最易侵犯脑组织的是
-
在组织中的主要APC是
-
pH对酶促反应的影响是
-
以下哪种是人工主动免疫
-
下列对血清的叙述正确的是血液
-
目前认为基因表达调控的主要环节是
-
下列适于用抗酸染色法染色的细菌是
-
T细胞分化成熟的场所是
-
PCR仪需设置不同温度循环主要解决的问题是
-
下列哪项不属于肿瘤
-
白细胞共同抗原(LCA)不能标记的细胞是
-
电镜下可见黑色素小体、丰富而细长的微绒毛,诊断是
-
下列病毒包涵体必须通过Macchiavello包涵体染色才能看到的是
-
左锁骨上淋巴结转移性腺癌的最可能来源是
-
在常规制片HE染色中,细胞核的染色原理是
-
细菌性痢疾的病变特征是
-
为了查询麻风病例,应用病理资料档案管理系统检索时,应使用的参数是
-
单核细胞围绕寄生虫卵形成的结节状病灶称之
-
尤因肉瘤(尤文肉瘤)的特征抗体是
-
哪一项不是影响组织固定结果的因素
-
核酸与核苷酸的关系是
-
TaqDNA聚合酶来源于
-
在透射电镜下不含粗面内质网的细胞是
-
下列描述哪项是错误的
-
肉芽组织的结局是
-
对肿瘤正确的描述是
-
用于石蜡切片RNA原位杂交首选的探针是
-
胃黏膜表面的被覆上皮为
-
关于大叶性肺炎错误的描述是
-
哪项不属于腺癌的类型
-
上皮性恶性肿瘤的重要标记是
-
肾小球肾炎主要的致病菌是
-
有关肉芽组织的描述中,不恰当的提法是
-
与宫颈癌发生基本无关的是
-
胃黏膜腺体中出现肠上皮的现象称
-
间接免疫荧光染色法不需要下列哪一项
-
下列哪种器官被覆的上皮不属于柱状上皮
-
区别淋巴瘤和其他肿瘤的良好标记是
-
肾穿刺活检病理诊断的标本处理,通常将样品分割为几份,用于
-
DNA复制发生在
-
下列关于乳腺癌的描述,正确的是
-
肠阿米巴病的溃疡特征是
-
检测某特定已知DNA片段的点突变,应采用
-
管壁最薄的是
-
心肌梗死区的坏死多为
-
用于标记胶质细胞肿瘤的抗体是
-
用于标记上皮性肿瘤的抗体是
-
适用于石蜡切片星形细胞染色的方法是
-
用于标记间叶性肿瘤的抗体是
-
B型萎缩性胃炎的特点是
-
良恶性肿瘤的根本区别在于
-
原位PCR和普通PCR在操作过程中的不同点是
-
一个抗体分子上有几个抗原结合位点
-
在中枢神经系统中,形成髓鞘的细胞是
-
食管高分化鳞癌的组织学特点是
-
结缔组织染色中Masson三色的染色结果为
-
动脉粥样硬化血管内膜早期病变是
-
肾梗死区的坏死多为
-
肝脂肪变性所形成的细胞内空泡的主要成分是
-
关于大叶性肺炎的描述中哪项是错误的
-
体外培养细胞属悬浮型生长方式的细胞是
-
PCR实验室要求区分至少3个实验区,其主要的目的是
-
基因表达过程中,翻译是指
-
细胞因子主要由哪些细胞产生
-
5种免疫球蛋白的划分依据
-
DNA分子互补碱基对之间的氢键断裂变成单链称为
-
电镜下哪个结构中既有粗肌丝又有细肌丝
-
具有免疫原性的物质,分子量常大于
-
与病理大体标本的固定原则不符的是
-
在下列反应体系中,可不设置探针的是
-
下列哪一种染色过程会出现异染反应(变色反应)
-
用六铵银染色法白色念珠菌显示
-
下列哪一项物质不能用于抗体标记
-
SP法免疫组化第二抗体的标记物是
-
下列哪一项不属于固定液
-
组织切片染色成功的关键一环是
-
显示普通细菌的方法为
-
用普通切片机切制光镜检查用的树脂包埋半薄切片时,最好选用
-
在超薄切片技术中,常用的后固定液是
-
骨组织经酸性脱钙液脱钙后一般需用流水冲洗,其主要目的是
-
下列哪项仪器可进行组织的亚细胞结构观察
-
自动染色机HE染色与人工操作步骤相比的最大优点为
-
怀疑食管癌做细胞学检查时适合用哪种技术
-
与电镜样品制作无关的试剂是
-
与胶原纤维染色比较VanGieson(V.G)法的缺点是
-
下列不符合细胞体外培养的必需条件是
-
用甲基绿-派洛宁染色显示细胞内核酸时,染液的pH值应控制在
-
下列哪项仪器可进行组织切片的自发荧光观察
-
保持组织细胞内抗原物质和免疫活性的主要环节是
-
在病理组织制片中最常用的组织切片刀的种类有
-
Mallory磷钨酸苏木精染色可染
-
火棉胶包埋法主要用于
-
最常用的脱水剂是
-
为求得显微摄影中为波拉片(一步成像片)的正确曝光效果,曝光时间调节在
-
在Giemsa改良法嗜铬细胞染色中,切片染色后所用的脱水剂是
-
真菌用高碘酸无色复红染色法显示为
-
宫颈脱落细胞学检查最常用的染色方法是
-
Gomori银染色法的结果正确的是
-
RNA探针长度最佳是
-
常规HE染色中伊红染液的浓度是
-
天狼星红苦味酸染色法在偏光显微镜下观察结果不正确的是
-
在Gram染色中,使Gram阴性菌着色的染料是
-
下列组织中呈现嗜银性的是
-
下列中哪一项属于PCR抑制剂
-
下列叙述中哪一项不是增强免疫组化敏感性手段
-
下列哪种细胞通常为角蛋白阳性
-
组织学应用最广泛的染色方法是
-
尸体解剖操作原则为
-
用Giemsa染色染螺旋体时所用的分化液成分是
-
不属于脱落细胞学检查的标本是
-
病理解剖室最常用的消毒方法是
-
恒冷切片机箱内标准温度范围是
-
关于显微镜的成像效果,下列目镜和物镜组合哪项最佳
-
目前霍奇金病肿瘤性细胞里-斯细胞(R-S细胞)石蜡切片常用标记抗体是什么
-
下列染料含有酸性助色团的是
-
肾穿组织做电镜检查时,常用固定液是
-
不能消除荧光染色非特异性物质的是
-
脂肪染色时,应使用的制片方法是
-
不属于脱落细胞学检查的制片方法是
-
在病理资料档案管理系统中,一般是以下列哪项内容进行排序
-
角蛋白标记为阴性的细胞是
-
活检标本做冷冻切片,为了防止出现冰晶,需要首先在下列哪种情况下进行冷冻
-
显示糖原的最常用的染色方法是
-
怀疑肺癌做细胞学检查时,适合采用的技术是
-
革兰染色中,将细菌染成蓝色的染料是
-
聚合酶链反应实现自动化有赖于
-
尸体解剖组织采用福尔马林固定,固定液体积应为
-
下列哪项是辣根过氧化物酶的底物
-
常规制片中(HE染色)细胞核的染色原理是
-
软骨膜的组织属性是
-
下列哪种试剂可用于脱石蜡切片中的甲醛色素
-
在巴氏染色的宫颈/阴道涂片中,见到有中度核异质细胞,应诊断为
-
刚果红染色的正确做法是
-
在常规HE染色中,细胞质呈
-
显微摄影中为加强波拉片(一步成像片)颜色的反差多选用何种滤色镜
-
关于膀胱的描述,正确的是
-
感觉神经元的胞体分布于
-
骨骼肌纤维的横小管由
-
骨化性纤维瘤与骨纤维结构不良的病理鉴别诊断要点是
-
慢性支气管炎最主要的病因是
-
良性间皮增生的病理特点不包括
-
属于眼球中膜(血管膜)的结构是
-
下列有关泌尿系统的叙述,错误的是
-
小叶性肺炎不具有下列哪种描述的特征
-
激活胃蛋白酶原的是
-
心脏黏液瘤大体病理形态学特点及发生部位不包括
-
输尿管生理性狭窄最窄的部位在
-
男性,13岁,甲状腺结节6个月。切除标本里实性,切面乳头状。结节由增生乳头构成,乳头细长,2、3级分枝,被覆单层肥硕的上皮细胞,极向紊乱,核异型,核沟多,未见核分裂象,间质可见砂粒体。最可能的病理诊断是
-
肾单位的组成包括
-
关于凝固性坏死的叙述,下列错误的是
-
下列定义中哪项正确
-
下列的哪一项与甲状腺非典型腺瘤有关
-
T细胞的功能是
-
支气管肺炎基本病变为
-
下列哪种肠管疾病具有如下的病变:溃疡边缘不整,其长轴与肠轴垂直,溃疡底部附有干酪样坏死物
-
关于肺的描述正确的是
-
完全性葡萄胎是指
-
阑尾壁内有大量嗜酸性粒细胞浸润的疾病为
-
关于阑尾类癌的表述下列哪一项不正确
-
卵巢甲状腺肿型类癌,哪种标志不表达
-
下列颅骨中成对的是
-
卵巢颗粒细胞瘤的光镜下结构不包括
-
大肠最短、最宽的一段为
-
含视紫红质、感暗光和弱光的是
-
下列化合物中不以胆固醇为合成原料的是
-
在DNA双螺旋结构中,碱基互补配对规律是
-
胆红素在血中的转运形式主要是
-
下列辅酶或辅基中含有维生素PP的是
-
关于佐剂的叙述,下列哪项错误
-
以RNA作模板,催化合成cDNA第一条链的酶是
-
糖酵解途径中,催化作用物水平磷酸化的酶是
-
下列物质中不是细菌合成代谢产物的为
-
与动物细胞结构相比较,细菌所特有的一种重要结构是
-
合成血红素的原料是琥珀酰CoA和
-
与细菌在体内扩散无关的酶是
-
下列对脂肪酸合成的叙述中错误的是
-
介导迟发型超敏反应的细胞是
-
ABO血型抗原是
-
可将志贺菌从其他肠道杆菌中鉴别出来的生化反应方法是
-
异种动物血清是
-
转化生长因子的缩写
-
浆细胞主要存在于
-
无色的胆色素是
-
生物体内氨基酸脱氨的主要方式是
-
与致病性相关的细菌结构是
-
MTX(氨甲蝶呤)抑癌作用的原理是抑制
-
应给夜盲症患者服用下列哪种维生素
-
下列氨基酸不是L-α-氨基酸的是
-
酶促反应具有极高效率的原因是
-
下列细胞再生能力最弱的是
-
湿性坏疽的表现特征是
-
在聚合酶链反应实验操作中,不应进入反应液中的物质是
-
我国引起门脉性肝硬化的主要原因是
-
下列哪一项不属于相差的范围
-
Westernblot用于
-
心内膜的被覆细胞为
-
在原位分子杂交技术中,切片用多聚甲醛后固定,浸入乙酸酐和三乙醇胺中的作用是
-
下列哪项不是胆汁性肝硬化的病变特点
-
目前研究证实,与宫颈癌发生有关的人类病毒是
-
苯胺蓝是属于
-
下述属于坏死的病理改变是
-
不属于大叶性肺炎合并症的是
-
普通PCR方法采用热循环PCR仪,以凝胶电泳检测,它不具备的优点是
-
高血压病时细动脉壁的变性称为
-
易引起大出血的消化性溃疡最可能的部位是
-
下列哪项不属于恶性肿瘤细胞的异型性
-
Orth固定液不含下列哪种成分
-
用于甲状腺髓样癌与转移性腺癌的鉴别诊断用
-
细胞和个体的基因型取决于
-
大叶性肺炎的病变实质为
-
血管内皮肿瘤的特征抗体是
-
萎缩的主要形态标志是
-
属于非内源性色素的是
-
用于显示胶原纤维、网状纤维和弹性纤维的三联染色法,下列结果正确的是
-
下列关于胶原纤维染色的应用错误的是
-
腹膜种植性转移可来自
-
CD117的检测用于诊断
-
黏液染色中用AB-PAS染色法染色,酸性黏多糖被染成的颜色是
-
巨噬细胞和淋巴细胞浸润最常见于
-
透明血栓的主要成分是
-
伊红-Y的酸性助色团是
-
用于标记肠癌的抗体是
-
下列哪种是脂质染色阳性的肿瘤
-
起源于神经外胚叶的肿瘤称为
-
CD117抗体所检测的是
-
在免疫组织化学技术中,对固定剂的要求不包括
-
恒冷箱冷冻组织切片时出现皱褶应调节
-
CD8+细胞是
-
下列关于流式细胞仪的描述,哪项是正确的
-
长骨粉碎性骨折时最易发生
-
恶性肿瘤很少转移至
-
显微分光光度计的应用范围不包括
-
组织脱钙一般不使用的酸是
-
不伴有细胞增生的肥大器官常是
-
按照微生物控制标准,标准化实验动物可分为以下5级;其中只适用于生物学教学,不可用于研究性试验的是
-
柱状上皮常化生为
-
下列哪一项不是细胞凋亡的形态表现
-
溃疡型胃癌与胃溃疡在病理形态上主要不同点是
-
下列哪种痰标本瘤细胞阳性率高
-
图像定量分析中体视学参数不包含的是
-
急性胰腺炎引起的坏死为
-
慢性支气管炎的发病与下列哪项因素有关
-
甲基丙烯乙二醇是一种
-
下列哪种是结蛋白染色阳性的肿瘤
-
RNA病毒中可作为遗传信息的载体是
-
细胞器内包括下列哪种物质
-
目前诊断肿瘤最可靠、准确性最高的方法是
-
血液中T细胞占淋巴细胞的
-
关于核糖核酸正确的说法是
-
用于乳腺癌病人预后判断
-
mRNA是指
-
淋巴结转移性癌诊断的可靠依据是
-
可以用作杂交探针标记物的不包括
-
用Kaiserling法制作原色标本过程中,第二液(回色液)是下列哪种溶液
-
细胞坏死的主要形态标志是
-
哪一种物质一般不属于纤维素样变性的成分
-
鉴别胶原纤维和肌纤维最宜采用的染色方法是
-
主动脉的特点是
-
肺高分化鳞癌的组织学特点是
-
乳腺癌最常见的组织学类型是
-
肝细胞癌病人最有诊断意义的血清学指标是
-
最能体现腺癌特点的是
-
不属于凋亡细胞形态学特征的是
-
切片染色封片后,肉眼见有白色雾状,其原因是
-
对实验动物的脑、脊髓等器官欲做电镜检查,应采用最好的固定方法是
-
抗酸菌染色所用的染液是
-
在透射电镜样品取材时,下面哪一项不正确
-
滑膜肉瘤最具意义的、最快捷的诊断方法是
-
下列哪种特殊染色方法主要用物理现象中的溶解和渗透解释
-
下列染料中不属于细胞质染料的是
-
为缩短冷冻切片HE染色的时间,应该
-
使用轮转式切片机切片时,最好将蜡块较为硬脆难切的部分放在
-
计算机图像分析一般指的是
-
常规组织包埋法一般是指
-
不属于减少或消除非特异性染色的血清是
-
在阿辛蓝-PAS(AB-PAS)染色的切片中,酸性黏液呈
-
新生儿尸检应用的沉浮试验检查什么脏器
-
Mallory磷钨酸苏木精染色既可染肌肉横纹,又可染
-
下列哪种组织较难切制冷冻切片
-
下列哪一项不是显微镜的配件
-
在常规石蜡制片HE染色中,二甲苯除脱蜡的作用外,另外的用途是
-
高碘酸-Schiff法中,高碘酸的作用是
-
免疫荧光间接法的特点是
-
福尔马林色素的形成是由于
-
为显示组织中的糖类,应选用下列哪种单纯固定液固定组织
-
尸体解剖打开小肠应
-
区分淋巴瘤与未分化癌的较好初筛标记物是
-
衡量显微镜性能的重要技术参数是
-
皮肤切片用轮转式切片机切取时,应
-
RNA原位杂交的温度一般应设置和调节在
-
体外培养的细胞一代生长过程一般经历
-
在阴道脱落细胞涂片中能估计雌激素水平的染色方法是
-
病理组织学中最常用的染色方法是
-
在计算机病案管理系统中,认定某病人最确切的参数是
-
切片时,出现薄厚不匀现象的原因是
-
组织块经过二甲苯处理的过程称为透明,其主要目的是
-
苦味酸属于
-
显示早期缺氧心肌的Nagar-Oslen染色所用的分化剂是
-
不符合以化学性质为依据分类的物质是
-
脂肪染色切片常用的封固剂为
-
RT-PCR也称为
-
有一种PAS阳性物质,经淀粉酶消化后变为PAS阴性。该物质最有可能为
-
下列哪项是生物染料的助色团
-
石蜡切片在染色时有时会发生脱片,其最不可能的原因
-
兼有固定和脱水作用的单纯固定液是
-
未经脱钙的骨髓组织包埋应选用
-
淋巴瘤分型标记抗体较多,但目前常用于石蜡切片的B细胞标记抗体是
-
网状纤维染色的基本原理是网状纤维中的组织蛋白质与
-
透射电镜样品取材固定最佳温度是
-
阴道脱落细胞涂片最常用的固定方法是
-
Masson三色染色所用的分化剂是
-
浅表性肿物做细胞学检查时适合用的技术是
-
显示乙型肝炎表面抗原的方法为
-
免疫组化抗体稀释液中加入BSA(牛血清蛋白)是为了
-
在常规制片HE染色中分化的作用是
-
引物原则性的长度是
-
急性炎症可分为
-
下列哪一项与甲状腺髓样癌有关
-
引起心脏收缩的起搏细胞是
-
最常见的致炎因子为
-
关于坏死的说法,正确的是
-
超急性排斥反应的发生是由于在接受移植物之前受体血循环中已具有下列哪一种物质
-
加入抗凝剂的血液离心沉淀后从上到下分为如下三层
-
关于成人脊髓位置的描述,正确的是
-
由上下相邻椎骨上、下切迹围成的结构是
-
淋巴结转移性癌的诊断依据是
-
浆膜梭形细胞肿瘤,CD34阳性而CD117阴性提示
-
幼稚红细胞合成血红蛋白的结构是
-
壁胸膜和脏胸膜相互移行的部位是
-
乳腺浸润性小叶癌常表现为
-
对亚急性肉芽肿性甲状腺炎恰当的评价应该是
-
下列有关血栓的描述中,不正确的是()。
-
应用免疫荧光法检测毛细血管内增生性肾小球肾炎时,显示荧光的物质是
-
关于变移上皮,下列哪项错误
-
血液内的淋巴细胞进入脾内淋巴组织的重要通道是
-
播散性腹膜平滑肌瘤病
-
急性胰腺炎最主要的发病因素是
-
引起猝死的常见疾病通常不包括
-
下列哪个器官无血窦
-
能协助解释Cushing征的免疫组织化学标记物为
-
人体内最大的内分泌腺是
-
肺小细胞未分化癌
-
乳腺导管扩张症的组织学改变的特点是
-
骨化性肌炎的特征性变化是
-
食管癌最常见的组织学类型是
-
恶性肿瘤的重要生物学特性不包括
-
使瞳孔缩小的神经是
-
贲门下缘水平线以上部分称为
-
子宫颈上皮内瘤变Ⅱ级(CINⅡ)是指
-
有关梅毒性主动脉炎的病变叙述,不正确的是
-
动眼神经出颅的部位是
-
周围神经的每条神经纤维表面均有薄层结缔组织,它称
-
胃及十二指肠溃疡病的镜下改变可分为四层,由浅到深可分为
-
与甲状旁腺腺瘤无关的病变是
-
喉腔最狭窄的部位是
-
右肺下缘的体表投影在肩胛线处与
-
在深静脉血栓形成(DVT)中,血栓最常见于以下哪个部位
-
左心衰竭时发生淤血的器官是
-
肾
-
淋巴结内发生体液免疫应答的部位在
-
心脏的正常起搏点是
-
动脉韧带
-
分泌盐酸和内因子的是
-
指出下列何种卵巢肿瘤具有胚胎样小体结构
-
急性感染时的菌血症,可引起血管炎而出现脾粟粒大小梗死灶。上述变化可称为
-
神经性皮炎与银屑病的病理组织学变化中,有哪项基本相似
-
三角肌主要可使臂
-
Krukenberg瘤是指()。
-
小肠腺与大肠腺的区别是
-
光镜下HE染色的透明软骨看不到纤维的原因是
-
胃液中盐酸的分泌部位主要是
-
胆小管的管壁是
-
构成心右缘的主要结构是
-
肝脂肪沉积比较显著时,其变化是
-
光镜下所见的纹状缘或刷状缘,电镜下是
-
关于银屑病的描述中,不正确的是
-
下列哪一病灶不能被机化
-
黄色肉芽肿性肾盂肾炎的病理特点是
-
关于脑室的叙述,错误的是
-
不与胃后壁毗邻的结构是
-
从脑干背侧出脑的脑神经是
-
下列定义中哪项正确
-
巨噬细胞来源的细胞是
-
流行性乙型脑炎主要累及
-
肠道类癌细胞免疫组化阳性标记物不包括
-
肺循环起始于
-
某医师在为患者旋行右侧乳房肿瘤摘除术时,发现左侧乳房也有肿瘤,当即进行活检,确诊为乳腺病。医师判断将来可能癌变,未征求患者意见,同时切除了左侧乳房。医师的这种做法,违背了病人权利的哪一点
-
在诊治过程中,病人也要履行其基本的义务,一般说来,这些义务不包括:
-
瘤细胞呈实性梁状、片状,有腺样结构,细胞有异型性,血管少的是
-
若某人的血清中仅含有抗A凝集素,则其血型为
-
呼吸道中由左右板合成的软骨是
-
动脉粥样硬化病变好发于
-
关于膀胱的描述,正确的是
-
T细胞的功能是
-
复层扁平上皮细胞间最多见的细胞连接
-
皮肤角化性棘皮瘤与高分化鳞状细胞癌鉴别诊断的最主要指标是
-
原发性肺结核发生血道散播时,引起的血源性结核病有哪三种类型
-
破坏疏松结缔组织基质的成分是
-
最明显而固定的直肠横壁距肛门约
-
以下哪一项不是鼻咽癌淋巴道转移的特点
-
支气管扩张的镜下病变不包括
-
一块椎骨的椎体和椎弓围成
-
消化管的肌层
-
胸骨角平对于第几肋前端
-
肩胛下角高度约平
-
营养不良性钙化的病灶可见于下列组织内,不包括()。
-
胃肠内面的上皮属于
-
属于腹膜外位器官的是
-
有髓神经纤维传导速度快的原因是
-
女性,25岁,出现甲状腺功能亢进症象,行甲状腺部分切除术后仍显甲亢。盆腔B超发现右侧卵巢肿瘤,将该肿瘤切除后,甲亢症状逐渐消失。该卵巢肿瘤属于
-
纤维组织来源的恶性肿瘤,按命名原则应称为()。
-
缝隙连接的主要功能
-
成人的子宫呈
-
大肠癌最常发生于
-
心血管内膜受损时,促进血栓形成的因素不包括()。
-
B细胞可分化成
-
区分心房和心室的标志是
-
矽肺最常见的合并症是
-
平静呼吸时胸式呼吸以哪种肌的活动为主
-
其发病与激素影响有关的疾病是
-
结节性多动脉炎第一期的血管主要病变为
-
横结肠左侧与降结肠的移行部称
-
与卵巢子宫内膜样癌的病理形态类型相同的是
-
良性高血压病脑的病理变化为
-
涂片中的鳞状细胞癌细胞形态特点是
-
弥漫毒性甲状腺肿
-
寻常疣的特征性改变
-
在溃疡愈合期,填补溃疡的是
-
与肱骨构成肩关节的结构是
-
成人肝位置的描述,错误的是
-
真皮内痣可见
-
弥漫性毛细血管内增生性肾小球肾炎病变有
-
下列不见于微小病变性肾小球肾炎的特点是
-
控制舌运动的脑神经是
-
桥本甲状腺炎
-
化脓性炎症以下列哪一特征为主
-
肝总管和胆囊管共同汇合成
-
下列位于颅后窝的结构是
-
下列不属于下肢骨的是
-
乳腺导管内癌的典型组织学结构是
-
幼年性息肉腺体的特点是
-
生命中枢在
-
患者女性,18岁。盆腔B超发现右侧卵巢肿瘤手拳大小,经手术摘除,卵巢肿瘤呈实性,伴小灶性坏死,光镜下见到肿瘤呈软骨、横纹肌母细胞、神经胶质纤维及神经母细胞等分化。应诊断
-
关于创伤一期愈合增生和瘢痕形成正确的是()。
-
突触前成分属于下列哪个结构的一部分
-
关于心外膜哪项错误
-
溃疡性结肠炎主要表现为
-
阑尾
-
胃左动脉
-
患者男,25岁。左腹股沟出现一核桃大肿物,病理显示瘤细胞核仁明显、胞质透明,呈实性巢状排列,巢间混有淋巴样细胞。该患者可能患有
-
草莓胆囊在光镜下的突出表现为
-
与延髓相连的脑神经是
-
肾细胞癌来源于
-
大叶性肺炎的肉质变是由于
-
滤过血液的主要免疫器官是
-
关于被覆上皮的结构特点,哪一项是错误的
-
下列哪项不是肠慢性血吸虫病时结肠病变的特点
-
痰涂片中恶性肿瘤细胞的形态特点不包括
-
关于肝细胞腺瘤的表述,下列哪项不正确
-
血吸虫病变主要累及
-
颈椎最主要的特征是
-
子宫颈CINⅡ是指
-
不属于单核-吞噬细胞系统的是
-
以中性粒细胞浸润为主的炎症为()。
-
下列有关气管的叙述,错误的是
-
感觉神经元的胞体分布于
-
下列上皮中,含有杯状细胞的是
-
肺小叶是指
-
副神经节瘤的镜下形态特征是
-
下列关于风湿性心内膜炎的叙述中,哪一项错误
-
关于结核病下列说法不正确的是
-
乙醇性肝炎与乙型肝炎主要不同点是
-
循环管道的三层结构中,变化最大的是
-
下列关于流感病毒及其致病性的描述,不正确的一项是
-
下列有关衣原体正确的描述是
-
细菌经紫外照射引起DNA损伤时,编码DNA修复酶的基因表达增强。DNA修复酶的基因表达属于
-
百白破疫苗包括
-
关于补体的叙述哪项错误是
-
下列引起人畜共患疾病的细菌是
-
DNA复制时,模板序列5′-TAGA-3′将合成下列哪种互补序列
-
引起破伤风梭菌感染最常见的创伤是
-
下列有关酮体的叙述中错误的是
-
人体生命活动主要的直接供能物质是
-
能保护酶分子上的巯基的物质是
-
决定Ig类和亚类的部位
-
不能产生乙酰辅酶A的是
-
MTX(氨甲蝶呤)是
-
乙型肝炎病毒(HBV)感染不引起
-
肉毒毒素的作用部位是
-
为真核基因转录激活所必不可少
-
糖原分解的关键酶是
-
DNA变性是指
-
RNA和DNA彻底水解后的产物是
-
下列关于同工酶的叙述正确的是
-
血清中含量最高的补体成分是
-
肠道杆菌所没有的一种抗原是
-
与O序列结合
-
肌肉中储存能源的物质是
-
表达产物具有G蛋白功能的癌基因是
-
不在蛋白质多肽链中出现的氨基酸是
-
下列哪项是糖原合成的关键酶?
-
氧化磷酸化的耦联部位是
-
免疫应答发生的基地是
-
引起气性坏疽的微生物是
-
正常膳食时体内储存的脂肪主要来自
-
磺胺类药物对于二氢叶酸合成酶的影响属于
-
DNA复制中的引物是
-
下列哪项不是佐剂应有的生物学作用
-
存在于抗原分子表面的,决定抗原特异性的特殊的化学基团称之为
-
与P序列结合
-
肌肉组织中氨基酸脱氨基作用的主要方式是
-
下列关于细菌外毒素的描述,不正确的一项是
-
无细胞壁结构的微生物是
-
参与Ⅰ型超敏反应的主要细胞是
-
6-磷酸葡萄糖脱氢酶缺陷的病人可导致溶血性贫血,被称为蚕豆黄病,此病的直接原因是
-
下列对腮腺炎的描述哪一项错误是
-
脂酰辅酶A进入线粒体的载体是
-
可结合某些药物,使其易溶于水的是
-
细菌侵袭力不包括
-
艾滋病(AIDS)的病原体是
-
脂肪酸合成的关键酶是
-
从小鼠的一种有荚膜的致病性肺炎球菌中提取出的DNA,可使另一种无荚膜、不具有致病性的肺炎球菌转变为有荚膜并具致病性的肺炎球菌,而蛋白质、RNA无此作用,由此,可以证明
-
胰岛素样生长因子的缩写
-
冈崎片段是指
-
下列对葡萄球菌生物学性状的描述中,错误的是
-
基因中有表达活性的编码序列是
-
体内转运一碳单位的载体是
-
能在体内分解产生β-氨基酸的核苷酸是
-
细菌L型是指
-
反式作用因子是指
-
维系蛋白质一级结构的化学键是
-
下列关于DNA碱基组成的叙述,正确的是
-
与正常尿色有关的是
-
下列过程中需要DNA连接酶催化的是
-
对半抗原的正确解释是
-
下列关于酶活性中心的叙述,正确的是
-
与肽链延长有关的是
-
引起酸性磷酸酶活性改变的是
-
参与溶血症的抗体是
-
有些基因的表达产物在生物体整个生命过程都是必不可少的,这类基因在几乎所有细胞中持续表达。这类基因被定义为
-
下列物质不属于生物活性肽的是
-
关于管家基因叙述错误的是( )。
-
关于细胞色素,正确的叙述是
-
在糖酵解、糖有氧氧化及糖异生途径中共有的化合物是
-
1分子葡萄糖无氧酵解时,净生成ATP的数目为
-
机体获得人工主动免疫的方式是
-
通过蛋白激酶G(PKG)通路发挥作用的是
-
EAC和EA花结的阳性细胞是
-
通过蛋白激酶C通路发挥作用的是
-
通过蛋白激酶A(PKA)通路发挥作用的是
-
肝脏进行生物转化时乙酰基的供体是
-
人体内嘌呤核苷酸分解代谢的主要终产物是
-
糖原合成酶是
-
别嘌醇抑制下列哪种物质的生成
-
下列哪种不是疫苗
-
细菌的生长繁殖方式是
-
下列酶中,属于变构酶的是
-
糖原合成中糖链延长时葡萄糖的供体是
-
可识别DNA分子中的特异序列,并切割DNA的酶称
-
成熟的真核生物mRNA5′端具有的结构
-
免疫是指
-
蛋白质翻译的直接模板是
-
疾病的传染源不可能是
-
Lac阻遏蛋白由
-
成熟红细胞的主要能量来源是
-
体内不能合成,必须由食物供应的必需脂肪酸是
-
高压蒸汽灭菌的标准方法是在1.05kg/cm2蒸气压力下(121.3℃),灭菌时间为
-
催化体内储存的三酰甘油水解的脂肪酶是
-
T细胞在胸腺中发育不需要的因素是
-
目前认为与鼻咽癌发病有关的病毒是
-
最直接联系核苷酸合成与糖代谢的物质是
-
α-溶血性链球菌可引起
-
能降低血糖的激素是
-
关于NK细胞正确的叙述是
-
DNA复制时辨认复制起始点主要靠
-
有丙酮酸脱氢酶参与
-
T、B细胞定居、分化、增殖的场所是
-
核酸分子中核苷酸之间的连接键是
-
下列关于酶的描述,哪一项错误
-
丙酮酸脱氢酶系的功能与数种维生素有关,除了
-
RNA的转录过程可分为几个阶段,下列关于RNA转录过程叙述正确的是
-
血浆蛋白质电泳时,泳动速度最快的是
-
蛋白质变性是由于
-
溶菌酶杀灭细菌的作用机制是
-
属于游离型胆汁酸的是
-
关于解耦联剂,错误的是
-
变构效应与酶的结合部位是
-
基本转录因子中直接识别、结合TA-TA盒的是
-
先天性风疹综合征(CRS)的缘由是
-
以下哪种是人工被动免疫
-
与绵羊RBC相结合形成E花环的细胞是
-
仅在肝中合成的化合物是
-
维持血浆胶体渗透压的主要蛋白质是
-
下列哪种物质是体内氨的储存和运输形式?
-
大多数原核基因调控机制
-
白化病患者缺陷的酶是
-
关于肠道杆菌的论述,不正确的是
-
垂直传播是指病毒通过
-
下列哪种因素对氧化磷酸化无影响
-
药物过敏性血小板减少性紫癜
-
构成蛋白质的氨基酸主要为
-
转氨酶的辅酶含有
-
对于菌血症叙述正确的是
-
结核分枝杆菌经抗酸染色法染色后的光学显微镜下的典型形态为
-
血浆蛋白质的pI大多为pH5~6,它们在血液中的主要存在形式是
-
真核细胞中RNA聚合酶Ⅲ催化转录的产物是
-
酶促反应中决定酶特异性的部分是
-
免疫应答的特点不具有
-
肝脏进行生物转化时活性硫酸供体是
-
一个操纵子通常含有
-
细菌的“核质以外遗传物质”是指
-
血浆各类脂蛋白中,按它们所含胆固醇及其酯的量从多到少的排列顺序是
-
糖原的1个葡萄糖残基无氧酵解时,净生成ATP的数目是
-
细菌细胞壁的特有成分是
-
对嘌呤核苷酸的生物合成不产生直接反馈抑制作用的是
-
新生儿早期患呼吸道感染的可能原因是
-
B细胞分化增殖的场所是
-
可引起假膜性肠炎的细菌是
-
嘌呤核苷酸从头合成时首先生成的是
-
抗原呈递细胞不包括
-
符合高能磷酸键的叙述是
-
在合成时不以磷脂酸为前体的脂类是
-
只与酮体生成有关的酶是
-
引起普通感冒最多见的呼吸道病毒是
-
下列关于大肠埃希菌DNA聚合酶的叙述哪一项正确
-
下列对脂肪酸β氧化的叙述中正确的是
-
1分子葡萄糖酵解时可净生成几分子ATP
-
可以经转氨基作用生成草酰乙酸的氨基酸是
-
下列物质中不属于高能化合物的是
-
某糖代谢途径终产物有磷酸己糖,也有CO2;虽有脱氢氧化,但不产生NADH+H+,一般也不产生ATP;其中间产物有的参与核苷酸合成,有的参与脂类合成。该代谢途径是
-
糖原合成的葡萄糖基的直接供体是
-
成熟红细胞内磷酸戊糖途径所生成的NADPH的主要功能之一是
-
关于超抗原的性质,哪一项是正确的
-
核酸分子杂交可发生在DNA与DNA之间、DNA与RNA之间,那么对于单链DNA5′-CGGTA-3′,可与下列哪一种RNA发生杂交
-
以下哪项对于冰冻切片的描述是正确的
-
免疫组化染色失败的原因不包含
-
肥大细胞中不含有何种成分
-
下列关于冷冻切片的错误陈述是
-
常用的组织石蜡切片的透明剂是
-
网状组织主要分布在
-
细胞中出现淀粉样物质称为何种变性
-
一个已经切片的组织蜡块,放置几天后见组织中央凹陷,其最常见的原因是
-
碱性重氮反应法下列哪项是显示的嗜银细胞颗粒的较好方法
-
一氧化碳中毒死亡的尸斑呈
-
要求标本为不用固定液固定的新鲜组织,并需及时送检的病理检查方法是
-
HE的染色切片,见淡红色同质化物质应首先考虑的是
-
抗原的特异性决定于
-
作为乳腺癌和子宫内膜癌的病理检验的重要项目之一的是
-
鳞状上皮主要分布在皮肤,下列哪一项不属于鳞状上皮
-
病理解剖的意义不包括
-
脱落细胞学技术对患者最主要的优点是
-
乙型肝炎病毒的表面抗原用维多利亚蓝染色法,HBsAg呈蓝色,染色中能够分化维多利亚蓝染色液的分化剂是
-
在原位核酸分子杂交技术中预防掉片,效果最好的防脱片剂是
-
T细胞淋巴瘤标记抗体很多,但目前比较常用石蜡切片的全T标记是什么抗体
-
下列病理大体标本的固定原则中错误的是
-
目前,最常用的石蜡切片机是
-
将培养细胞从一个培养瓶转移或移植到另一个培养瓶培养属于
-
在间接荧光染色法显示组织切片中的特异性抗原时,荧光素与何种物质结合?
-
PCR反应循环一般为
-
在免疫组织化学染色中,引起交叉反应的是
-
关于甲醛固定液的描述错误的是()。
-
切片时出现切片压缩和皱褶而不成一平整切片的原因是
-
肝细胞癌的特异性标记抗体是什么
-
戊二醛储存时间过长会使溶液颜色变黄,原因是戊二醛发生了
-
组织石蜡切片的脱水作用是
-
在电镜制样时,对动物组织取材如脑、内耳等采用最好的固定方法是
-
恒冷冰冻组织切片时出现皱褶应调节
-
下列哪一项符合抗原的物理状态分类法分类
-
决定聚丙烯酰胺凝胶电泳孔径大小的主要因素是
-
免疫组化常用的固定液哪项不正确
-
载玻片的合适厚度是
-
合成结构蛋白的细胞器是
-
关于升汞固定液的描述不正确的是
-
胃幽门弯曲菌中含有蛋白和多糖物质,与硝酸银作用吸附银离子,再经过显色剂被还原成金属银,Wathin-Starry法显示弯曲菌呈黑色的显色剂是
-
配制中性甲醛最好用
-
使用甲醛固定液最好的溶液pH是
-
目前,免疫组织化学技术中用于标记的酶是
-
目前使用计算机不能储存的病理资料是
-
倒置显微镜的特点是
-
原位分子杂交的原理是
-
Bouin液是一种良好的固定液,它常用的pH为多少
-
免疫组织化学检测甲胎蛋白对哪种癌的诊断意义最大
-
腺上皮起源于
-
多倍体是指
-
免疫荧光染色法中,标记一种抗体只能检测一种抗原的方法是
-
脱水剂的量是组织块的多少倍
-
一般尸体表面冷却需要的时间是
-
在mRNA原位杂交技术中,所用器皿、载玻片常用DEPC(焦碳酸二乙酯)处理,其目的是
-
磷酸二氢钾(KH2PO4)的分子量是136.10,配制1/15mol/L浓度应取的克数是
-
下面的透明剂进行组织透明后,需用苯漂洗去除,然后进行浸蜡的是
-
下列肾脏疾病中,哪一种必须用电镜才能作出正确诊断
-
下列哪一项不符合增强免疫组化敏感性的手段
-
免疫荧光直接法哪一叙述是正确的
-
可使G+菌着色的染料是
-
碱性品红属于
-
HE染色中脱蜡不彻底会出现的结果是
-
用于电镜标本后固定的试剂是
-
冰冻切片时用甘油明胶封片是针对哪种染色
-
一般死后多长时间开始出现尸斑
-
用于检查淋巴细胞的抗体是
-
哪个条件不符合标记用荧光素
-
人体内不同组织合成的蛋白质不同,这是因为各种细胞内
-
细胞器包括
-
骨组织作免疫组化染色时,常用的脱钙剂是
-
油红O属于
-
用浓硫酸配制稀硫酸溶液时,应注意
-
下面不属于胞质染色剂的染料是
-
免疫荧光染色观察结果应采用哪种显微镜
-
带脂类软组织冰冻切片的最佳冷冻温度是
-
在病理研究室,常用紫外线灯作表面和空气消毒,照射剂量不低于90000MW、s/2,照射时间为
-
显示淀粉样蛋白最常用的方法是
-
一般情况下尸僵出现的时间为
-
显示淀粉样物质的染色法是
-
用于胶原纤维染色的组织固定剂是
-
下列哪一项不属于细胞器
-
对于升汞固定剂,对其描述下面错误的是
-
可不引起组织收缩和硬化,但其价格较高的脱水剂是
-
秋水仙碱可使细胞分裂停止于
-
六胺银染色法真菌显示什么颜色
-
Bouin液固定液,固定的组织被染成黄色,需要何种溶剂洗涤
-
下列不符合免疫组织化学技术基本要求的是
-
用1%阿尔辛蓝染一般黏液时,染液的pH值应选用
-
用轮转切片机切片时,蜡片不连续的原因是
-
在组织染色过程中媒染剂的作用是
-
基因表达是指
-
免疫组化是
-
根据下列情况,选择合适的技术途径,进行抗原修复不经处理实验结果不理想可用
-
关于细胞培养的正确描述是
-
细胞质包括
-
下列哪项是促染剂
-
不属于内源性色素的是
-
酶组化方法既要保存酶分布的形态结构,又要保留酶的活性,下列哪项与影响酶活性的因素无关
-
下列液体中表面张力最大的是
-
关于SP法正确的叙述是
-
标记B淋巴细胞的抗体是
-
ABC法中,一个分子的卵白素结合的位点是
-
甲基丙烯酸甲酯包埋切片法常用于
-
下面哪种成分不属于组织处理和染色时的透明剂?
-
免疫组化洗涤最常用的缓冲液是
-
巴氏五级诊断法中巴氏Ⅴ级表示
-
甲醛久存会形成
-
下列显微镜的目镜和物镜组合中哪种组合成像质量最佳
-
调节肌肉收缩的因素是
-
下面的固定液需要现用现配,并且需在暗处固定的是()。
-
使用下面哪种组织脱水剂脱水后不能用火棉胶包埋
-
荧光抗原直接法是
-
下面哪一项描述符合完全抗体
-
下列哪种单纯固定液有固定兼脱水作用?
-
疏松结缔组织的特点是
-
大体标本常规固定液是
-
显示黑色素的染色法是
-
动物实验最常用的注射麻醉药有
-
转式切片机切取组织,由下向上切,为得到完整切片,防止组织出现刀纹裂缝,应该将()。
-
关于异硫氰酸荧光素的性质,下列哪一项是错误的
-
显示弹力纤维的染色方法是
-
移行上皮主要分布在下列哪一器官
-
临床常用的软组织肿瘤标记抗体用于良恶性血管源性肿瘤的诊断和鉴别诊断是
-
培养细胞生长至一定密度时,因细胞表面相互接触而停止分裂,此现象称为
-
体外培养细胞可分为贴壁生长和悬浮生长两大类,属于悬浮生长的细胞是
-
免疫荧光细胞化学的封固剂是
-
石蜡组织切片时组织过硬、变脆的原因是
-
对于铬酸固定液的描述不正确的是()。
-
用于骨组织脱钙的首选溶液是
-
关于ABC法,下列叙述正确的是
-
免疫荧光法没有哪项特点
-
属于碱性染料的是
-
Mallory磷钨酸苏木精不显示的是
-
透明标本多封存于何种容器内
-
在实验动物中(如犬、猫、兔),戊巴比妥钠是常用的麻醉剂,一般静脉注射用量是
-
门诊患者查询病理学一般检查资料的期限是
-
培养细胞进行免疫组化染色时,使用的固定液是
-
关于ABC法下列叙述正确的是
-
磷钨酸苏木素染液主要用于显示的成分是
-
Golgi-Cox法染色,其神经细胞及纤维是何种颜色
-
培养细胞用于实验或冻存的最佳时机是
-
常用的超薄切片染色剂是
-
具有毒性作用的固定剂是
-
含有铬酸、重铬酸和锇酸的固定液,组织固定后应充分水洗,时间一般是
-
骨髓分为红骨髓和黄骨髓,红骨髓由网状结缔组织的网状细胞和网状纤维构成支架,网眼中充满
-
对于螯合剂脱钙法描述不正确的是
-
AEC显色剂在免疫组化中阳性表达部分的颜色是
-
临床常用的上皮源性肿瘤标记抗体各种癌的诊断及非上皮性肿瘤的鉴别诊断用
-
免疫组织化学非特异性染色的说法中,正确的是
-
DNA中不含哪一种碱基
-
用于超薄切片染色的方法是
-
抽血加抗凝剂沉淀后,血液可分出3层,从上至下依次为
-
淀粉样变性物质的特殊染色方法是
-
下列不是骨和含钙组织的脱钙方法的是
-
与增强免疫组化染色效果无关的步骤是
-
癌和肉瘤的命名是因为
-
下列哪种抗体能鉴别间叶来源的恶性肿瘤
-
热诱导抗原修复不正确的操作方法是
-
脱落细胞学和细针吸取细胞学统称为诊断细胞学命名根据是
-
炎症的概念是
-
免疫组化染色中胃蛋白酶消化液常用的条件是
-
慢性支气管炎咳嗽、咳痰的病变基础是
-
急性肾小球肾炎属于
-
加热对抗酸杆菌染色起的作用是
-
阿尔辛蓝(Alcian blue)用于显示
-
癌和肉瘤的主要不同点在
-
心肌梗死灶的肉眼形状常为
-
影响伤口愈合的局部因素不包括
-
单核巨噬细胞在局部增生,集聚而形成的结节状病灶称
-
背部的疖肿向表面破溃后,在局部形成的缺损称为
-
用于显示退变髓鞘的染色方法是
-
常规透射电镜标本所用戊二醛的浓度是
-
在Ziehl-Needsen抗酸染色中,将背景染成蓝色的染料是
-
不符合小叶性肺炎特点的是
-
干性坏疽常发生于
-
平滑肌瘤最常发生的器官是
-
下列哪项抗原热修复方法叙述不正确
-
组织学判断细胞坏死的主要标志是
-
配制Schiff试剂的染料是
-
尸检组织标本做化学毒物检查时标本处理方法是
-
下列关于脾梗死病理特点的叙述哪一项是错误的
-
起源于上皮组织的恶性肿瘤称为
-
萎缩的心肌细胞内常可出现
-
二甲苯的折射指数(RI)是
-
HE染色切片的常用封固剂为
-
不符合透射电镜取材要求的是
-
Mallory三色法染色中,需要的媒染剂是
-
槟榔肝内可见
-
胃癌的主要扩散转移途径是
-
下列不属于天然染料的是
-
显示切片内糖原常用下列哪项染色法?
-
胰蛋白酶常用的工作条件为
-
鉴别甲状腺滤泡型腺瘤和滤泡型腺癌最重要的依据是
-
显示产肽激素细胞的亲银反应在浸银后不用()。
-
炎症细胞自血管内游出,在组织内作定向运动的现象称
-
下列哪项关于恶性肿瘤发生发展的叙述是错误的
-
脂肪栓塞多见于
-
配制Harris苏木精液常用的媒染剂是
-
关于使用Shikata地衣红染色法进行乙型肝炎表面抗原染色时,地衣红染色液pH应为()。
-
组织损伤后细胞再生的过程中,生长停止的调控与哪种因素有关
-
Mowry阿尔辛蓝过碘酸希夫(ABPAS)染色法常用于显示()。
-
渗出液和漏出液的病理学特征中,最重要的区别在于
-
诊断恶性肿瘤的依据是
-
支气管黏膜上皮鳞化属于哪种变化
-
配制中性福尔马林固定液的pH是
-
判断肿瘤组织来源的主要依据是
-
显示淀粉样变蛋白常用的染料是
-
全身性营养不良时,最早发生萎缩的器官或组织是
-
下列哪一组脏器易发生贫血性梗死
-
显示三价铁盐最古典的方法是
-
小腿部疖肿向表面溃破后,在局部形成的缺损称为
-
组织坏死后,原有组织结构轮廓消失,呈现一片红色颗粒状物质,这种病灶属于
-
常用冰冻组织切片的脂肪染料是
-
化脓性炎的病理特征是
-
大量细菌毒素入血,导致实质细胞变性、坏死及全身中毒症状的,称为
-
Shikata地衣红染色法显示HBsAg的正确结果是
-
关于免疫球蛋白与抗体的关系,以下哪一种说法是正确的
-
坏死与坏疽的主要区别是
-
如下肿瘤中哪一种是恶性肿瘤
-
在下列肠道疾病中,哪种属于假膜性炎
-
下列哪项方法可以显示脂褐素
-
细菌内毒素的主要成分是
-
脱福尔马林色素所用的主要试剂及成分是
-
下列哪一项是Harris苏木素液与冰醋酸混合的最佳方案
-
真菌Schiff染色时常用的氧化剂是
-
不能作为诊断急性炎症的依据是
-
病理大体标本脂肪组织染色,配制苏丹染料所用的乙醇浓度为
-
在创伤修复过程中对细胞生长和分化起调控的物质中,属于细胞外基质的是
-
下列哪项不是细胞学检查的优点
-
下列哪种方式发生的转移属于种植性转移
-
真菌PAS染色时常用的氧化剂是
-
下列哪种改变表示肉芽组织生长不良
-
下列哪项不是坏死的结局
-
Siriusred苦味酸染色中胶原纤维染成
-
下列哪种组织的再生不是由既存细胞的延长所构成
-
关于一期愈合伤口,下列叙述哪项不正确
-
地衣红显色的HBsAg中有丰富的双硫键,被氧化形成磺酸后而着色,使用的氧化液是
-
哪型肺恶性肿瘤化疗效果最好
-
有助于诊断肌源性肿瘤的标记物是
-
再生是指
-
在染色中,以下属于碱性染料的是
-
发生在皮肤或黏膜的良性肿瘤外观上多呈
-
细胞损伤时,细胞功能活跃的表现是
-
切片在苏木素染液中不着色或着色不均匀,首先应考虑
-
要制出一张优质的切片标本,关键是
-
宫内窒息死亡的病例胸膜、心包膜、脑膜及脑组织内常有
-
缺血病灶的后果主要取决于
-
组成风湿性心脏病中的风湿小体的结构不包括
-
下述不属于纤维素性炎的是
-
化生不可能发生于
-
下列哪种药物不利于伤口愈合
-
最易发生血行转移的癌症是
-
小叶性肺炎的病变实质为
-
慢性萎缩性胃炎
-
细胞质内出现大小不等均质无结构、嗜酸性染色物质称为
-
TBS缓冲液的配方是
-
下列哪种染色方法用于显示小胶质细胞?
-
下列不属于化脓性炎的病变是
-
支气管黏膜上皮出现鳞状上皮化生属于
-
最容易通过完全性再生达到修复的组织是
-
下列哪项不是抗原热修复选择的介质
-
欲显示各种酶的组织切片,应选择的固定液是
-
中枢神经系统的坏死常为
-
葡萄球菌A蛋白(SPA)具有和人与许多动物等的IgG结合的能力,但除外()。
-
嗜银细胞染色法用哪种固定液最好
-
免疫组化染色中造成脱片现象的最主要原因是
-
常用的单纯固定液是
-
维多利亚蓝(V.B)丽春红(P)显示弹性纤维的正确结果是
-
苏木精成为苏木红要经过
-
防止细胞涂片染色时脱片,除外哪一项均有效
-
下列不能完全再生的是
-
抗酸杆菌染色最基本的染料是
-
甲醛用作固定剂的常规使用实际浓度是
-
用于显示心肌缺氧改变的染色方法是()。
-
高碘酸复红染真菌的结果正确的是
-
胃溃疡最常发生于
-
石蜡切片脱蜡不彻底的主要原因是
-
下列关于网状纤维染色在肿瘤鉴别诊断中的应用不正确的是()。
-
神经尼氏小体是分布神经细胞内的三角形或椭圆形小块物质,用Thionine硫堇染色法,显示尼氏小体是什么颜色
-
哪项不是抗原热修复选择的方法
-
血液循环中血凝块随血流运行发生血管阻塞的过程称为
-
Mowry阿尔辛蓝高碘酸雪夫染色的正确结果是
-
配制临床应用的0.1%苯扎溴铵消毒水2000ml,需浓度为5%苯扎溴铵消毒水多少毫升
-
缓冲溶液是指
-
最常用的固定液是
-
转移性钙化是指钙化发生在
-
易看到角化珠的癌巢可确定为是
-
在进行组织石蜡包埋时,以下哪种是错误的
-
Gomori银网状纤维染色中的媒染色剂是
-
下列哪种疾病的形成机制与纤维瘢痕无关
-
慢性肉芽肿性炎病变中的类上皮细胞来源于
-
显示切片内糖原常用的染色法是
-
用于变色酸2R-亮绿髓鞘染色的组织最好用下列哪种固定液固定
-
老年人面部皮肤低度恶性肿瘤常为
-
用已知抗原阳性的切片作对照,与待检标本同时进行免疫细胞化学染色,对照片应呈阳性结果称为
-
在下列脱水剂中,哪一种对组织的收缩最严重
-
细动脉壁发生透明变性的原理是
-
下列方法用于显示含铁血黄素的是
-
原位癌与浸润癌的主要区别是
-
脱钙的方法有多种但对组织无损伤,能保存组织活性,抗原破坏少的脱钙方法是
-
下列哪一项是酸性染料
-
下列都是超薄切片前的准备工作,除外
-
良性肿瘤对机体的影响主要决定于
-
PAS染色正确结果显示
-
最易引起阑尾穿孔的阑尾炎是
-
乙醇-甲醛液固定与脱水二者兼之,其配方是
-
能分泌甲胎蛋白(AFP)的肿瘤通常是
-
肉芽组织的结局是
-
Gless神经纤维染色时,神经纤维呈何种颜色
-
假膜性炎渗出物中的特征性成分是
-
胃癌转移最不可能发生的途径是
-
电镜样品在脱水前需要清洗,将残余的锇酸固定液清洗干净,以防它和脱水剂形成新的沉淀,常用的清洗剂是
-
用10%福尔马林95ml加硝酸5ml配成的溶液,起到的作用是
-
癌细胞质嗜碱性增强是由于
-
荧光显微镜的特点是
-
免疫组织化学检测可以表达ALK的肿瘤是
-
除CD99外,下列标志对尤因肉瘤的诊断最有帮助的是
-
下列肿瘤中不属于RB1缺失性肿瘤的是
-
下列肿瘤中不存在MDM2扩增的是
-
下列脂肪瘤属于RB1缺失性的是
-
内膜肉瘤涉及的异常基因是
-
可以与结节性筋膜炎具有相似基因易位的是
-
浅表性CD34阳性成纤维细胞性肿瘤涉及易位的基因是
-
与假肌源性血管内皮瘤具有相似基因易位的是
-
婴儿纤维性错构瘤涉及改变的基因是
-
下列肿瘤不属于INI-1缺失性的是
-
钙化性腱膜纤维瘤涉及重排的基因是
-
与骨外间叶性软骨肉瘤具有相似基因重排的肿瘤是
-
除ALK外,炎性肌成纤维细胞瘤还可涉及重排的基因是
-
下列病变不涉及BRAF基因改变的是
-
患者男,23岁。因左大腿肿瘤在外院手术。镜下观察显示为叶状分布的小圆细胞,其间为纤维组织间隔。高倍镜下观察,瘤细胞呈圆形、卵圆形至短梭形,核形不规则,部分细胞可见明显的核仁,核分裂象易见,加做免疫组织化学标志显示瘤细胞部分表达CD99,表达WT1。根据以上描述,对该患者可能性较大的诊断是
-
患者男,45岁。左大腿肿块。镜下观察显示肿瘤大量胶原化,在胶原化的间质内可见单排条索状排列的多边形至上皮样细胞,胞质淡染,核形不规则,疑为硬化性上皮样纤维肉瘤。如需加做免疫组织化学检测证实,可选择的标志是
-
患者男,34岁。左小腿肿块。镜下观察显示肿瘤境界清楚,富含分支状血管,血管之间可见少量的梭形或短梭形成纤维细胞样细胞,从镜下形态考虑,本病例是软组织血管纤维瘤的可能性较大。如果加做FISH检测证实,应选择的指标是
-
患者男,65岁。胸腔巨大占位。行肿瘤活检,镜下观察显示肿瘤由成片的圆形至多边形细胞组成,核呈圆形,部分瘤细胞的核偏位分布,核染色质呈空泡状,核仁明显,核分裂象易见,胞质略大嗜伊红色,肿瘤内可见片状凝固性坏死。加做标志显示,部分表达CK,灶性表达CD34,加做INI-1表达无缺失,瘤细胞过表达SOX2,不表达Claudin4。对该病例可能的诊断是
-
患者男,12岁。颈部皮下包块,手术切除。镜下观察显示为梭形细胞肿瘤,瘤细胞形态相对一致,核分裂象不多见,肿瘤累及皮下脂肪组织,呈浸润性生长,原单位加做免疫组织化学标志显示,瘤细胞表达S-100蛋白,并表达CD34。如果加做免疫组织化学检测,对该患者考虑加做的标志是
-
患者男,10岁。因右腋下肿块在外院行手术切除。镜下观察显示肿瘤境界相对清楚,周边可见少量的淋巴细胞聚集灶,肿瘤呈不规则的结节状分布,间质略有黏液样变性,瘤细胞呈圆形、卵圆形或短梭形,核分裂象罕见。加做免疫组织化学标志显示部分瘤细胞弱阳性表达EMA和CD99,灶性表达desmin,对该患者可能的诊断是
-
患者女,45岁。左大腿肿块。镜下观察显示肿瘤内含有丰富的窦样血供,加做标志显示瘤细胞表达TFE3,考虑为腺泡状软组织肉瘤。鉴别诊断时要考虑也可有TFE3的弥漫强阳性表达的肿瘤是
-
患者男,45岁。因鼻腔占位就诊。行活检,镜下观察显示为成巢的小圆细胞,瘤细胞形态相对一致,核深染,核分裂象易见,部分瘤细胞胞质呈透亮状,加做免疫组织化学标志显示,瘤细胞灶性表达AE1/AE3和Syn,但弥漫强阳性表达ALK。对该患者考虑可能性较大的诊断是
-
患者男,12岁。因“左下肢疼痛”就诊,影像学检查显示左股骨占位,行穿刺活检,镜下观察显示片状分布的小圆细胞,部分区域瘤细胞呈梭形,核分裂象易见,加做免疫组织化学标志显示,瘤细胞部分表达CD99,不表达NKX2.2,但表达cylcinD1和SATB2。对该病例可能性最大的诊断是
-
患者女,25岁。因“腋下肿块”就诊。追问病史,患者7年前曾因手指肿块切除,病理不详。腋下肿块经手术切除,显示为淋巴结内转移性病灶,瘤细胞呈上皮样形态,加做免疫组织化学标志显示AE1/AE3阳性,瘤细胞表达CD34,并弱阳性表达ERG,CD31部分细胞可疑阳性。对该病例最可能的诊断是
-
患者男,72岁。近年来双足出现暗红色、暗褐色斑块。取活检显示,真皮内可见条束状排列的梭形细胞,有异型,可见核分裂象,间质内伴有较多的红细胞外渗,如果证实病理诊断,下列可采用的标志是
-
患者女,12岁。因肝巨大占位就医。穿刺活检显示黏液样背景中大量增生的异型梭形细胞和多形性细胞,核分裂象易见,部分多形性细胞内可见嗜伊红色小体,镜下观察形态考虑为肝胚胎性未分化肉瘤,如欲行免疫组织化学标志,下列选项中可为阳性的是
-
患者女,25岁。左大腿肿块切除。镜下观察显示分叶状分布的小圆细胞,部分瘤细胞可见核仁,核分裂象易见,局部区域间质伴有黏液样变性。加做免疫组织化学标志显示,瘤细胞局灶性表达CD99,不表达NKX2.2,怀疑是CIC重排肉瘤。因本单位无CIC探针,希望能通过加做的标志是
-
在胃的完全型肠上皮细胞化生中,下列标志表达增多的是
-
胃髓样癌(伴有淋巴间质的癌)中增生的淋巴细胞表达
-
胰腺癌患者最常见的基因异常是
-
胸腺瘤中上皮细胞可表达CD20的类型是
-
关于CK7、AMACR和WT-1在后肾腺瘤的表达,正确的是
-
患者男,40岁。发现左侧睾丸渐进性增大并乳房增大1年余。查体左侧阴囊内扪及实性肿物,直径约2cm。超声示双侧乳腺发育。病理检查肿瘤细胞呈弥漫片状分布,细胞大,多角形,胞质丰富嗜酸性,核圆形,伴有单个明显核仁,核分裂象少见。局部可见Reinke结晶。该肿瘤最可能表达的免疫组织化学指标是
-
绒毛滋养细胞一般不表达
-
鉴别完全性葡萄胎最有价值的免疫组织化学标志物是
-
乳腺小叶原位癌通常免疫组织化学标志为
-
患者年轻女性,左乳腺肿块,钼靶射线检查未见异常,镜下观察见导管上皮增生,形成大小不等、形状不规则的网孔状或裂隙状次级管腔,腔面不整齐,于导管周围呈边窗样分布,上皮细胞呈流水样排列,免疫组织化学检测CK5/6、CK34βE12阳性。对该患者的诊断应为
-
患者老年女性,右乳发现肿物,镜下观察,特点为由梭形的肌上皮细胞构成,呈浸润性生长,席纹状、漩涡状,核分裂象易见,SMA阳性,P63阳性,CD10阳性,应诊断为
-
常见PAX8-PPARG融合基因的甲状腺肿瘤是
-
患者男,65岁。以“便秘”30余年为主诉入院。血清学检查显示胃泌素明显升高。行小肠镜检查发现十二指肠壶腹部黏膜多发性息肉,活检病理示十二指肠黏膜NET G2。临床医师申请行基因检测,该患者最可能检出突变的基因是
-
患者男,3岁。以“先天性巨结肠1年余”入院。体检发现患者吐字不清,左侧舌根部比右侧稍粗大。超声检查显示右侧肾上腺圆形小结节,直径约1cm。临床行巨结肠切除手术,顺便摘除右侧肾上腺小结节。术后病理发现肾上腺小结节为嗜铬细胞瘤,临床医师申请行基因检测。与预后关系最密切的基因是
-
下列分子生物学改变常见于上皮样胶质母细胞瘤的是
-
发生于中枢神经系统的弥漫大B细胞淋巴瘤通常不表达的免疫组织化学标志物是
-
患者男,7岁。因“脑干占位”行手术治疗。术后病理提示:肿瘤细胞呈弥漫浸润性生长,肿瘤细胞密度高,可见“肾小球样”的微血管增生及“假栅栏状”坏死。则该肿瘤最可能存在的分子生物学改变是
-
患者男,26岁。因“左侧大脑镰旁占位”行手术治疗。术后病理提示:肿瘤细胞以梭形及短梭形为主,部分区域细胞密度高,可见“鹿角样”分支血管,伴有脑组织侵犯。则该肿瘤最可能存在的分子生物学改变是
-
患者男,11岁。因“间断性头痛”就诊。行MRI检查提示斜坡占位。术后病理示肿瘤细胞呈圆形及卵圆形,部分细胞核呈空泡状,胞质丰富,散在多核巨细胞;免疫组织化学标志提示INI-1缺失。对该患者最有可能的诊断是
-
患者男,37岁。因“头痛伴视力下降”就诊。MRI检查提示鞍区占位,病变伴有均匀强化。术中见肿瘤质地硬,呈橡胶样,术后病理提示:双极梭形肿瘤细胞呈漩涡状排列。则针对该肿瘤应进行的免疫组织化学检测标志包括
-
患者男,37岁。因“头痛伴视力下降”就诊。MRI检查提示鞍区占位,病变伴有均匀强化。术中见肿瘤质地硬,呈橡胶样,术后病理提示:双极梭形肿瘤细胞呈漩涡状排列。则针对该肿瘤应进行的免疫组织化学检测标志包括
-
患者男,11岁。因“间断性头痛”就诊。行MRI检查提示斜坡占位。术后病理示肿瘤细胞呈圆形及卵圆形,部分细胞核呈空泡状,胞质丰富,散在多核巨细胞;免疫组织化学标志提示INI-1缺失。对该患者最有可能的诊断是
-
患者女,6岁。因“视力下降10天”就诊。行MRI检查提示鞍内占位。术后病理检查肉眼可见肿瘤呈囊实性,囊内含有少量暗棕绿色液体。该肿瘤最常见的分子生物学改变是
-
患者女,32岁。回缩涕血3个月。鼻窥镜下见鼻咽肿物,光镜下观察肿瘤细胞呈合体样,具有泡状核、显著大核仁和双染性的胞质,免疫组织化学检测显示CKpan阳性,对该患者的诊断最可能是
-
患者女,26岁。反复鼻出血1年。影像学提示鼻咽部占位,镜下观察见复杂分支的乳头状结构和密集的腺样结构,衬覆单层立方和柱状上皮,胞质嗜酸,CKpan(+),TG(-),SYN(-)。对该患者最可能的诊断是
-
原发性动脉瘤样骨囊肿最特异的分子改变是
-
肝细胞癌可表达免疫组织化学标志,下列选项中不表达的是
-
结直肠癌的免疫组织化学常检测错配修复基因蛋白,下列选项中不符合的是
-
肾上腺皮质肿瘤免疫组织化学常表达的抗体不包括
-
下列选项中不属于神经内分泌抗体的是
-
肺小细胞癌不表达
-
内胚窦瘤不表达
-
患者男,50岁。腰椎疼痛。CT检查发现L1椎骨内有肿物。穿刺活检镜下可见肿瘤细胞呈巢团状,部分呈腺样结构。下列标志抗体对该肿物的诊断价值不大的是
-
患者男,60岁。面部有一直径2cm肿物,表面溃疡。活检瘤组织呈片块状分布,瘤细胞异型性明显,部分瘤细胞胞质内见一空泡,空泡内有红细胞。下列标志免疫组织化学染色,不呈阳性表达的是
-
患者男,70岁。近2个月来出现尿频、尿急。B超显示前列腺明显增大。行穿刺活检,镜下纤维结缔组织内见呈条索状分布的异型细胞,下列标志可能呈阴性的是
-
患者男,45岁。体检B超发现右肾有一直径5cm肿物。行手术切除肿物。镜下可见瘤组织由大小不等的厚壁血管、血管周分布的梭形瘤细胞和成熟的脂肪细胞构成。细胞异型性不明显。未见核分裂象。该肿瘤的梭形瘤细胞免疫组织化学检测指标不表达的是
-
关于网状纤维染色,下述表述错误的是
-
关于纤维素和纤维素样物染色,下述错误的是
-
鉴别疱疹病毒感染时的核内包涵体需用的染色方法是
-
PTAH染色横纹肌呈现
-
患者男,76岁。查体发现右肾肿物3天。泌尿系增强CT示右肾富血管占位。遂行腹腔镜下肾部分切除术。大体可见灰黄色肿物一个,切面积为2.2cm×2cm,质软。镜检可见肿瘤呈实性排列;细胞呈多角形,胞质透明,细胞膜厚而清晰,似植物细胞。对该病变的诊断最需要的特殊染色为
-
患者男,45岁。发现尿道肿物8个月余。患者有长期血液透析病史。术中见前尿道距离尿道外口约10cm处有一肿物,约2cm×1cm,与尿道关系密切。大体可见分叶状淡黄色肿物一个,周围大部附包膜,切面积2.2cm×1.3cm,质中。镜检可见大部为淡染无结构粉染物质,周围可见异物巨细胞反应及少量慢性炎症细胞浸润,局灶可见钙化。对该病变的诊断最需要的特殊染色为
-
隆突性皮肤纤维肉瘤常伴有的分子改变为
-
T淋巴母细胞性淋巴瘤特异性标志物为
-
位于腹膜后间隙的是( )。
-
位于颅中窝内的是( )。
-
位于胸腔上纵隔内的是( )。
-
位于三角肌与胸大肌间沟内。
-
位于腹股沟韧带下方。( )
-
沿空、回肠动脉排列。( )
-
参与构成骨盆界限的是( )。
-
骨折的易发部位( )。
-
体表可以摸到的是( )。
-
黄色脂肪组织多见于( )。
-
网状组织多见于( )。
-
不规则致密结缔组织多见于( )。
-
规则致密结缔组织多见于( )。
-
弹性结缔组织多见于( )。
-
参与形成血脑屏障的是( )。
-
具有变形运动和吞噬功能的是( )。
-
形成周围有髓神经纤维的髓鞘的是( )。
-
胰岛B细胞可分泌( )。
-
胰岛A细胞可分泌( )。
-
胰岛D细胞可分泌( )。
-
胰岛PP细胞可分泌( )。
-
分泌肺泡表面活性物质。( )
-
肺间质。( )
-
相邻肺泡之间气体流通的小孔。( )
-
气体交换的主要场所。( )
-
膀胱黏膜上皮。( )
-
宫颈黏膜上皮。( )
-
乳腺腺泡上皮。( )
-
宫颈阴道部黏膜上皮。( )
-
心瓣膜是( )。
-
心外膜是( )。
-
浦肯野纤维是( )。
-
小动脉。( )
-
中动脉中膜。( )
-
大动脉中膜。( )
-
大静脉外膜。( )
-
微动脉。( )
-
老年萎缩心脏的心肌细胞内的色素颗粒。( )
-
心衰细胞的色素颗粒。( )
-
新生儿黄疸时神经细胞内的色素颗粒。( )
-
一期愈合( )。
-
二期愈合( )。
-
痂下愈合( )。
-
紫癜( )。
-
血肿( )。
-
咳血( )。
-
炎症痊愈
-
炎症局部蔓延
-
炎症淋巴道扩散
-
鼻咽癌( )。
-
宫颈癌( )。
-
黏膜白斑( )。
-
小肠上皮化生( )。
-
肺泡细胞癌
-
鳞状细胞癌
-
胆汁性肝硬化的原因( )。
-
坏死后肝硬化的原因( )。
-
食管癌的临床表现( )。
-
胃癌的临床特点是( )。
-
肝癌的临床特点是( )。
-
子宫颈出现菜花状肿块、质脆易出血应考虑是( )。
-
癌组织向子宫颈深部浸润生长使宫颈增厚变硬应考虑是( )。
-
癌组织除向宫颈深部浸润外并坏死、脱落,似火山口应考虑是( )。
-
系膜增生性肾小球肾炎电镜下可见
-
毛细血管内增生性肾小球肾炎电镜下可见( )。
-
系膜增生性肾小球肾炎的临床表现是( )。
-
毛细血管内增生性肾小球肾炎的临床表现是( )。
-
属于核酸一级结构的描述是( )。
-
属于核糖核酸二级结构的描述是( )。
-
属于真核生物染色质中DNA的三级结构的描述是( )。
-
DNA变性是指( )。
-
DNA复性是指( )。
-
DNA水解( )。
-
组成核糖体的是( )。
-
含有较多稀有碱基和核苷的是( )。
-
蛋白质生物合成的模板是( )。
-
mRNA的前体是( )。
-
带有遗传密码的是( )。
-
参与hnRNA的剪接和转运的是( )。
-
连接DNA双链中单链缺口两个末端的酶是
-
可以稳定已解开的DNA单链的是
-
与真核生物线粒体DNA复制有关的是
-
真核生物DNA复制中起主要作用的酶是
-
不需要dNTP作为底物( )。
-
在DNA复制中起主要作用的酶是( )。
-
其体内转化的产物掺入RNA分子中破坏RNA的结构与功能( )。
-
竞争性抑制AMP和GMP的合成( )。
-
竞争性抑制二氢叶酸还原酶( )。
-
谷氨酰胺结构类似物,对嘌呤核苷酸和嘧啶核苷酸的合成都有抑制作用( )。
-
改变戊糖结构的核苷类似物( )。
-
在体内转化成氟尿嘧啶脱氧核苷二磷酸(FdUMP)抑制胸苷酸合成酶( )。
-
直接抑制次黄嘌呤—鸟嘌呤磷酸核糖转移酶而抑制嘌呤核苷酸的补救合成( )。
-
腺嘌呤与嘌呤核苷酸分解的最终产物( )。
-
腺嘌呤与鸟嘌呤核苷酸分解的共同中间产物( )。
-
黄嘌呤氧化酶的竞争性抑制剂( )。
-
以亲代DNA为模板合成子代DNA分子( )。
-
以DNA单链为模板合成与DNA某段碱基序列互补的RNA分子( )。
-
以RNA为模板指导DNA的合成
-
DNA分子上的特定基因被激活并转录生成RNA或者由此引起蛋白质的合成过程( )。
-
真核生物RNA聚合酶的特异性抑制剂( )。
-
原核生物RNA聚合酶的特异性抑制剂( )。
-
待检测靶序列拷贝数多,且仅扩增出一条带可采用的PCR产物分析方法( )。
-
扩增产物是多条带时可采用的PCR产物分析法( )。
-
需要两个杂交过程检测一个产物的PCR产物检测方法( )。
-
通过修饰引物的5′端使其携带便于PCR产物固定和检测的功能基团。( )。
-
分子筛层析法分离蛋白质的依据是( )。
-
盐析法分离蛋白质的依据是( )。
-
电泳法分离蛋白质的依据是( )。
-
双缩脲法测定蛋白质含量的依据是( )。
-
维系蛋白质二级结构稳定的化学键是( )。
-
胰岛素分子的一级结构中除肽键外还有( )。
-
蛋白质变性时不被破坏的化学键是( )。
-
蛋白质溶液中加入适量硫酸铵可引起( )。
-
蛋白质溶液中加入羧基肽酶时可引起( )。
-
常发生于肽链进行180°回折的转角上。( )
-
结构中多肽链充分伸展。( )
-
是多肽链中氨基酸的排列顺序。( )
-
是整条肽链中全部氨基酸残基的相对空间位置。( )
-
是蛋白质分子中各个亚基的空间排布和相互作用。( )
-
是肽链主链骨架原子相对空间位置。( )
-
是两个以上的二级结构的集合。( )
-
酰基转移反应的辅酶含有( )。
-
有递氢作用的还原酶的辅酶可含有( )。
-
氨基酸转氨酶和脱羧酶的辅酶含有( )。
-
羧化酶的辅酶含有( )。
-
酰基辅酶A脱氢酶的辅酶含有( )。
-
降解产物基因激活蛋白结合位点( )。
-
编码乳糖代谢所需要的酶( )。
-
编码阻遏蛋白或调节蛋白( )。
-
RNA聚合酶识别与结合区( )。
-
阻遏因子或调节蛋白结合位点( )。
-
消耗ATP使酶蛋白磷酸化( )。
-
LDH1和LDH5分别在心肌和骨骼肌中的作用( )。
-
属于慢调节( )。
-
在肠腔中胰蛋白酶其前体蛋白N端的6肽被切除后的多肽折叠形成活性中心( )。
-
某一代谢物与酶活性中心以外的部位结合,来调节酶的活性( )。
-
糖原分解的关键酶
-
糖原合成的关键酶
-
糖异生的关键酶
-
磷酸戊糖途径的关键酶
-
糖酵解的关键酶
-
1分子乙酰CoA彻底氧化产生( )。
-
1分子葡萄糖经过糖酵解产生( )。
-
1分子丙酮酸彻底氧化产生( )。
-
1分子草酰乙酸彻底氧化产生( )。
-
参加三羧酸循环中底物磷酸化反应作为底物的是( )。
-
磷酸果糖激酶-1PFK-1的别构抑制剂是( )。
-
果糖双磷酸酶-1的别构抑制剂是( )。
-
血浆内胆固醇脂化时的脂肪酸供体
-
细胞内胆固醇脂化时的脂肪酸供体
-
激素敏感脂肪酶的底物
-
激活LCAT的是( )。
-
激活LPL的是( )。
-
识别LDL受体的是( )。
-
脂肪酸β氧化的产物( )。
-
脂肪酸彻底氧化的产物( )。
-
酮体包括( )。
-
脂肪酸合成需要( )。
-
转运内源性三酰甘油的是( )。
-
转运自由脂肪酸( )。
-
向肝外转运胆固醇( )。
-
腐胺来自( )。
-
γ-氨基丁酸来自( )。
-
牛磺酸来自( )。
-
蚕豆病( )。
-
白化病( )。
-
苯丙酮酸尿症( )。
-
重金属中毒( )。
-
有机磷中毒( )。
-
苏木精1g、硫酸铝钾15g、无水乙醇10ml、蒸馏水200ml。
-
苏木精2g、无水乙醇40ml、硫酸铝钾100g、蒸馏水600ml。
-
苏木精2g、无水乙醇250ml、硫酸铝钾17g、蒸馏水750ml、碘酸钠0.2g、冰醋酸20ml。
-
伊红-Y 0.5~1g、蒸馏水100ml。
-
伊红-Y 0.5~1g、90%乙醇100ml。
-
荧光显微镜
-
偏光显微镜
-
倒置显微镜
-
体视显微镜
-
Gomori钙钴法常用来检测( )。
-
Berry硝酸铅法常用来检测( )。
-
吸收试验( )。
-
空白试验( )。
-
置换试验( )。
-
星形胶质细胞瘤的标志物( )。
-
神经母细胞瘤标志物( )。
-
可用于胚胎组织、神经组织和脂肪组织固定
-
对糖原固定好
-
多用于固定淋巴组织
-
多用于硬化神经组织的固定
-
适用于结缔组织染色,尤其是三色染色时更为理想
-
特别适用于固定脂肪组织和组织化学染色
-
有固定和脱水作用
-
固定渗透性强,固定效果好,用于细胞涂片等固定
-
是免疫组织化学最常用的固定液,对组织穿透性好,组织收缩小
-
用于酶组织化学中各种酶的固定
-
缺点是制片过程很容易造成组织内抗原性的丧失
-
在进行脂肪染色和神经组织髓鞘染色中常用
-
最适合用于免疫电镜观察
-
用于电镜标本制备
-
保存组织内脂溶性物质和细胞膜抗原效果好,用于显示神经系统抗原分布
-
细胞印片法适合于
-
细胞沉淀法适合于
-
细胞穿刺法适合于
-
单个核细胞分离法适合于
-
将细胞直接培养在盖玻片上适合于
-
B-5固定液( )。
-
Bouin液( )。
-
Müller液( )。
-
Rossman液( )。
-
PFG液( )。
-
乙醇—甲醛液
-
甲醛—钙液
-
乙醚—乙醇液
-
4%多聚甲醛—磷酸二钠/氢氧化钠
-
中性缓冲甲醛液
-
去除甲醛色素( )。
-
脱汞盐结晶( )。
-
脱黑色素( )。
-
分化作用( )。
-
蓝化作用( )。
-
胶原纤维
-
网状纤维
-
弹性纤维
-
横纹肌
-
癌和肉瘤的鉴别( )。
-
Ewing肉瘤和恶性淋巴瘤的鉴别( )。
-
横纹肌肉瘤的诊断( )。
-
恶性黑色素瘤的诊断( )。
-
胃黏液癌的诊断( )。
-
尼氏小体
-
神经纤维
-
神经髓鞘
-
神经胶质细胞
-
免疫组织化学PAP法的原理是( )。
-
免疫组织化学染色Envision法的原理是( )。
-
免疫组织化学染色APAAP法的原理是( )。
-
免疫组织化学染色SP法的原理是( )。
-
辣根过氧化物酶
-
碱性磷酸酶
-
葡萄糖氧化酶
-
快速ABC法
-
二步ABC法
-
PAP-ABC法
-
EPOS法
-
与PAP法有关的复合物是
-
与ABC法有关的复合物是
-
与快速ABC法有关的复合物是
-
首先建立小鼠腹水癌模型,采用下列哪种抓法进行腹腔注射?( )
-
造模成功后,实验组给予药物注射,选用下列哪项注射方法?( )
-
给药2周后,检测荷瘤鼠血清中细胞因子的含量,选用下列哪项采血方法?( )
-
应选择下列哪种静脉注射方式?
-
造模成功后,实验组以二甲双胍灌胃,大鼠常用灌胃量是
-
治疗12周后,取左心室心肌组织进行病理分析,应选用哪种处死方法?
-
鸽的采血方法( )。
-
豚鼠的采血方法( )。
-
实验动物表面麻醉常用
-
对大鼠进行吸入麻醉应选
-
肾穿刺进行免疫荧光检测,沿基底膜呈颗粒橙红色荧光的是
-
为了进一步明确分型,对肾组织进行免疫组织化学染色,选择最敏感的生物素—抗生物素方法
-
将36g盐酸溶于水中制备一定百分浓度的盐酸溶液,它的百分浓度属于( )。
-
制备伊红溶液,应采用的百分浓度计量方法是( )。
-
制备75%乙醇,即将75ml纯乙醇加入25ml蒸馏水,因此其百分浓度可计为( )。
-
缓冲溶液组成成分属于正确的弱碱及其对应的盐的类型的是( )。
-
缓冲溶液组成成分属于弱酸及其对应的盐类型的是( )。
-
缓冲溶液组成成分属于多元酸的酸式盐及其对应的次级盐类型的是( )。
-
磷酸盐缓冲溶液的pH范围是( )。
-
枸橼酸—磷酸缓冲液的pH范围是( )。
-
二甲砷酸缓冲液的pH范围是( )。
-
根据下列HE制片质量观察出现以下哪种情况最可能的原因是。固定不及时或不当
-
根据下列HE制片质量观察出现以下哪种情况最可能的原因是。脱水透明和浸蜡不足
-
根据下列HE制片质量观察出现以下情况最可能的原因是切片刀组织块固定不牢
-
根据下列HE制片质量观察出现以下情况最可能的原因是切片机某部零件或螺丝松动
-
根据下列情况,选择合适的技术途径,进行抗原修复在无任何信息可参考时,一般用
-
根据下列情况,选择合适的技术途径,进行抗原修复如用酶消化仍不理想再用
-
根据下列情况,选择合适的技术途径,进行抗原修复经反复试验结果再不理想最后选择
-
根据下列情况,选择合适的技术途径,进行抗原修复首次使用新抗体检测用
-
临床常用的上皮源性肿瘤标记抗体,主要用于腺癌诊断的是
-
临床常用的上皮源性肿瘤标记抗体,最常用于鳞癌诊断的是
-
基因中有表达活性的编码序列是
-
真核生物转录作用生成的mRNA为
-
在线粒体和胞液进行
-
有丙酮酸脱氢酶参与
-
怀疑此肿瘤为间叶组织来源,下列标志物有助于诊断的是
-
进一步考虑为平滑肌肉瘤,还需检测的标志物是
-
食管癌的组织学类型多为
-
胃癌的组织学类型多为
-
伤寒的病变性质是
-
急性细菌性痢疾的病变性质是
-
钩端螺旋体病的病变性质是
-
乙型脑炎的病变性质是
-
淋病的病变性质是
-
静脉血栓形成,未能建立有效的侧支循环可引起
-
一次大量抽放腹水可引起
-
血栓阻塞动脉,缺乏有效的侧支循环可引起
-
风湿热反复发作可引起
-
髂静脉内血栓脱落可引起
-
胃溃疡的表现
-
溃疡型胃癌的表现
-
十二指肠溃疡的表现
-
肠结核
-
哺乳期的乳腺
-
老年人的硬脑膜出现骨组织
-
坏死组织被新生的肉芽组织取代的过程,属于
-
直、结肠家族性多发性腺瘤样息肉是
-
仅浸润黏膜层和黏膜下层的胃肠道癌是
-
浸润性导管癌的主要表现是
-
浸润性小叶癌的主要表现是
-
小叶原位癌的主要表现是
-
粉刺癌的主要表现是
-
皮肤疖肿属于
-
流行性脑脊髓膜炎属于
-
化脓性胆囊炎属于
-
符合膜增生性肾小球肾炎表现的是
-
符合系膜增生性肾小球肾炎表现的是
-
符合急性弥漫性增生性肾小球肾炎表现的是
-
符合膜性肾小球肾炎表现的是
-
符合新月体性肾小球肾炎表现的是
-
间质常有淀粉样物质沉着
-
癌细胞核呈毛玻璃样
-
癌细胞分泌降钙素
-
上述哪项属于生理性再生
-
上述哪项属于纤维性修复
-
上述哪项属于完全性修复
-
儿童反复发作的镜下或肉眼血尿最常见的原因
-
儿童肾病综合征的最常见原因
-
肺泡内透明膜形成
-
大叶性肺炎的并发症之一
-
H-O变异属于
-
S-R变异属于
-
细菌L型属于
-
对小细胞肺癌的鉴别诊断和疗效监测有重要作用的相关抗原是
-
与胰腺癌相关的是
-
抗中性粒细胞胞质抗体与上述自身免疫性疾病有关的是
-
抗平滑肌抗体与上述自身免疫性疾病有关的是
-
抗心磷脂抗体与上述自身免疫性疾病有关的是
-
抗乙酰胆碱受体自身抗体与上述自身免疫性疾病有关的是
-
抗甲状腺刺激素受体(TSHR)的自身抗体与上述自身免疫性疾病有关的是
-
经皮肤感染的是
-
通过接触感染的是
-
以节肢动物为媒介感染的是
-
受者心脏移植1个月左右出现排斥现象,用免疫抑制剂治疗后缓解,此为
-
受者肾移植1个月左右出现排尿量逐渐减少现象,用免疫抑制剂治疗后没有改善,此为
-
常引起胎儿先天性感染及畸形的病毒是
-
与传染性单核细胞增多症有关的病毒是
-
常引起口唇疱疹的病毒是
-
我国引发肝癌的主要病毒是
-
检测中性粒细胞功能的是
-
检测巨噬细胞吞噬功能的是
-
森林脑炎病毒的传播媒介是
-
登革热病毒的传播媒介是
-
流行性乙型脑炎病毒的传播媒介是
-
具有厚膜孢子的是
-
具有宽厚荚膜,可采用墨汁染色观察的是
-
属于二相性真菌的是
-
药物性狼疮患者血清中可检出的自身抗体有
-
干燥综合征患者血清中可检出的自身抗体有
-
混合性结缔组织病患者血清中可检出的自身抗体有
-
进行性系统性硬化症弥漫型患者血清中可检出的自身抗体有
-
原发性胆汁性胆管炎患者血清中可检出的自身抗体有
-
参与Ⅰ型超敏反应的细胞有
-
参与Ⅱ型超敏反应的细胞有
-
参与Ⅲ型超敏反应的细胞有
-
引起痢疾样腹泻的细菌是
-
引起婴幼儿腹泻的细菌是
-
引起婴幼儿和旅游者腹泻的细菌是
-
引起出血性结肠炎的细菌是
-
AML-M2常见的染色体易位是
-
慢性髓细胞性白血病常见的染色体易位是
-
标记氨基用的活化生物素是
-
标记巯基用的活化生物素是
-
标记醛基用的活化生物素是
-
以沉淀反应为基础,最早应用于检测抗原-抗体反应第一阶段的自动化免疫分析技术为
-
测定内分泌激素、肿瘤标志物和治疗性药物浓度方面应用最广泛的新技术为
-
常用镧系元素作为标志物的免疫分析技术为
-
辣根过氧化物酶(HRP)作为标记酶常用于
-
Eu³⁺常用于
-
脱落细胞学涂片中,小细胞未分化癌细胞可呈
-
脱落细胞学涂片中,高分化腺癌细胞可呈
-
紫外线的作用是
-
巴氏消毒剂的作用是
-
诊断干燥综合征特异性最高的是
-
进行性系统性硬化病常见的抗体是
-
MCTD的诊断依据是
-
标记亲和素-生物素的方法为
-
亲和素-生物素化酶复合物技术为
-
生物素化第二抗体为
-
生物素化第一抗体为
-
卵巢癌的新型肿瘤标志物是
-
有助于区分诊断前列腺癌和前列腺炎的是
-
有助于区分慢性肝炎和肝癌的是
-
有助于诊断是否有乳腺癌骨转移的是
-
流式细胞仪反映细胞体积大小的参数是
-
流式细胞仪反映细胞内部结构的参数是
-
目前抗核抗体(ANA)筛查试验最常用的方法是
-
目前抗ENA抗体临床检测最常用的方法是
-
电化学发光分析用的标记物为
-
时间分辨荧光免疫分析用的标记物为
-
ELISA中碱性磷酸酶(AP)的底物为
-
ELISA中辣根过氧化物酶(HRP)的底物为
-
在62℃维持30min的灭菌方法称为
-
在103.4kPa的压力下达121.3℃,维持15~20min的灭菌方法称为
-
ELISA 检测常用的底物是
-
荧光免疫分析常用的荧光素是
-
化学发光技术常用的发光剂是
-
电化学发光技术常用的发光剂是
-
主要来自肾盂的细胞是
-
主要来自尿道的细胞是
-
食管癌的组织学类型多为
-
胃癌的组织学类型多为
-
伤寒的病变性质是
-
急性细菌性痢疾的病变性质是
-
钩端螺旋体病的病变性质是
-
乙型脑炎的病变性质是
-
淋病的病变性质是
-
静脉血栓形成,未能建立有效的侧支循环可引起
-
一次大量抽放腹水可引起
-
血栓阻塞动脉,缺乏有效的侧支循环可引起
-
风湿热反复发作可引起
-
髂静脉内血栓脱落可引起
-
胃溃疡的表现
-
溃疡型胃癌的表现
-
十二指肠溃疡的表现
-
肠结核
-
哺乳期的乳腺
-
老年人的硬脑膜出现骨组织
-
坏死组织被新生的肉芽组织取代的过程,属于
-
直、结肠家族性多发性腺瘤样息肉是
-
仅浸润黏膜层和黏膜下层的胃肠道癌是
-
浸润性导管癌的主要表现是
-
浸润性小叶癌的主要表现是
-
小叶原位癌的主要表现是
-
粉刺癌的主要表现是
-
皮肤疖肿属于
-
流行性脑脊髓膜炎属于
-
化脓性胆囊炎属于
-
符合膜增生性肾小球肾炎表现的是
-
符合系膜增生性肾小球肾炎表现的是
-
符合急性弥漫性增生性肾小球肾炎表现的是
-
符合膜性肾小球肾炎表现的是
-
符合新月体性肾小球肾炎表现的是
-
间质常有淀粉样物质沉着
-
癌细胞核呈毛玻璃样
-
癌细胞分泌降钙素
-
上述哪项属于生理性再生
-
上述哪项属于纤维性修复
-
上述哪项属于完全性修复
-
儿童反复发作的镜下或肉眼血尿最常见的原因
-
儿童肾病综合征的最常见原因
-
肺泡内透明膜形成
-
大叶性肺炎的并发症之一
-
检测中性粒细胞功能的是
-
检测巨噬细胞吞噬功能的是
-
森林脑炎病毒的传播媒介是
-
登革热病毒的传播媒介是
-
流行性乙型脑炎病毒的传播媒介是
-
具有厚膜孢子的是
-
具有宽厚荚膜,可采用墨汁染色观察的是
-
属于二相性真菌的是
-
药物性狼疮患者血清中可检出的自身抗体有
-
干燥综合征患者血清中可检出的自身抗体有
-
混合性结缔组织病患者血清中可检出的自身抗体有
-
进行性系统性硬化症弥漫型患者血清中可检出的自身抗体有
-
原发性胆汁性胆管炎患者血清中可检出的自身抗体有
-
参与Ⅰ型超敏反应的细胞有
-
参与Ⅱ型超敏反应的细胞有
-
参与Ⅲ型超敏反应的细胞有
-
引起痢疾样腹泻的细菌是
-
引起婴幼儿腹泻的细菌是
-
引起婴幼儿和旅游者腹泻的细菌是
-
引起出血性结肠炎的细菌是
-
H-O变异属于
-
S-R变异属于
-
细菌L型属于
-
对小细胞肺癌的鉴别诊断和疗效监测有重要作用的相关抗原是
-
与胰腺癌相关的是
-
抗中性粒细胞胞质抗体与上述自身免疫性疾病有关的是
-
抗平滑肌抗体与上述自身免疫性疾病有关的是
-
抗心磷脂抗体与上述自身免疫性疾病有关的是
-
抗乙酰胆碱受体自身抗体与上述自身免疫性疾病有关的是
-
抗甲状腺刺激素受体(TSHR)的自身抗体与上述自身免疫性疾病有关的是
-
经皮肤感染的是
-
通过接触感染的是
-
以节肢动物为媒介感染的是
-
受者心脏移植1个月左右出现排斥现象,用免疫抑制剂治疗后缓解,此为
-
受者肾移植1个月左右出现排尿量逐渐减少现象,用免疫抑制剂治疗后没有改善,此为
-
常引起胎儿先天性感染及畸形的病毒是
-
与传染性单核细胞增多症有关的病毒是
-
常引起口唇疱疹的病毒是
-
我国引发肝癌的主要病毒是
-
脱落细胞学涂片中,小细胞未分化癌细胞可呈
-
脱落细胞学涂片中,高分化腺癌细胞可呈
-
诊断干燥综合征特异性最高的是
-
进行性系统性硬化病常见的抗体是
-
MCTD的诊断依据是
-
紫外线的作用是
-
巴氏消毒剂的作用是
-
辣根过氧化物酶(HRP)作为标记酶常用于
-
Eu³⁺常用于
-
标记亲和素-生物素的方法为
-
亲和素-生物素化酶复合物技术为
-
生物素化第二抗体为
-
生物素化第一抗体为
-
AML-M2常见的染色体易位是
-
慢性髓细胞性白血病常见的染色体易位是
-
标记氨基用的活化生物素是
-
标记巯基用的活化生物素是
-
标记醛基用的活化生物素是
-
以沉淀反应为基础,最早应用于检测抗原-抗体反应第一阶段的自动化免疫分析技术为
-
测定内分泌激素、肿瘤标志物和治疗性药物浓度方面应用最广泛的新技术为
-
常用镧系元素作为标志物的免疫分析技术为
-
主要来自肾盂的细胞是
-
主要来自尿道的细胞是
-
流式细胞仪反映细胞体积大小的参数是
-
流式细胞仪反映细胞内部结构的参数是
-
卵巢癌的新型肿瘤标志物是
-
有助于区分诊断前列腺癌和前列腺炎的是
-
有助于区分慢性肝炎和肝癌的是
-
有助于诊断是否有乳腺癌骨转移的是
-
ELISA中碱性磷酸酶(AP)的底物为
-
ELISA中辣根过氧化物酶(HRP)的底物为
-
电化学发光分析用的标记物为
-
时间分辨荧光免疫分析用的标记物为
-
目前抗核抗体(ANA)筛查试验最常用的方法是
-
目前抗ENA抗体临床检测最常用的方法是
-
ELISA 检测常用的底物是
-
荧光免疫分析常用的荧光素是
-
化学发光技术常用的发光剂是
-
电化学发光技术常用的发光剂是
-
在62℃维持30min的灭菌方法称为
-
在103.4kPa的压力下达121.3℃,维持15~20min的灭菌方法称为
-
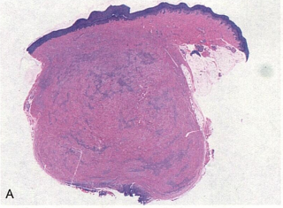
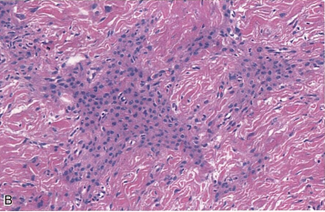
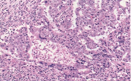
该患者最可能的病理诊断是
-
该患者免疫组化染色结果不应出现的是
-
该患者应该诊断为
-
免疫组化蛋白标记阳性的是
-
使像在任何位置观察时,都带有色斑或晕环,使像模糊不清的是
-
造成的结果是,一个点成像后,不再是个亮点,而是一个中间亮边缘逐渐模糊的亮斑
-
使原来的物点在成像后变成两个分离并且相互垂直的短线,在理想像平面上综合后形成一个椭圆形的斑点
-
称作为“像场弯曲”的是
-
不影响像的清晰度,但使像与原物体比,在形状上造成失真的是
-
在像方二倍焦距以内、焦点以外形成缩小的倒立实像
-
在像方二倍焦距上形成同样大小的倒立实像
-
在像方二倍焦距以外形成放大的倒立实像
-
像方也无像的形成,而在透镜物方的同侧比物体远的位置形成放大的直立虚像
-
像不能成像
-
HE制片中的对策:固定前先把淋巴结对半切开,再行固定,可获得满意效果,其针对的是哪项问题
-
HE制片中的对策:检查电热恒温箱的温度是否恒定,最好是维持在60~62℃,其针对的是哪项问题
-
HE制片中的对策:在染色过程中不要让切片干涸,染色后不要把切片置入烤箱中烤干,需经脱水透明后封片,其针对的是哪项问题
-
HE制片中的对策:注意包埋石蜡的温度要比组织浸蜡的温度高数摄氏度(4~6℃),在包埋时操作要快,不要把组织翻来翻去。其针对的是哪项问题
-
HE制片中的对策:在钳取组织时,勿用镊子重力挤压或用强力牵拉组织,其针对的是哪项问题
-
主要用于某些薄膜组织以及血液或细胞涂片的固定的是?
-
组织块体积过大或固定剂难以进入内部,或需要对整个脏器或动物进行固定
-
具有核膜清晰、染色质均匀、组织结构收缩小的优点的固定法是
-
为拍摄黑白照片专用的滤色镜是
-
在拍摄彩色照片时,为了加深红颜色而使用的一种滤色镜是
-
主要用于皮肤T细胞淋巴瘤和菌样霉菌病以及对T细胞亚群的检测
-
主要用来进行T细胞亚型的研究,但不能区别肿瘤性或反应性T细胞
-
判断正常T细胞和T细胞淋巴瘤/白血病重要的标志物
-
主要用于T细胞淋巴瘤的诊断和鉴别诊断,特异性强,敏感性高的T细胞标志
-
有关中间丝蛋白,酸性角蛋白9~19(pH<5.5)属于
-
有关中间丝蛋白,波形蛋白、结蛋白,GFAP,peripherin(外周蛋白)属于
-
有关中间丝蛋白,神经纤维蛋白(H,M,L),α-internexin(α-丝联蛋白)属于
-
有关中间丝蛋白,核纤层蛋白(A,B,C)属于
-
根据患者查询病理学检查资料的期限规定,门诊患者为送检后
-
根据患者查询病理学检查资料的期限规定,住院患者为送检后
-
凋亡时,细胞体积的形态学变化
-
凋亡时在组织中表现
-
坏死时,细胞体积的形态学变化
-
坏死时在组织中表现
-
Warthin-Starry胃幽门螺杆菌染色法,螺杆菌显示
-
爱先蓝染色法显示新型隐球菌的荚膜为
-
一种能抑制蛋白-酪氨酸激酶活性的小分子药物,能抑制受体C-kit(CD117),异常融合蛋白BCR-ABL,以及PDGFRA
-
能抑制肿瘤细胞HER-1受体细胞内成分的小分子药物,其靶点为EGFR中的酪氨酸激酶
-
属于多靶点受体酪氨酸激酶抑制剂,对多种蛋白酪氨激酶活性具有抑制作用,主要包括PDGFR、VEGFR、KIT受体
-
一种口服的多激酶抑制剂,靶向作用于肿瘤细胞和肿瘤血管中丝氨酸/苏氨酸及受体酪氨酸激酶
-
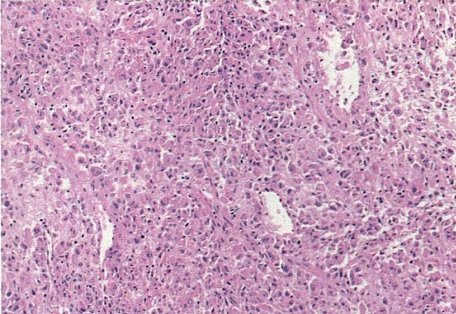
该患者最可能的病理诊断是
-
该患者免疫组化染色结果不应出现的是
-
该患者应该诊断为
-
免疫组化蛋白标记阳性的是
-
使像在任何位置观察时,都带有色斑或晕环,使像模糊不清的是
-
造成的结果是,一个点成像后,不再是个亮点,而是一个中间亮边缘逐渐模糊的亮斑
-
使原来的物点在成像后变成两个分离并且相互垂直的短线,在理想像平面上综合后形成一个椭圆形的斑点
-
称作为“像场弯曲”的是
-
不影响像的清晰度,但使像与原物体比,在形状上造成失真的是
-
在像方二倍焦距以内、焦点以外形成缩小的倒立实像
-
在像方二倍焦距上形成同样大小的倒立实像
-
在像方二倍焦距以外形成放大的倒立实像
-
像方也无像的形成,而在透镜物方的同侧比物体远的位置形成放大的直立虚像
-
像不能成像
-
HE制片中的对策:固定前先把淋巴结对半切开,再行固定,可获得满意效果,其针对的是哪项问题
-
HE制片中的对策:检查电热恒温箱的温度是否恒定,最好是维持在60~62℃,其针对的是哪项问题
-
HE制片中的对策:在染色过程中不要让切片干涸,染色后不要把切片置入烤箱中烤干,需经脱水透明后封片,其针对的是哪项问题
-
HE制片中的对策:注意包埋石蜡的温度要比组织浸蜡的温度高数摄氏度(4~6℃),在包埋时操作要快,不要把组织翻来翻去。其针对的是哪项问题
-
HE制片中的对策:在钳取组织时,勿用镊子重力挤压或用强力牵拉组织,其针对的是哪项问题
-
主要用于某些薄膜组织以及血液或细胞涂片的固定的是?
-
组织块体积过大或固定剂难以进入内部,或需要对整个脏器或动物进行固定
-
具有核膜清晰、染色质均匀、组织结构收缩小的优点的固定法是
-
为拍摄黑白照片专用的滤色镜是
-
在拍摄彩色照片时,为了加深红颜色而使用的一种滤色镜是
-
主要用于皮肤T细胞淋巴瘤和菌样霉菌病以及对T细胞亚群的检测
-
主要用来进行T细胞亚型的研究,但不能区别肿瘤性或反应性T细胞
-
判断正常T细胞和T细胞淋巴瘤/白血病重要的标志物
-
主要用于T细胞淋巴瘤的诊断和鉴别诊断,特异性强,敏感性高的T细胞标志
-
有关中间丝蛋白,酸性角蛋白9~19(pH<5.5)属于
-
有关中间丝蛋白,波形蛋白、结蛋白,GFAP,peripherin(外周蛋白)属于
-
有关中间丝蛋白,神经纤维蛋白(H,M,L),α-internexin(α-丝联蛋白)属于
-
有关中间丝蛋白,核纤层蛋白(A,B,C)属于
-
根据患者查询病理学检查资料的期限规定,门诊患者为送检后
-
根据患者查询病理学检查资料的期限规定,住院患者为送检后
-
凋亡时,细胞体积的形态学变化
-
凋亡时在组织中表现
-
坏死时,细胞体积的形态学变化
-
坏死时在组织中表现
-
Warthin-Starry胃幽门螺杆菌染色法,螺杆菌显示
-
爱先蓝染色法显示新型隐球菌的荚膜为
-
一种能抑制蛋白-酪氨酸激酶活性的小分子药物,能抑制受体C-kit(CD117),异常融合蛋白BCR-ABL,以及PDGFRA
-
能抑制肿瘤细胞HER-1受体细胞内成分的小分子药物,其靶点为EGFR中的酪氨酸激酶
-
属于多靶点受体酪氨酸激酶抑制剂,对多种蛋白酪氨激酶活性具有抑制作用,主要包括PDGFR、VEGFR、KIT受体
-
一种口服的多激酶抑制剂,靶向作用于肿瘤细胞和肿瘤血管中丝氨酸/苏氨酸及受体酪氨酸激酶
-
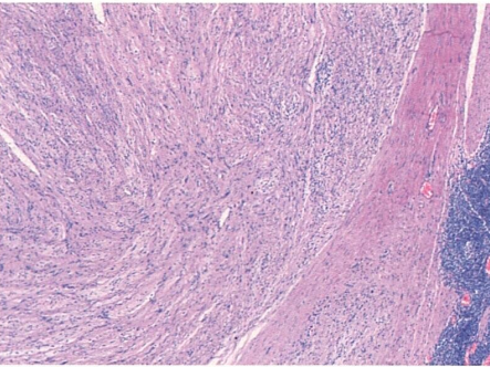
对该患者最可能的诊断是
-
确诊该病首选的实验室检查是
-
确诊该病的特征性病变是
-
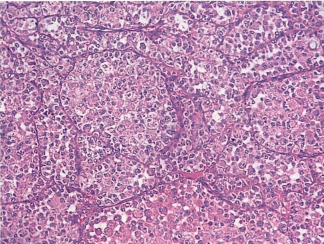
对该患者最可能的诊断是
-
该患者应首先做的检查是
-
对该患者确诊的主要手段是
-
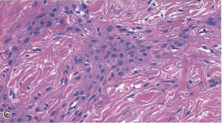
对该患者最可能的诊断是
-
蛛网膜下腔黄白色渗出物属于
-
对该患者最可能的病理诊断为
-
该肿瘤免疫组织化学染色通常阳性的是
-
关于该肿瘤,下列说法不正确的是
-
对该患者最可能的诊断是
-
光镜下观察组织形态如图所示,考虑诊断为
-
诊断中非必须选择的免疫组织化学指标是
-
对该病例最可能的诊断是
-
对该患者下一步考虑继续做的检查是
-
该患者可能的疾病是
-
对该病例最可能的诊断是
-
对该患者下一步考虑继续做的检查是
-
下列胃外肿瘤中可与本例具有某种相同免疫表型的是
-
对该病例最可能的诊断是
-
如果加做分子检测,考虑检测的基因是
-
下列成人肿瘤可有与本例相似免疫表型的是
-
对该病例最可能的诊断是


-
如果加做免疫组织化学检测,考虑的标志是
-
该肿瘤好发的部位是
-
对该病例最可能的诊断是
-
如果加做免疫组织化学检测,下列标志可能会阳性的是
-
下列标志对诊断有帮助的是
-
该病最可能诊断的是
-
如果加做免疫组织化学检测,下列标志可能会阳性的是
-
该肿瘤涉及的异常基因是
-
对该病例最可能的诊断是
-
如加做免疫组织化学标志,该肿瘤表达AE1/AE3,可能还会表达的标志是
-
此类肿瘤属于
-
除骨外,该肿瘤最好发的部位是
-
对该病例最可能的诊断是
-
如加做免疫组织化学标志,该肿瘤表达CD34,可能还会表达的标志是
-
该肿瘤可能涉及重排的基因是
-
下列具有针对性的靶向治疗药物是
-
如加做免疫组织化学检测帮助诊断,下列可能会阳性的标志是
-
该肿瘤可能涉及改变的基因是
-
该肿瘤还可表达的标志是
-
下列涉及相似遗传学改变的肿瘤是
-
光镜下观察,肿瘤组织学形态如图所示。诊断考虑为
-
下列描述不符合该病形态特点的是
-
对该肿瘤若行免疫组织化学染色,最具诊断价值的阳性抗体是
-
下列对该肿物的确诊最重要的检查是
-
镜下观察,瘤组织由异型性明显的梭形细胞构成,弥漫分布。瘤细胞可见小核仁和核分裂象。间质血管呈鹿角样分支,部分区域胶原化明显。对该病例的病理诊断,下列选项中最不可能的是
-
免疫组织化学检测瘤细胞呈EMA(+)、S-100灶性(+)、Bcl2(+)、CD99(+)、CD34(-)、CD56(-)、STAT6(-)。对该病例最可能的诊断是
-
对该肿瘤若行FISH检测最可能出现的是
-
下列可以利用来鉴别类白血病反应的重要依据是
-
该患者可能异常的染色体是
-
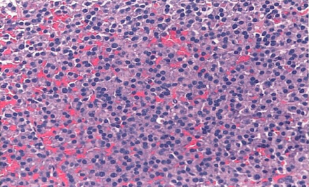
该患者经干扰素和小剂量阿糖胞苷治疗,病情稳定4年。半年前停药观察。近一周来出现发热、牙龈出血,查体发现脾肋下10cm,Hb 6.8g/L,WBC 32×10⁹/L,PLT45×10⁹L,考虑该患者为
-
对该患者最不可能的病理诊断是
-
术后病理示:细胞呈巢状排列,核异型明显、核分裂象易见。免疫组织化学染色显示:CK5/6(+)、P40(+)、P63(+),Vimentin(-)。对该患者可能的病理诊断是
-
光镜下观察组织学图像如图所示。对该患者的诊断考虑为
-
下列描述不符合该病特点的是
-
根据组织特点,免疫组织化学检测阳性的指标是
-
在病理诊断和鉴别诊断中,暂不考虑的肿瘤类型是
-
如果考虑胃肠道间质肿瘤,下述抗体阳性可作为诊断依据的是
-
如果免疫组织化学检测CD117阳性,病理诊断是上皮样型胃肠道间质肿瘤。下列提示对靶向药物伊马替尼治疗有效的分子病理检查结果是
-
该病变最可能为
-
关于该病变,下列说法正确的是
-
关于该病变,下列说法不正确的是
-
对此病例可能的诊断是
-
该类病例一般不会出现的病理形态是
-
一般情况下,以下抗体不会阳性表达的是
-
目前认为,此类疾病有比较特异的分子学改变,应该是
-
此种疾病诊断时要鉴别的疾病不包括
-
对该病例的诊断是
-
病变最有可能弥漫强表达的免疫组织化学标志是
-
对该患者最可能的病理诊断是
-
免疫组织化学检测上其特征表达的标志物是
-
该肿瘤最可能检测到的基因突变有
-
对该患者最可能的病理诊断是
-
该病例免疫组织化学染色不能出现的结果是
-
该病例免疫组织化学染色中最有鉴别诊断意义的指标是
-
对该患者可能的病理诊断是
-
镜下观察见肿瘤细胞排列成腺管状、腺泡状、乳头状结构,瘤细胞胞质丰富,红染,可见核仁,间质致密,纤维化。下列免疫组织化学检测对诊断没有帮助的是
-
此疾病最主要的鉴别诊断是
-
对该病例应诊断为
-
在遗传学方面,与该病理学类型关系密切的突变基因是
-
该病例与细支气管腺瘤鉴别的最佳免疫组织化学组合是
-
对该病例最可能的诊断是编辑
-
该肿瘤免疫组织化学染色不表达编辑
-
对该病例的诊断为
-
该肿瘤不表达
-
光镜下观察组织学图像如图所示。对该患者的诊断考虑为
-
根据组织学特点,免疫组织化学检测出现阳性概率最多的是
-
如果与肾软斑病鉴别,需要进行的特殊染色是
-
该患者光镜下观察组织学图像如图所示,诊断考虑为
-
下列检查有助于该疾病诊断的是
-
对该病例最可能的病理诊断是
-
支持上述诊断的免疫组织化学检测结果是
-
如肿瘤由均匀一致细胞组成,排列成小管状、条索状及网状,小管内衬均匀一致的立方形及柱状细胞,细胞巢周围可见纤维间质免疫组织化学α-inhibin、CD99、Melan-A阳性,则对该病例的诊断为
-
对该患者的病理诊断为
-
对鉴别HPV相关性鳞状细胞癌和非HPV相关性鳞状细胞癌有价值的免疫组织化学检查是
-
对于该患者,可能的诊断是
-
该患者免疫组织化学检测最可能的结果是
-
对该病例最不可能的诊断是
-
下述免疫组织化学指标不必检测的是
-
如果HMB45、S-100、SOX10阳性,对该患者考虑的诊断是
-
光镜下观察组织学图像如图所示。对该患者的诊断考虑为
-
下列免疫组织化学标志物对鉴别诊断无帮助的是
-
光镜下观察组织学图像如图所示。对该患者的诊断考虑为
-
下列免疫组织化学标志物的鉴别诊断价值最低的是
-
对该病例最可能的诊断是
-
术中见左输卵管壶腹部至伞端明显增粗膨大形成紫蓝色包块,大小约4cm×3cm×2cm,壶腹部可见一破口,有活跃出血。该患者术后病理检查最不可能出现的形态或免疫组织化学结果是
-
如需判断输卵管妊娠是否为葡萄胎,最可靠的辅助检测是
-
下列选项中可以优先排除的诊断是
-
根据上面的鉴别诊断,以下辅助检查对诊断没有帮助的是
-
该患者再次清宫后,可见子宫肌层内有大量绒毛及中间型滋养细胞,下列辅助检测最具有鉴别诊断价值的是
-
对该病例最可能的诊断是
-
该病最有诊断性的免疫组织化学指标为
-
对该病例最可能的诊断为
-
该患者呈阳性的免疫组织化学特殊染色是
-
对该病例最可能的诊断应是
-
该患者免疫组织化学阳性标志物不包括
-
对该病例最可能的诊断为
-
该病例免疫组织化学阳性标志物应为
-
该病最需相鉴别的疾病是
-
对该病例最可能的诊断应为
-
该病例镜下观察可见肿瘤细胞排列呈条索样、梁状、腺管样,黏附性强,部分肿瘤细胞核仁明显,可见病理性核分裂象。则对该患者最可能的诊断为
-
若该患者的母亲为乳腺癌去世,则患者应检测的基因靶点为
-
进行基因检测的方法为
-
对该病例最可能的诊断为
-
如该病为淋巴瘤,则该部位最常见的病理类型是
-
若该病例诊断为弥漫大B细胞淋巴瘤,界定瘤细胞核大小为
-
以下免疫组织化学标志物表明是生发中心来源的是
-
对该病例最可能的病理诊断为
-
免疫组织化学标志血管源性标志物不包括
-
电镜下观察出现的特征性改变为
-
对该患者最可能的诊断是
-
下列免疫组织化学检测指标最支持该肿瘤诊断的是
-
对该患者颅内病变最可能的诊断是
-
这一疾病的分子生物学基础是
-
此肿瘤细胞主要的构成细胞是
-
以下病变不考虑的是
-
镜下观察可见囊壁表层有坏死和大量中性粒细胞渗出;中层可见慢性炎性肉芽组织,深层可见增生的成纤维细胞和反应性增生的星形细胞。对该患者首先考虑诊断为
-
如果想鉴别是否为曲霉菌感染,可选用的特殊染色方法是
-
该肿瘤常见的免疫组织化学表达阳性的标志物不包括
-
该肿瘤最常见的分子生物学改变是
-
对该患者最有可能的病理诊断是
-
该肿瘤最有可能存在的分子生物学改变是
-
若该患者确定存在基因改变,则下列辅助检查最有必要的是
-
对该病例首先应考虑的诊断是
-
为明确诊断,对该患者最合适的处理是
-
对该患者最可能的病理诊断是
-
对该肿瘤的描述中错误的是
-
该肿瘤存在改变的基因是
-
对该病例最可能的诊断是
-
对该肿瘤的诊断最有帮助的抗体是
-
该疾病的遗传学改变为
-
根据病变形态对该患者主要考虑的诊断是
-
对该病例证实诊断可使用的免疫组织化学染色是
-
对该病例主要考虑的诊断是
-
该病例确诊需要进行的免疫组织化学染色是
-
对该病例考虑的诊断是
-
对该病例不可使用免疫组织化学染色证实的是
-
该类疾病常出现的基因改变是