医药卫生>卫生资格初级 > 病理学技术士【代码:106】
病理学技术士【代码:106】 - 相关题库
共享题干单选题
编号:6057765
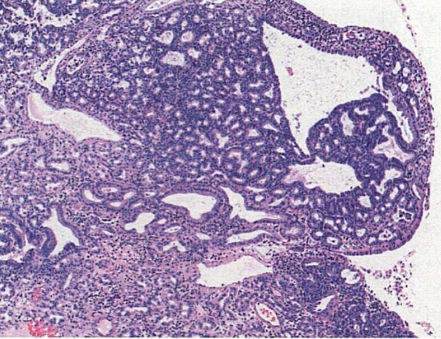
患者男,55岁。体检B超发现胆囊息肉。手术中见胆囊底部息肉样肿物,质软,切面灰红色。显微镜下观察如图所示。
1.病变最有可能弥漫强表达的免疫组织化学标志是
A.MUC1
B.MUC5AC
C.MUC6
D.Syn
E.p53
登录后查看答案及解析
病理学技术士【代码:106】 - 相关课程
选择购买的题库
2026年《病理学技术士【代码:106】》考试题库
试题数量:4256
价格:192.00/年