医药卫生>卫生资格初级 > 病理学技术士【代码:106】
病理学技术士【代码:106】 - 相关题库
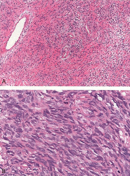
共享题干单选题 编号:6058048

1.患者男,40岁。呼吸困难、胸痛、低血糖。术中见肿物位于脏层胸膜,单发,直径约5cm,境界清楚,质实,灰白。镜下观察见肿瘤细胞呈成纤维细胞样,细胞稀少区和细胞丰富区之间有粗的玻璃样变胶原和分支状血管分隔,富于细胞区呈席纹状排列,大部分异型性不明显。病理切片形态如图所示。


1.对该病例最可能的诊断是编辑
  • A.纤维肉瘤
  • B.血管周细胞瘤
  • C.肉瘤样间皮瘤
  • D.单相型滑膜肉瘤
  • E.孤立性纤维性肿瘤;
病理学技术士【代码:106】 - 相关课程

选择购买的题库