医药卫生>卫生资格初级 > 病理学技术士【代码:106】
病理学技术士【代码:106】 - 相关题库
共享题干单选题
编号:6058017
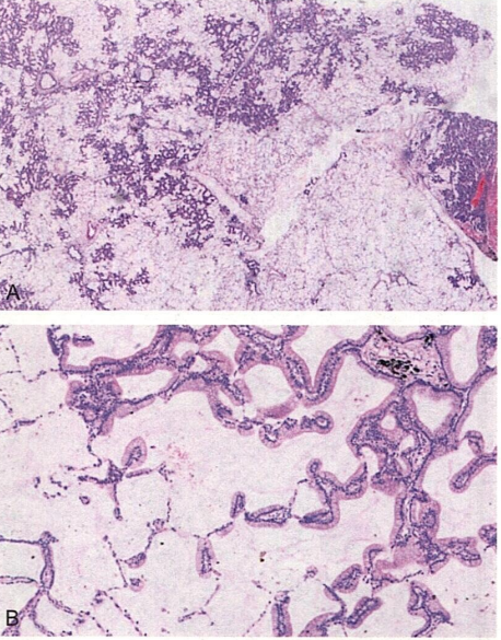
患者女,55岁。咳嗽、咳痰带血。X线显示右下肺野多灶性阴影。镜下改变如图所示。
1.在遗传学方面,与该病理学类型关系密切的突变基因是
A.BRAF
B.K-ras
C.EGFR
D.ROS1
E.ELM4-ALK
登录后查看答案及解析
病理学技术士【代码:106】 - 相关课程
选择购买的题库
2026年《病理学技术士【代码:106】》考试题库
试题数量:4256
价格:192.00/年