医药卫生>卫生资格初级 > 病理学技术士【代码:106】
病理学技术士【代码:106】 - 相关题库
共享题干单选题
编号:6069578
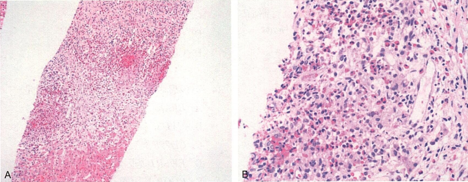
患者男,23岁。发现肝占位病变,进行肝穿刺活检,病变形态如图所示。
1.对该病例不可使用免疫组织化学染色证实的是
A.S-100
B.Langerin
C.cyclin D1
D.CDla
E.MPO
登录后查看答案及解析
病理学技术士【代码:106】 - 相关课程
选择购买的题库
2026年《病理学技术士【代码:106】》考试题库
试题数量:4256
价格:192.00/年