医药卫生>卫生资格初级 > 病理学技术士【代码:106】
病理学技术士【代码:106】 - 相关题库
共享题干单选题 编号:6057673

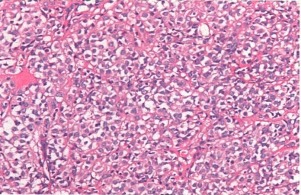
患者男,60岁。因“呕血3小时”急诊就医。胃镜检查,发现胃体后壁巨大隆起肿块,表面黏膜糜烂。肿块固定,边界尚清,大小约5.2cm×4.9cm。胃窦部黏膜高低不平部分呈颗粒状。胃镜活检标本组织学检查,显示病变由异型上皮样细胞组成,形态如图所示。


1.如果免疫组织化学检测CD117阳性,病理诊断是上皮样型胃肠道间质肿瘤。下列提示对靶向药物伊马替尼治疗有效的分子病理检查结果是
  • A.C-KIT外显子13
  • B.C-KIT外显子11
  • C.PDGFRα外显子18
  • D.PDGFRa外显子12
  • E.BRAF(V600E)突变
病理学技术士【代码:106】 - 相关课程

选择购买的题库