医药卫生>卫生资格初级 > 病理学技术士【代码:106】
病理学技术士【代码:106】 - 相关题库
共享题干单选题
编号:6057262
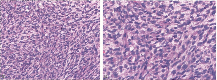
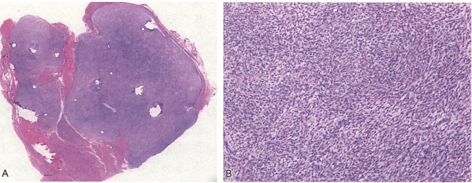
患者男,3岁11个月。家长发现患者右上臂有一包块,前往医院就诊,行“右上臂肿瘤切除术”。术中肿瘤包绕桡神经。术后肿瘤切片镜下形态如图所示。
1.下列具有针对性的靶向治疗药物是
A.拉罗替尼
B.克唑替尼
C.西罗莫司
D.哌柏西利
E.舒尼替尼
登录后查看答案及解析
病理学技术士【代码:106】 - 相关课程
选择购买的题库
2026年《病理学技术士【代码:106】》考试题库
试题数量:4256
价格:192.00/年