医药卫生>卫生资格初级 > 病理学技术士【代码:106】
病理学技术士【代码:106】 - 相关题库
共享题干单选题
编号:6057153
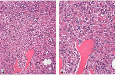
患者男,16岁。右踝关节疼痛不适。影像学检查显示右胫骨下端和足骨多灶性病变,临床和影像学诊断多骨性朗格汉斯细胞组织细胞增生症,行活检,镜下形态如图所示。
1.此类肿瘤属于
A.瘤样病变
B.良性肿瘤
C.中间性肿瘤
D.低度恶性肿瘤
E.高度恶性肿瘤
登录后查看答案及解析
病理学技术士【代码:106】 - 相关课程
选择购买的题库
2026年《病理学技术士【代码:106】》考试题库
试题数量:4256
价格:192.00/年