医药卫生>卫生资格初级 > 病理学技术士【代码:106】
病理学技术士【代码:106】 - 相关题库
共享题干单选题
编号:6057300
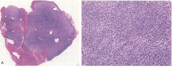
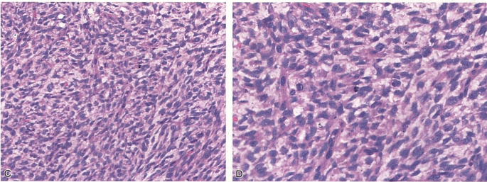
患者女,2岁。2019年8月因“发现左足背突起2个月余”就诊。体检:左足背中央处可触及质硬突出肿块,无压痛,活动不受限。镜下肿块切片形态如图所示。
1.该肿瘤还可表达的标志是
A.AE1/AE3
B.TLE1
C.SOX10
D.WT1
E.PHOX2B
登录后查看答案及解析
病理学技术士【代码:106】 - 相关课程
选择购买的题库
2026年《病理学技术士【代码:106】》考试题库
试题数量:4256
价格:192.00/年