医药卫生>卫生资格初级 > 病理学技术士【代码:106】
病理学技术士【代码:106】 - 相关题库
共享题干单选题
编号:6069423
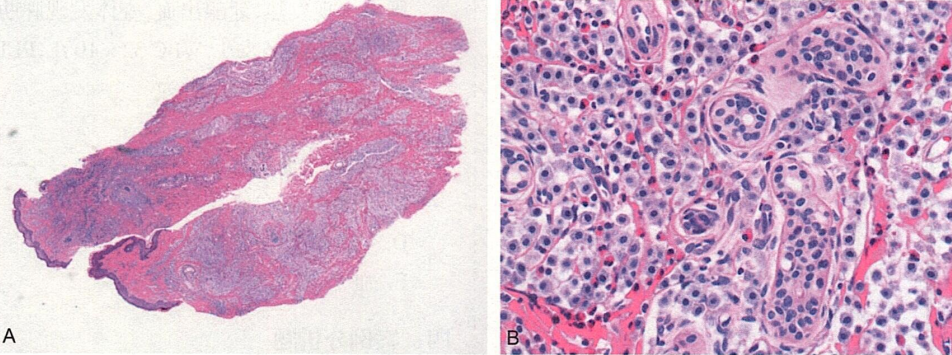
患者男,44岁。发现腹壁皮肤病变1个月,病变形态如图所示。
1.该病例确诊需要进行的免疫组织化学染色是
A.CD1a
B.S-100
C.CD117
D.CD30
E.CD20
登录后查看答案及解析
病理学技术士【代码:106】 - 相关课程
选择购买的题库
2026年《病理学技术士【代码:106】》考试题库
试题数量:4256
价格:192.00/年