医药卫生>卫生资格初级 > 病理学技术士【代码:106】
病理学技术士【代码:106】 - 相关题库
共享题干单选题 编号:6055735

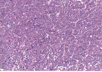
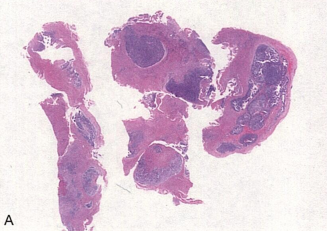
患者女,45岁。1年前发现左大腿后侧包块,质韧,活动差。1年来,包块逐渐增大,并出现疼痛。查体:左大腿后侧可见3cm×3cm包块,质韧,边界清,活动差。超声:左侧腘窝上方见一混合回声团块,大小:23mm×23mm,边界欠清。镜下观察包块形态如图所示。


1.下列标志对诊断有帮助的是
  • A.SALL4
  • B.PNL2
  • C.CD31
  • D.INI-1
  • E.TLE1
病理学技术士【代码:106】 - 相关课程

选择购买的题库