-
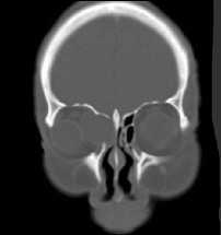
男,6岁,其家长诉患儿喜眯眼视远。视力:右0.4,左0.1,眼前后节检查未发现明显异常。其睫状肌麻痹下验光结果为:右 +5.00DS+1.00DC×90°=0.6,左 +5.00DS+1.00DC×85°=0.6,应诊断为()
-
女,5岁,两岁发现内斜视。检查:视力为右0.3,左0.1,眼位为左眼+15°,眼球运动为各方向均不受限。眼底像清晰未发现明显异常,同视机检查不合作,睫状肌麻痹下验光结果为中度远视,下一步如何处理()
-
关于眼的胚胎发育,说法正确的是()
-
以下选项中,错误的是()
-
关于眼睑腺体,错误的是()
-
眶内壁的组成中不包括()
-
胚胎发育过程中,次级玻璃体出现于()
-
关于视神经,错误的是()
-
眼外肌的特点中,错误的是()
-
颈内动脉位于视交叉的()
-
睫状神经节位于()
-
胚胎发育过程中,黄斑中心凹出现于()
-
睫状神经节的短根由哪条神经发出()
-
支配瞳孔开大肌的交感纤维主要来自()
-
与眼睑供血无关的动脉是()
-
睫状神经节的节后纤维是()
-
眼球的血液供应,正确的是()
-
虹膜小环的特点,错误的是()
-
仅有一条眼动脉肌支供应的眼外肌是()
-
总是严格分布在眼球的水平径线上的动脉是()
-
眼球的静脉回流,错误的是()
-
葡萄膜的特点不包括()
-
不属于颈内动脉分支的是()
-
前房角前壁起始处位于()
-
来源于光感受器的是()
-
正常人臂-脉络膜循环时间约是()
-
角膜溃疡愈合后,混浊位于角膜基质深层,呈灰白色,边界较清楚,可透见下方的虹膜,但不能看清虹膜纹理,属于何种瘢痕性角膜混浊()
-
真菌的特点包括()
-
运动缺陷型眼球震颤错误的是()
-
流泪的原因有()
- 支配眼睑闭合的神经是
-
外伤后眼球萎缩可导致()
-
正常人极度向上、向下注视时,上睑睑缘位置相差应大于()
-
泪道功能不全的原因不包括()
-
Alrt线位于()
-
溃疡多开始于角膜周边,缓慢向中心潜行,进行缘不整齐,呈灰白色,考虑是()
-
下列角膜疾病中,不伴明显眼痛的是()
-
白内障的主要症状是()
-
不是晶状体半脱位的临床表现()
-
无晶状体眼的屈光状态()
-
糖皮质激素性青光眼的主要发病机制是()
-
Krukenberg梭见于()
-
正常人前房深度为()
-
有关目标眼压不正确的是()
- 关于先天性无虹膜,错误的是()
-
脉络膜转移癌中癌细胞进入眼内的主要途径为()
-
KP弥漫性分布于角膜后壁,主要见于()
-
关于三种虹膜结节,说法正确的是()
-
前房闪辉和房水细胞的意义,错误的是()
-
反映眼前段炎症的可靠指标是()
-
关于房水细胞,说法错误的是()
-
视网膜可溶性抗原(S抗原)主要存在于()
-
玻璃体的功能和特点,错误的是()
-
玻璃体与视网膜粘连最紧密的位置是()
-
2001年国际临床糖尿病视网膜病变分级中,视网膜前出血意味着患者处于()
-
早产儿视网膜病变将病变部位分为3个区,其中,2区是指()
-
高度近视黄斑区漆裂纹的形成原因是()
-
Stargardt病病变位置位于()
-
关于视网膜渗出,错误的是()
-
ROP4 A期病变指()
-
关于Rb,说法正确的是()
-
关于A-R瞳孔,错误的是()
- 不会出现视力迅速下降的视路疾病有()
-
内囊病变的"三偏"是指()
-
伴随调节出现的眼部改变不包括()
-
第一诊断眼位是向哪个方向看()
-
钙化可见于()
-
开放性眼外伤Ⅱ区是指()
-
患者,男性,24岁,左眼眼球钝挫伤后2个月。检查可见玻璃体内大量色素,颞上象限视网膜脱离,可见视网膜表面皱褶,血管抬高,1点赤道后见裂孔一个,裂孔后缘卷曲。该患者属于()
-
患者,男性,20岁。先天特发性眼球震颤,静止眼位在左侧,给该患者配三棱镜时,其双眼三棱镜尖端的方向应是()
-
属于配偶肌的是()
-
中心凹旁CNV位于黄斑无血管区中心()
-
关于泪器,说法错误的是()
-
房水的生成和流出,正确的是()
-
巩膜的特点,错误的是()
-
既能抑制房水产生又能增加房水排出的药物是()
- 盐酸去氧肾上腺素散瞳的机制正确的是()
-
下列病变中不属于迷芽瘤的是()
-
视网膜母细胞瘤的转移途径有()
-
关于各种视野检查方法,说法正确的是()
-
5~8分钟时暗适应曲线上的转折点代表了()
-
以下为G
杆菌的是()
-
鳞屑性睑缘炎病灶处可见()
-
新生儿泪囊炎致病菌多为()
-
最佳的人工泪液为()
-
与结膜免疫性疾病无关的细胞是()
-
阿波罗11号结膜炎的病原体是()
-
角结膜皮样瘤是结膜先天性发育异常的一种病变。其来源属于以下哪一种肿瘤()
-
以下可能为性连锁遗传的是()
- 先天性全白内障以哪种遗传最常见()
-
最适合单眼白内障术后的视力矫正方法是()
-
美开朗的禁忌证包括()
-
哪种药物是选择性β受体阻滞剂,选择性阻断β
受体而不阻断β
受体()
-
脉络膜黑色素瘤的辅助检查错误的是()
-
下列角膜疾病中,有免疫因素参与的是()
-
抗原性最强的晶状体蛋白是()
-
属于Ⅰ型超敏反应的眼部疾病是()
-
不属于免疫缺陷性疾病的是()
-
不需要抗体参与的是()
-
角膜移植术后发生免疫排斥,可能出现的实验室检查结果是()
-
玻璃体视网膜牵引时的临床表现不包括()
-
玻璃膜疣的特点错误的是()
-
渗出性老年黄斑变性与特发性息肉状脉络膜血管病变进行鉴别时,最重要的是()
-
视网膜母细胞瘤的第二原发肿瘤最多见为()
- 痉挛性瞳孔缩小时,错误的是()
-
在下列眼病中不会发生传入性瞳孔传导阻滞的是()
-
Horner综合征的主要病因是()
-
对视乳头先天异常的临床检查,错误的是()
-
先天性视乳头异常,说法错误的是()
-
测定正视眼的近点距离为20cm,其调节力为()
-
注视远点和注视近点之间屈光力之差是()
-
近视眼的远点在()
-
无晶状体眼导致()
-
视角为5′时,视力为()
-
Worth四点灯试验中,患者看到2个红灯说明()
-
关于斜视性弱视的叙述不正确的是()
-
眼球突出发生较缓慢的疾病是()
-
外伤性前房积血的并发症包括()
-
影像学方法对眼内异物的诊断错误的是()
-
不会引起继发性青光眼的情况是()
-
当眼底出现哪种表现时,常意味着患者出现了恶性高血压()
-
Craves病患者不会出现的眼征是()
-
不会导致视野向心性缩小的有()
-
1966年国家卫生部通知规定"全国爱眼日"为()
-
视网膜光凝治疗时,所需要的组织反应程度是()
-
计算患病率的分子是()
-
病例对照研究中,调查对象应当是()
-
为提高诊断试验的特异度,对几个独立实验可()
-
患者,女性,55岁,双眼视力下降1年,突然出现左眼胀痛,左侧头痛1天。检查:左眼视力眼前手动,眼压56mmHg,周边前房1/3CT,瞳孔6mm,晶状体不均匀混浊。考虑恰当的诊断()
-
患者,男性,62岁,左眼痛、视力下降6个月就诊。既往高血压、糖尿病15年。曾有多次短暂黑矇病史。查:Vod0.8,Vos0.04,IOP15mmHg(右),IOP32mmHg(左)。右眼未见明显异常。左眼虹膜可见新生血管,晶状体玻璃体无明显混浊,视乳头色淡,动脉细窄,静脉轻度扩张迂曲,后极视网膜水肿,散在片状出血及棉绒斑。左眼FFA显示充盈时间显著延长,视网膜小动脉管壁染色。颈动脉彩超示左颈内动脉多处粥样斑块形成,血流严重受阻。该患者左眼的诊断为()
-
角膜屈光力占眼球总屈光力的()
-
治疗真菌性角膜炎的主要药物是()
-
属于遗传性巩膜病的疾病是()
-
眼部的转移性肿瘤最常见的转移部位是()
-
用弧形视野计白色视标检查时,正常周边视野范围正确的是()
-
按Scheie房角分级法,眼球处于静态观察时,仅能见到巩膜突与小梁网,其房角为()
-
视网膜母细胞瘤的影像学特点,错误的是()
-
下列哪一项不是结膜充血的特点()
-
视力下降而眼底无改变的是()
-
各型睑缘炎的特点,正确的是()
-
单纯疱疹病毒性和带状疱疹病毒性眼睑皮炎的鉴别点正确的是()
-
眼睑基底细胞癌的特点,错误的是()
-
Sjogren综合征所致的干眼症()
-
急性卡他性结膜炎的特点错误的是()
-
结膜恶性黑色素瘤的特点,错误的是()
-
蚕蚀性角膜溃疡与Terrien边缘变性,说法正确的是()
-
恶性青光眼发作时的临床表现不包括()
-
ARN的治疗中,最重要的是()
-
关于中间葡萄膜炎的治疗,错误的是()
-
脉络膜炎的特点,错误的是()
- 先天性无虹膜的特点正确的是()
-
脉络膜血管瘤的特点正确的是()
-
脉络膜恶性黑色素瘤的临床特点错误的是()
-
关于家族性渗出性玻璃体视网膜病变错误的是()
-
玻璃体积血可发生的并发症()
-
关于Best病,说法错误的是()
-
Coats病的临床特点,描述错误的是()
-
关于视网膜色素变性,正确的是()
-
遗传性视网膜劈裂征的典型临床表现不包括()
-
视网膜静脉周围炎早期最适合的治疗方法是()
-
视乳头炎的临床表现是()
-
关于球后视神经炎与缺血性视神经病变,说法错误的是()
-
关于Horner综合征,说法错误的是()
-
软性角膜接触镜用于下列哪一种情况最为适宜()
-
LASIK与PRK相比的优点中,错误的是()
-
Ⅴ型外斜多伴有()
-
集合不足型外斜视看近比看远大于等于()
-
右眼上直肌麻痹,复视像分离最大的方向是()
-
先天性特发性眼球震颤的病人()
-
关于海绵状血管瘤,正确的是()
-
眶上静脉曲张的临床表现正确的是()
-
关于泪腺腺样囊性癌,错误的是()
-
视神经脑膜瘤的临床特点不包括()
-
眼眶肿瘤的治疗,正确的是()
-
多发性硬化眼部最常见的改变是()
-
Wilson病的临床表现不包括()
-
下列哪种不是角膜缘干细胞缺乏的原因()
-
关于开放性眼外伤玻切手术错误的是()
-
前房积血的手术指征有()
-
为了研究中浆的病因,在群组研究中,选择暴露组的观察人群应是()
-
患者,男性,21岁,双眼睑多发小肿物1年就诊。双眼上睑及睑缘多个大小不等黄白色小结节,中央凹陷,内部可挤出白色凝乳样物质,不伴疼痛、溃疡。最可能的诊断是()
-
患者,女性,25岁,双眼红痛、畏光、大量水样分泌物7天。患者双眼睑水肿,结膜充血水肿,睑结膜滤泡增生,角膜见弥散的斑点状灰白色上皮浸润。眼内未见明显异常。耳前淋巴结肿大,压痛(+)。该患者最可能的诊断是()
-
患者,男性,63岁,双眼无痛性进行性视力下降30年。眼科检查,Vod0.1,Vos0.2,双眼结膜无充血,角膜周边全周变薄,部分基质层消失,新生血管长入,中央角膜尚透明,考虑是()
-
患者,男性,2岁,1岁时行"左眼外伤性白内障抽吸术后",左眼出现白色的瞳孔半年,目前最可能的诊断是()
-
患者,男性,25岁,左眼被拳头击伤后视力下降、眼球胀痛2小时。检查:左眼视力眼前手动,眼压54mmHg,角膜水肿,前房深,前房有油滴状外观,瞳孔散大,眼底模糊。最恰当的处理()
-
患者,男性,10岁,自幼视力差。检查:双眼视力0.02,双眼前段无明显异常,晶状体玻璃体透明,双眼视乳头约3PD大小,边缘不规则隆起,底部被不透明白色组织填充,血管约20支,放射状向周边走行,无法分辨动静脉。该患者可初步诊断为()
-
患者,男性,左眼白内障摘除+人工晶状体植入术后1年,视力急剧下降5天。检查Vos0.04,人工晶状体在位,玻璃体絮状混浊(++),眼底见周边视网膜多处半球形棕黑色隆起,下方视网膜青灰色隆起,患者左眼的初步诊断是()
-
患者,女性,40岁。楼房倒塌时砸伤胸部。1周后患者感双眼视力下降,检查双眼前段无异常,双眼视网膜水肿,可见大量棉绒斑和片状出血,该患者的诊断应为()
-
上斜肌的次要作用为()
-
睫状体冷冻或光凝的位置是()
-
青光眼病人如果长期滥用甘露醇药物,最严重的后果是()
-
下列哪种肿瘤能引起血道或淋巴道转移()
- 通常近视力表要求的检查距离是()
- 视网膜色素变性一般不会出现()
- 继发于脱髓鞘疾病的视神经炎可出现()
-
60岁白内障患者,术前角膜内皮检查,细胞密度为()时应禁行超声乳化术。
-
MRI T
加权呈中低信号,T
加权呈高信号,增强扫描呈"渐进性强化"的是()
- 老年性睑外翻首选的手术方法,正确的是()
-
泪点和泪管完全缺如,应采用的治疗方法是()
-
角、结膜重建的前提条件是()
-
以下角膜移植排斥反应可能性最大的是()
-
先天性全白内障手术时间()
-
哪个不是青光眼引流物植入物()
-
前房积脓不会见于()
-
需要长期、足量、足疗程应用糖皮质激素的疾病是()
- 矫正老视比较成熟的临床方法有()
-
-2.00DS/+2.50DC×90°是属于哪种散光类型()
- 屈光参差患者双眼矫正应不超过()
-
在检影验光中,检影镜光带平行射出,假设检查距离为2m,此时刚好达到中和点,患者的屈光度数是()
-
不能配戴隐形眼镜的是()
-
先天性白内障引起的弱视属于()
-
先天性特发性眼球震颤的病人"中间带"在右侧,面向左转,手术()
-
先天性内斜视手术设计时应保留微小内斜视的度数是()
-
甲状腺相关眼病的治疗,错误的是()
-
炎性假瘤的特点不包括()
-
横纹肌肉瘤的特点错误的是()
-
以下哪些可以帮助诊断睫状体分离()
-
外伤性眼内炎的处理错误的是()
-
巩膜裂伤缝合错误的是()
-
需要经玻璃体取出的异物包括()
-
以下情况应考虑到有眼内异物可能()
-
适用于玻切钳夹的异物有()
-
视网膜内异物摘除的原则错误的是()
-
开放性眼外伤角膜伤口的缝合应注意()
-
下列说法中错误的是()
-
关于颞动脉炎的特点,说法错误的是()
-
做全视网膜光凝时,光凝斑相互间隔的距离应为()
-
激光治疗青光眼有以下几种方法,其中哪项疗效最好()
-
患者,女性,40岁,双眼明显疼痛、视力下降10天就诊。查Vod0.2,Vos0.4,双眼紫红色充血,结膜及巩膜血管充血扭曲,眼内未见明显异常。B超示:眼球后壁回声弥漫增厚,紧贴巩膜出现"T"形无回声间隙。该患者可初步诊断为()
-
患者,女性,65岁,右眼红痛、视力下降2年。5年前行白内障摘除联合人工晶体植入术。眼科检查:Vos0.01,右眼结膜轻度充血,角膜上皮可见水泡,基质雾状水肿,后弹性层皱褶,下列治疗错误的是()
-
患者,男性,34岁,右眼被异物击伤后视力下降半年,视力为眼前手动。检查:晶状体乳白色混浊,晶状体前表面棕色沉着。CT检查:玻璃体有针尖状金属异物。比较恰当的手术方式是()
-
患者,男性,56岁,左眼胀痛、视物模糊1个月。检查:左眼视力眼前光感,左眼眼压56mmHg,结膜混合充血,角膜水肿,前房周边较浅,虹膜有新生血管,瞳孔3.0,光反射消失,晶状体不均匀混浊,眼底模糊。最恰当的手术方式()
-
患者,男性,18岁,因发现外斜视10年,局麻下行双眼外直肌后徙术,术后第二天左眼内斜45°,外转不过中线,应考虑()
-
患儿10岁,发现左眼内斜视3年,斜视检查第一眼位33cm照影,左+25°,左眼眼球外转明显受限,试图内转时睑裂变窄。最可能的诊断是()
-
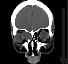
患者,男性,60岁。既往有3次右眼泪腺多形性腺瘤手术史。近1个月突发右眼疼痛,视力下降。无明显发热及流泪。检查:Vod0.1,Vos0.8。右眼上睑肿胀,可触及外上方肿块,活动度差,触痛(+),右眼向前下方突出。CT可见不规则形肿块,周围骨壁虫蚀样改变。该患者初步考虑为()
-
关于原田综合征治疗,何者不正确
-
脉络膜黑色素瘤,临床表现为
-
急性视网膜坏死综合征的治疗
- 关于Vogt-小柳原田综合征具有诊断意义的是
-
有关Behcet病治疗,错误的是
-
急性虹膜睫状体炎治疗关键是
-
交感性眼炎与原田病主要鉴别点为
-
关于急性虹膜睫状体炎治疗,哪项不对
-
交感性眼炎好发生在穿通性眼外伤后
-
蚕蚀性角膜溃疡的最主要机制是
-
Vogt-小柳原田综合征的临床表现为
-
交感性眼炎与Vogt-小柳原田综合征鉴别要点为
-
交感性眼炎好发生在穿通性眼外伤后
-
急性虹膜睫状体炎治疗的关键是
-
青年患者,自诉双眼先后多次交替发病,之后视力逐渐下降。以往在当地治疗使用激素好转,停药后一段时间又发病。有时自己不知原因发病,又不治自愈。可能的病变是
-
患者60岁,女性,高度近视,诉突然左眼视力降至光感两天,血压正常,查眼底,无玻璃体积血,无明显视网膜水肿,无樱桃红改变,视网膜无出血,视盘无水肿,眼球及眼眶部无疼痛。以下考虑哪项不对
-
甲状腺相关性眼病首先受累的眼外肌是
- 甲状腺相关性眼病描述正确的是
-
甲状腺相关性眼病的典型眼部表现除外
- 甲状腺相关性眼病的主要治疗措施除外
-
睁眼时上睑遮盖角膜上方不超过
-
易误诊为黑色素痣或黑瘤的眼睑肿瘤为
-
关于带状疱疹性睑皮炎的临床表现,错误的是
-
常引起眦部睑缘炎的致病菌为
-
不符合睑板腺囊肿临床表现的是
-
睑内翻的伴随症状不包括
-
有关溃疡性睑缘炎,不正确的是
-
婴幼儿时期最常见的眼睑良性肿瘤是
-
以下睑外翻的治疗方法中不正确的是
-
不符合单疱病毒性睑皮炎临床表现的是
-
上睑下垂晨轻夜重,且在注射新斯的明后明显减轻,最可能的诊断为
- 眼睑最常见的疾病是( )。
-
导致兔眼最常见的原因是
-
肉毒杆菌局部治疗可能有效的是
-
睑腺炎大多因哪种细菌感染引起
-
下列哪种睑内翻最不常见
-
摩-阿双杆菌感染常引起
-
眦部睑缘炎的治疗中,下列哪种药物最适合
-
婴幼儿时期最常见的眼睑血管瘤
-
下列哪种睑外翻是由于眼睑外伤或手术之后引起的
-
眼睑闭合不全的最常见原因是
-
下列黄色瘤的特点中错误的是
-
上睑下垂是指向正前方注视时,上睑缘遮盖角膜上部超过角膜的
-
先天性上睑下垂的病因是
-
外睑腺炎早期治疗不正确的是
-
睑腺炎的最常见病因
-
瘢痕性睑内翻最常见的原因是
-
Horner综合征的主要病因是
-
溃疡性睑缘炎的可能病因是
-
占我国眼睑恶性肿瘤第二位的是
-
眼睑最常见的良性肿瘤病变是
-
眼睑毛细血管瘤的首选治疗方法是
-
先天性睑裂狭小综合征不会出现的表现是
-
有关鳞屑性睑缘炎,错误的是
-
有关溃疡性睑缘炎,正确的是
-
不符合睑外翻临床表现的是
-
后天性上睑下垂的病因不包括
-
带状疱疹性睑皮炎最常累及的神经是
-
患者,男性,17岁,发现右上睑包块1周。查体:右眼睑皮肤色泽正常,上睑中外1/3处可扪及一皮下圆形包块,如黄豆大小,边界清,与皮肤无粘连,活动度可,无压痛,相应的睑结膜面呈暗紫色,角膜透明。可能的诊断是
-
患者,男性,24岁,诉双眼痒、异物感。检查:双眼外眦部睑缘和皮肤充血、肿胀,并有浸渍糜烂。外眦部结膜充血肥厚。可能诊断是
-
患者,女性,31岁,诉左眼痒、不适1个月。检查:睑缘充血、潮红,睫毛和睑缘表面覆着鳞屑,数根睫毛脱落,未见睫毛乱生及倒睫。可能诊断是
-
患者,女性,39岁,诉左眼明显痒、刺痛感1个月。检查:左眼睫毛根部散布小脓疱,有大量痂皮覆盖。睫毛粘连成束。数十根睫毛脱落,部分睫毛乱生。角膜上皮点状脱落。可能诊断是
-
患者,男,58岁,发现左下睑肿物6年,渐增大,无痛,体检见左下睑内侧不规则形隆起肿物,约11mm×8mm,边界不清,表面有溃疡,镜下见瘤细胞呈巢状排列,细胞卵圆形或短梭形,细胞质少,癌巢周边癌细胞呈栅栏状排列。正确的诊断是
-
患者,女,59岁,发现左眼上睑肿物5个月,渐增大。体检:左眼上睑外侧睑板见黄白色结节状肿物,实性,质地较硬韧,表面溃烂。显微镜下见:瘤细胞呈巢状排列,细胞多边形、不规则形,细胞质泡沫状,胞核较大,圆形、不规则形,异型明显,核分裂较常见。部分瘤细胞核呈空泡状。正确的诊断是
-
玻璃体切除术治疗外伤性玻璃体出血的最佳时间是
-
视网膜血管炎主要病变发生在
-
Coat's病好发于
-
特发性黄斑裂孔大于400um,玻璃体后皮质仍与黄斑粘连,按Gass分期属于
-
视网膜脱离一般不出现下列哪种症状或体征
-
视网膜分支静脉阻塞患者的黄斑水肿持续多长时间可考虑行光凝治疗
-
对缺血型视网膜静脉阻塞而言,除了治疗原发病外,最重要的治疗措施是
-
玻璃体的基本病理改变是
-
视网膜中央静脉阻塞最严重的并发症是
-
关于视网膜中央动脉阻塞的叙述,正确的是
-
通常中等量的玻璃体积血可在多长时间自行吸收
-
构成玻璃体胶质的有
-
玻璃体细胞位于
-
玻璃体基底部解剖位置是指
-
星状玻璃体变性与下列哪项有关
- 炎症反应强烈、滤过通道瘢痕化多少为统计指标?( )
-
对增生性玻璃体视网膜病变正确的是
-
与视网膜脉络膜新生血管形成相关的细胞因子不包括
-
以下疾病主要病变部位不在黄斑区的是
-
下列哪种情况最容易诱发视网膜脱离
-
以下说法正确的是
-
某青年女性,因轻度视物模糊而来眼科就诊。检查发现双眼角膜后有羊脂样沉着物,扩瞳后检查发现下方玻璃体基底部有典型的雪球状混浊。追问病史,患者近来常有胸痛、干咳,X线检查发现双侧肺门淋巴结肿大。此患者最可能的诊断是
-
血-视网膜内屏障界面是指
-
视网膜中央静脉阻塞较常发生的并发症不包括
-
下列关于中心性浆液性视网膜脉络膜病变的治疗方法,禁忌采用的是
-
易于导致视网膜脱离的周边部视网膜变性是
-
中心性浆液性视网膜脉络膜病变常见部位在何处
-
慢性进行性视野缩小常见于
-
视力急剧下降多见于
-
视乳头水肿最常见于下列哪种疾病
-
视野中心出现哑铃暗点首先应考虑
-
白内障超声乳化摘除术中晶体后囊破裂,较大的晶体碎核掉进玻璃体腔,最好的处理方法是
-
飞蚊症(Myodesopsia)的直接原因是
-
玻璃体积血时,最常见的并发症为
-
以下为视网膜静脉阻塞的并发症,除外
-
关于视网膜中央静脉阻塞,以下说法错误的是
-
视网膜脱离的部位是在
-
视网膜中央动脉阻塞的病因包括以下几项,除了
-
急性视网膜中央动脉阻塞时,在受累眼底发现明显的栓子的比率是
-
“牛眼”黄斑病变最常见于以下哪种遗传性黄斑营养障碍
-
以下视网膜变性易造成视网膜脱离的有
-
一例患单眼散发性视网膜母细胞瘤儿童的健康父母,想知道他们第二个孩子患同样疾病的可能性,你应该告诉他们可能性大约是
-
下列哪一项关于永存增生原始玻璃体(PHPV)的描述是正确的
-
有关视网膜母细胞瘤第二原发肿瘤,正确的是
-
50岁男子,右眼视力下降(0.1)2周,下方视物遮挡感,逐渐扩大,不伴眼痛,血压正常。可能的疾病是
-
患者,男,主诉右眼急性视力下降3天,眼底检查见视网膜广泛出血,视网膜静脉扩张迂曲,最先考虑的是
-
婴儿,10个月,有内斜视,玻璃体内有极多白色细胞,晶体透明,视网膜平伏。最可能的诊断是
-
64岁男性,昨晚突然左眼漆黑,约5分钟变得什么也看不见了。数年前曾有心肌梗死的发作。血压为100/90mmHg。眼部检查:双眼视力为1.0,眼底发现动脉纤细和Salus交叉,视野无异常。眼压19mmHg(OU),考虑为
-
患者男,70岁,双眼视力下降4年,右眼加重15天。右眼视力指数/30cm,左眼视力0.5,右眼玻璃体少量积血,黄斑部视网膜下大片出血和脂质渗出,可见黄白色膜状病变。左眼浆液性色素上皮脱离伴中心凹旁的软性玻璃膜疣。该患者最可能的诊断是
-
发达地区50岁以上常见的致盲眼病是
-
禁用皮质类固醇激素治疗的疾病是
-
由玻璃体后脱离引起的视网膜裂孔好发于视网膜的
-
玻璃体后脱离的主要临床症状是
-
玻璃体混浊的症状为
-
中心性浆液性脉络膜视网膜病变发病部位在
-
临床上如不散瞳最容易将有黄斑水肿的视网膜脱离误诊为
-
视网膜中央动脉阻塞时瞳孔表现为
-
关于玻璃体积血错误的是
- 玻璃体积血的病因不包括下列哪项
-
视网膜色素变性最早出现的症状是
-
关于视网膜血管炎的叙述,错误的是
-
下列哪项不是视网膜中央动脉阻塞的典型表现
-
关于玻璃体后脱离错误的是
-
关于“棉絮斑”的叙述,正确的是
-
黄斑视网膜前膜患者一般视力低于多少可采用玻璃体手术剥除
-
视网膜脱离是指下列哪两层之间的分离
- 黄斑视网膜前膜发生在( )。
- 视网膜巨大裂孔是指裂孔大于
- 诊断缺血型视网膜中央静脉阻塞的依据为:眼底荧光血管造影中,毛细血管无灌注区大于
-
关于玻璃体后脱离,不正确的是
-
椐实验研究,视网膜完全缺血多长时间后出现不可逆损害
-
健康父母产下一个视网膜母细胞瘤的孩子,则其余子女患此病的风险大约是
-
突然无痛性视力丧失,眼底检查后极部视网膜弥漫性水肿、黄斑部樱桃红,首先考虑
-
视网膜血管炎最常见的致病因素是
-
正常视网膜的动、静脉管径的比例是
-
中心性渗出性视网膜脉络膜病变多见于
- 儿童最常见的原发性眼内恶性肿瘤是
-
导致玻璃体混浊的疾病是
-
中心性浆液性脉络膜视网膜病变多见于
- 永存原始玻璃体增生症常需与下哪种疾病鉴别
-
关于中心性浆液性脉络膜视网膜病变的治疗正确的是
-
与外伤有关的视网膜裂孔是
-
孔源性视网膜脱离的裂孔最多发生在
-
下面有关玻璃体混浊的叙述正确的是
-
诊断中心性渗出性视网膜脉络膜病变最有价值的是
-
在治疗视网膜中央动脉阻塞时,吸入氧气的浓度为
-
患者男,右眼反复红痛3年,加重1周。角膜中央基质盘状水肿,不伴炎性细胞浸润和新生血管;后弹力层有皱褶。此时最可能的诊断是
-
患者女,43岁,因右侧颅内神经胶质瘤接受放疗后出现右眼红,角膜旁中央下方见片状角膜上皮缺损,荧光素染色阳性,诊断为神经麻痹性角膜溃疡,正确的处理措施是
-
患者男,54岁,左眼疼痛、畏光、流泪及视力下降30余天。角膜周边部见环形溃疡,病灶区与角膜缘之间无正常角膜组织分隔。溃疡沿角膜缘环形发展,浸润缘呈潜掘状,首先要考虑的诊断是
-
患者男,36岁,右眼疼痛、畏光、流泪及视力下降1个月,诊断为“蚕食性角膜溃疡”。颞下方角膜缘区溃疡形成,范围从角膜时钟位6点至10点,溃疡最宽处为3mm,病变区角膜变薄,约为正常角膜厚度1/4,有穿孔危险。目前最适合的治疗方案是
-
患者左眼“单纯疱疹病毒性角膜炎”多次发作后视力下降至0.08,1周前感冒后再次出现眼红痛,左眼睫状充血(++),角膜中央有5mm×4mm灰白全层混浊区,荧光素染色(+),2点及9点时钟位有基质深层新生血管形成。目前治疗措施是
-
患者男,68岁,双眼角膜周边部见环形灰白混浊,与角膜缘之间有透明角膜相隔,应诊断为
-
患儿4岁,夜间视力差。有长期腹泻史,呈营养不良外观。双眼结膜无光泽,色调污暗,睑裂区内外侧结膜上见到基底朝向角膜缘的三角形泡沫状上皮角化斑,角膜上皮干燥、无光泽。可能的初步诊断是
-
患者男,67岁,右眼鼻侧角结膜交接处见胶冻状新生物,微隆起呈粉红色,表面布满“松针”样新生血管,界限清晰,病理活检证实上皮重度分化不良,可见多核细胞,病变未局限于角膜上皮层,此时首先需考虑的疾病是
-
患儿男,1岁,自出生后发现左眼眼球变白,并较右眼小。检查左结膜无充血,角膜成巩膜色样混浊,其表层有分枝血管网从巩膜扩展至全角膜,属非进行性,亦无明显炎症表现。做眼B超未见异常。此时首先需考虑的疾病是
-
白内障超声乳化吸出术的禁忌证是
-
可以增加房水排出量的青光眼手术方式为
-
孔源性视网膜脱离手术成功的关键是
-
不是巩膜扣带术的适应证的视网膜脱离是
-
下列不是外伤性前房积血的手术适应证的是
-
可考虑择期取出的眼球内异物是
-
患者男,32岁,右眼碱烧伤后3个月,睑球角膜粘连,应选用的角膜移植方法为
-
患者女,75岁,左眼视力光感,定位准,晶状体混浊,核呈褐色,应选用的术式为
-
患者女,20岁,右眼突发无痛性视力下降2周,检查:Vod:0.4,眼压7mmHg,眼前节检查无异常,下方3~10点视网膜脱离,4点及6点马蹄形裂孔2个,约1/2-1PD大小,玻璃体轻度混浊,液化,颞下方局部视网膜皱褶,黄斑区轻度受累。最适合的手术方式是
-
患者男,13岁,家长发现其眼位不正2年。查体:Vou:1.0,双眼检查诊断为共同性外斜视20°,双眼眼内检查正常。给予双眼外直肌徙后斜视矫正术。术后第1天检查双眼眼位内斜视4°,第2天检查右眼明显内转,外转无力。此时可能的情况是
-
患者男,25岁,1天前被他人拳头击伤右眼,伤后右眼视力下降明显。既往全身健康。全身检查未见异常。眼科专科检查:左眼检查未见明显异常;右眼眼睑中度肿胀,结膜混合性充血,角膜上皮水肿,前房cell(+),Tyn(+),可见少许玻璃体,晶状体半脱位嵌顿于瞳孔区,眼底模糊可见视网膜平伏。眼压检查右眼T+2。可能采取的手术方式是
-
具有黄斑“樱桃红”典型体征的疾病是
-
原发性视网膜色素变性的诊断依据包括
-
裂孔性视网膜脱离指的是
-
中心性浆液性视网膜脉络膜病变常见部位在何处
-
最常出现视乳头水肿的疾病是
-
引起后天性夜盲的原因多见于
-
视觉神经冲动经三级神经元传递的顺序是
-
眼底出现微血管瘤,主要见于
-
裂孔性视网膜脱离的患者临床表现有
-
视网膜上视觉最敏锐的部位是
-
糖尿病引起的最为严重的眼病是
-
马蹄形视网膜裂孔最多见于
-
玻璃体后脱离的确切体征是
-
视网膜中央静脉阻塞的典型出血方式是
-
玻璃体手术的适应证包括
-
患者男,右眼反复红痛3年,加重1周。角膜中央基质盘状水肿,不伴炎性细胞浸润和新生血管;后弹力层有皱褶。此时最可能的诊断是
-
患者女,43岁,因右侧颅内神经胶质瘤接受放疗后出现右眼红,角膜旁中央下方见片状角膜上皮缺损,荧光素染色阳性,诊断为神经麻痹性角膜溃疡,正确的处理措施是
-
患者男,54岁,左眼疼痛、畏光、流泪及视力下降30余天。角膜周边部见环形溃疡,病灶区与角膜缘之间无正常角膜组织分隔。溃疡沿角膜缘环形发展,浸润缘呈潜掘状,首先要考虑的诊断是
-
患者男,36岁,右眼疼痛、畏光、流泪及视力下降1个月,诊断为“蚕食性角膜溃疡”。颞下方角膜缘区溃疡形成,范围从角膜时钟位6点至10点,溃疡最宽处为3mm,病变区角膜变薄,约为正常角膜厚度1/4,有穿孔危险。目前最适合的治疗方案是
-
患者左眼“单纯疱疹病毒性角膜炎”多次发作后视力下降至0.08,1周前感冒后再次出现眼红痛,左眼睫状充血(++),角膜中央有5mm×4mm灰白全层混浊区,荧光素染色(+),2点及9点时钟位有基质深层新生血管形成。目前治疗措施是
-
患者男,68岁,双眼角膜周边部见环形灰白混浊,与角膜缘之间有透明角膜相隔,应诊断为
-
患儿4岁,夜间视力差。有长期腹泻史,呈营养不良外观。双眼结膜无光泽,色调污暗,睑裂区内外侧结膜上见到基底朝向角膜缘的三角形泡沫状上皮角化斑,角膜上皮干燥、无光泽。可能的初步诊断是
-
患者男,67岁,右眼鼻侧角结膜交接处见胶冻状新生物,微隆起呈粉红色,表面布满“松针”样新生血管,界限清晰,病理活检证实上皮重度分化不良,可见多核细胞,病变未局限于角膜上皮层,此时首先需考虑的疾病是
-
患儿男,1岁,自出生后发现左眼眼球变白,并较右眼小。检查左结膜无充血,角膜成巩膜色样混浊,其表层有分枝血管网从巩膜扩展至全角膜,属非进行性,亦无明显炎症表现。做眼B超未见异常。此时首先需考虑的疾病是
-
白内障超声乳化吸出术的禁忌证是
-
可以增加房水排出量的青光眼手术方式为
-
孔源性视网膜脱离手术成功的关键是
-
不是巩膜扣带术的适应证的视网膜脱离是
-
下列不是外伤性前房积血的手术适应证的是
-
可考虑择期取出的眼球内异物是
-
患者男,32岁,右眼碱烧伤后3个月,睑球角膜粘连,应选用的角膜移植方法为
-
患者女,75岁,左眼视力光感,定位准,晶状体混浊,核呈褐色,应选用的术式为
-
患者女,20岁,右眼突发无痛性视力下降2周,检查:Vod:0.4,眼压7mmHg,眼前节检查无异常,下方3~10点视网膜脱离,4点及6点马蹄形裂孔2个,约1/2-1PD大小,玻璃体轻度混浊,液化,颞下方局部视网膜皱褶,黄斑区轻度受累。最适合的手术方式是
-
患者男,13岁,家长发现其眼位不正2年。查体:Vou:1.0,双眼检查诊断为共同性外斜视20°,双眼眼内检查正常。给予双眼外直肌徙后斜视矫正术。术后第1天检查双眼眼位内斜视4°,第2天检查右眼明显内转,外转无力。此时可能的情况是
-
患者男,25岁,1天前被他人拳头击伤右眼,伤后右眼视力下降明显。既往全身健康。全身检查未见异常。眼科专科检查:左眼检查未见明显异常;右眼眼睑中度肿胀,结膜混合性充血,角膜上皮水肿,前房cell(+),Tyn(+),可见少许玻璃体,晶状体半脱位嵌顿于瞳孔区,眼底模糊可见视网膜平伏。眼压检查右眼T+2。可能采取的手术方式是
-
具有黄斑“樱桃红”典型体征的疾病是
-
原发性视网膜色素变性的诊断依据包括
-
裂孔性视网膜脱离指的是
-
中心性浆液性视网膜脉络膜病变常见部位在何处
-
最常出现视乳头水肿的疾病是
-
引起后天性夜盲的原因多见于
-
视觉神经冲动经三级神经元传递的顺序是
-
眼底出现微血管瘤,主要见于
-
裂孔性视网膜脱离的患者临床表现有
-
视网膜上视觉最敏锐的部位是
-
糖尿病引起的最为严重的眼病是
-
马蹄形视网膜裂孔最多见于
-
玻璃体后脱离的确切体征是
-
视网膜中央静脉阻塞的典型出血方式是
-
玻璃体手术的适应证包括
-
各象限视网膜静脉扩张纡曲,视网膜内出血、水肿,视盘水肿是下列哪种疾病的特征
-
视网膜血管炎多见于下列哪个年龄
- 玻璃体动脉残留最需与下列哪种情况鉴别
- 玻璃体视网膜病治疗的新时代从哪个年代开始?( )
- 下面飞蚊症患者玻璃体表述正确的有
- 关于正常玻璃体表述正确的是( )。
-
下面对于正常玻璃体功能表述不正确的是
-
玻璃体液化通常是发生在哪一年龄段
-
正常玻璃体液化与下列哪个因素无关
-
约()%的颅内疾病有眼征
-
Coats病描述正确的是
-
下列会出现视物变形的疾病是
-
按照国际临床分类法,糖尿病性视网膜病变在第几期应及时进行广泛的视网膜光凝术
-
下列哪种疾病可导致视力突然丧失
- 荧光造影检查一般不会出现荧光渗漏的疾病是( )。
- 原发性视网膜脱离的部位是
-
关于视网膜浅层出血描述错误的是
-
12对脑神经中有几对与眼部直接有关
-
视网膜是一层对光敏感的、精细的膜样结构,其包括
-
以下哪项疾病好发于年轻人
- 中心性浆液性脉络膜视网膜病变的治疗描述正确的是( )。
-
关于系统性红斑狼疮说法不正确的是
- 增殖性糖尿病视网膜病变的主要标志为( )。
-
以下恶性高血压的描述不正确的为
-
Marfan综合征的临床表现符合下列哪项
-
属良性高血压病一期表现的有
- 以下关于单纯疱疹病毒(HSV)不正确的说法有( )。
-
以下不属降眼压药物的有
-
队列研究的特点为
- 磺胺类滴眼液治疗眼部炎症以下说法不正确的是( )。
-
眼部麻风病不正确的有
- 衣原体对下列何药不敏感?( )
-
滴眼剂治疗眼病时,不正确的使用方法为
- 以下对病毒的描述不正确的是( )。
-
单纯性糖尿病性视网膜病变的表现不包括
-
棘阿米巴病的特点不正确的是
- 以下因素对病毒影响不正确的有( )。
-
风湿热的眼部损害不包括
-
致眼部感染最严重的一种常见菌为
-
某医院眼科门诊于2003年10月共诊治3000例患者,老年性白内障90例,占其中的3.00%,以下说法正确的是
-
白塞综合征(Behcet′ssyndrome)的临床指征不包括
-
以下不属于睫状肌麻痹剂的有
-
关于青光眼用药不正确的说法有
-
Marfan综合征与Marchesani综合征均可有
-
引起沙眼的微生物为
-
多种药物滴眼时,相邻两种药物至少应间隔
- 眼局部给药不包括( )。
- 滴眼剂有何种特点时,才能通透完整角膜?( )
-
多发性大动脉炎的表现不包括
-
单纯疱疹病毒Ⅰ型(HSV-Ⅰ)感染的部位不包括
-
以下关于重症肌无力错误的是
- 棘阿米巴感染角膜多见于何种情况?( )
- 动脉硬化不包括
- 以下对细菌的描述不正确的有( )。
- 表面麻醉剂一般不用于( )。
-
关于糖尿病性视网膜病变的微血管瘤正确的是
-
流行病学研究中病例报告属于
- 下列有关人类免疫缺陷病毒(HIV)错误的描述有( )。
-
使用标准差和均数可全面描述以下何种资料的分布特征
-
关于病例对照研究不正确的是
-
视网膜动脉对高血压的反应不正确的为
- 以下关于色苷酸钠滴眼液不正确的说法为( )。
-
下述关于白化病的特点不正确的为
-
重症肌无力累及眼外肌的比例为
-
患者女,65岁,诉双眼干涩不适2年来诊。眼部检查:Vod0.9,Vos1.0,双眼结膜充血(+),BUT、右眼3秒,左眼2秒。Schirmer试验双眼2mm。角膜上皮弥漫性荧光素染色,眼内未见其他异常。追问病史,患者有反复鼻出血、口唇皲裂、皮肤干燥、关节疼痛症状。该患者可初步诊断为
- 角膜结核的临床表现中最常见的是( )。
-
贫血所引起的最常见的眼底表现是
-
肝豆状核变性出现的1-F环位于角膜的
- Ⅲ期糖尿病视网膜病变的主要临床表现是
-
Salus征和Gunn征多出现在高血压视网膜病变的哪一级
-
关于老年性动脉硬化下列说法不正确的是
-
引起交叉综合征的疾病是
-
引起象限性视野缺损的疾病
-
下面哪项不会引起瞳孔缩小反射
-
引起双眼视乳头水肿的主要原因
-
引起前段缺血性视神经病变常见的原因
-
对视神经炎叙述不正确的是
-
Leber视神经病变的遗传方式为
-
急性泪囊炎的临床表现
-
引起婴儿急性泪囊炎的细菌是
-
下列哪项不是判断泪囊阻塞的常用方法
- 下列哪项不是泪囊摘除术的适应症
-
对于功能性泪点狭窄,如何治疗最佳
-
泪小管炎好发于
-
下列哪项不是慢性泪腺炎的表现
-
以下哪种成分不分泌泪液
-
婴幼儿泪溢主要的原因是
-
判断泪道阻塞最常用的诊断方法是
-
关于先天性泪道阻塞描述错误的是
-
关于泪小管炎叙述错误的是
-
关于慢性泪囊炎表述错误的是
-
关于急性泪腺炎的临床特点描述不正确的是
-
下列哪项不是慢性泪腺炎的临床表现
-
关于急性泪腺炎的治疗表述不当的是
-
关于泪腺多形性腺瘤的影像学表现不正确的是
-
恶性泪腺肿瘤的治疗原则是
-
Mikulicz综合征除了泪腺肿大外,最常出现哪个腺体肿大
- 关于泪道功能不全的叙述不正确的是
-
功能性泪溢的主要原因是
-
关于先天性泪器异常的描述不正确的是
-
关于泪囊肿瘤的叙述错误的是
-
最常见的泪小管良性肿瘤是
-
关于泪腺多形性腺癌的叙述错误的是
-
关于泪腺囊样腺癌叙述不正确的是
- 关于慢性泪囊炎
-
对于获得性泪溢,询问病史应注意
-
急性泪腺炎临床特点是
-
对于泪腺肿瘤,下列哪项不是B超检查的表现
- 恶性泪腺混合瘤的特点
-
泪道系统的先天性阻塞,通常是由于下列哪种结构阻塞所致
-
泪囊炎的首要症状是
-
恶性泪腺肿瘤的治疗原则
-
鼻泪管阻塞合并慢性泪囊炎时,泪道冲洗可有
-
关于泪小管炎的临床表现,下列哪项不正确
- 不参与基础泪液分泌的是
-
泪腺炎治疗原则为
-
关于泪道返流的先天性阻塞下列哪种说法不正确
-
下列哪项不是急性泪腺炎的病因
-
先天性Hasher瓣阻塞,治疗措施不恰当的是
-
泪小管阻塞冲洗泪道时
-
急性泪囊炎治疗原则
-
慢性泪囊炎对眼球构成潜在威胁是由于
-
下列哪项不是Mikulicz综合征表现
- 泪溢主要的原因为
-
新生儿泪囊炎最常见的致病菌是
-
新生儿泪囊炎的主要原因是
-
功能性泪溢的主要原因是
-
功能性泪溢患者泪道冲洗时
-
慢性泪囊炎常见于中老年女性是因为
-
泪道冲洗时清水完全沿原路返回,则说明
-
泪腺囊样腺癌好发于
-
泪腺多形腺瘤好发于
-
在泪腺肿瘤中,最常见的恶性肿瘤是
-
在泪腺肿瘤中,最常见的是
-
婴儿泪道阻塞的治疗方法中错误的是
-
泪液分泌部中主要的反射性分泌腺为
-
关于急性泪囊炎治疗方法叙述错误的是
-
以下说法正确的是
-
上眼睑典型的“S”形弯曲见于
-
急性泪囊炎不会形成
-
先天性泪溢最常见的原因是
-
冲洗泪道时,冲洗液从下泪点进入后从上泪点返流,其阻塞部位可能是
-
容易受鼻腔疾病的影响而导致阻塞的是鼻泪管的
-
慢性泪囊炎的主要症状是
-
鳄鱼泪多见于
-
鼻腔泪囊吻合术适用于
-
不会出现眼球向前下突出,外上转受限的疾病有
-
引起沙眼的病原体为
-
病毒性结膜炎病灶内的主要炎性细胞是
-
春季角结膜炎病灶的特征性炎性细胞是
-
化脓性角膜溃疡病灶内的主要炎性细胞是
-
睑腺炎是指下列何种腺体的急性化脓菌感染
-
诊断恶性肿瘤最重要的依据是
-
眼眶转移性肿瘤指的是
-
下列关于睑板腺癌的描述,错误的是
-
儿童原发眼眶恶性肿瘤首位是
-
常有骨质破坏的眼眶肿瘤有
- 睑板腺囊肿好发于( )。
-
老年的睑板腺囊肿患者多次复发,要考虑
- 睑板腺囊肿属于
-
睑腺炎属于
-
单纯疱疹病毒性角膜炎属于
-
关于葡萄膜恶性黑色素瘤的描述,下列错误的是
-
关于视网膜母细胞瘤的描述,下列错误的是
-
关于睑板腺癌的描述,下列错误的是
-
关于角膜原位癌的描述,下列是错误的
-
关于眼眶海绵状血管瘤的描述,错误的是
-
关于泪腺腺样囊性癌的描述,错误的是
-
下列葡萄膜恶性黑色素瘤预后最好的类型是
-
葡萄膜恶性黑色素瘤最常见的转移部位是
-
眼部转移性肿瘤最常见的转移部位是
-
视网膜母细胞瘤最常见的生长方式是
-
关于视网膜脱离的描述,正确的是
- 视网膜母细胞瘤的遗传方式是
-
受光刺激后,视杆细胞发生的变化是
-
晶状体的主要能量产生方式是
-
从前往后,泪膜的结构为
-
生理情况下,泪膜水样层主要由下列哪种结构分泌
-
关于房水的描述,不正确的是
-
房水生成的主要方式是
-
前列腺素E在眼局部高浓度使用时,会产生的影响是
-
受光刺激时,控制感光细胞上离子的进出的主要物质是
-
玻璃体不含有的胶原成分是
-
视网膜捕获光线并将微量的光能转化为神经反应的部位是
-
生理条件下保持角膜相对脱水状态的主要结构是
-
关于视网膜色素上皮,以下说法不正确的是
-
关于获得性免疫缺陷综合征患者眼部表现,下列说法不正确的是
-
麻风患者发生神经麻痹性角膜炎或角膜溃疡是由哪根神经损害引起的
-
结核病不会累及
- 角膜结核的临床表现中最常见的是( )。
-
视网膜结核主要的临床表现不包括
-
白化病最突出的眼部症状是
-
肝豆状核变性是因为下列哪种物质代谢障碍所引起的
-
关于成人重症肌无力,下列说法错误的是
-
10%糖尿病患者可发生眼底改变,出现的时间大约在病后
-
糖尿病视网膜病变临床上最早出现比较确切的眼底体征是
-
增殖性糖尿病视网膜病变最主要的标志是
-
Ⅲ期糖尿病视网膜病变的主要临床表现是
-
动脉粥样硬化很少累及
-
甲状腺相关眼病早期最常见的眼征是
-
属于免疫赦免部位的组织是
-
下列不属于与免疫有关的结膜疾病是
-
下列属于Ⅰ型超敏反应的是
-
下列选项不是迟发性超敏反应引起的是
-
下列不属于免疫缺陷性眼病的是
-
下列说法错误的是
-
关于大剂量使用氯喹引起的眼部损害,下列说法不正确的是
-
糖尿病引起的眼部并发症有
-
下列不属于高血压视神经视网膜病变的有
-
请选择关于散点图的最佳描述
-
为了直观反映两种眼部疾病的患病率随时间推移的变化速度,应选择
-
横断面研究中,因为危险因素和疾病同时存在,而很难确定危险因素与疾病之间是否存在因果关系,这时容易产生的偏倚是
-
关于激光的英文“laser”,正确的是
-
关于激光的特点描述有误的是
-
用于临床治疗的激光生物作用机制,不正确的是
-
目前激光透切一般不用
-
关于激光的波长或颜色的描述,不正确的是
-
关于Snellen视力表,以下说法错误的是
-
以下不是对数视力表特点的是
-
对Bailey-Lovie视力表设计原则,描述错误的是
-
下列关于“干涉条纹视力”的叙述不正确的是
-
下列检测不适用于屈光间质混浊患者的是
-
关于视网膜检影的描述,正确的是
-
对自动验光仪叙述错误的是
-
关于裂隙灯显微镜的描述,正确的是
-
房角镜能够用于检查房角的光学原理为
-
下列关于房角镜的叙述,不正确的是
-
关于前置镜的叙述,错误的是
-
关于角膜厚度测量仪的叙述,有误的是
-
关于检眼镜说法有误的是
-
关于眼底照相机,下列正确的是
-
下面关于角膜曲率计,错误的叙述是
-
Placido盘可用于诊断
-
关于Orbscan角膜地形图系统,正确的是
-
关于Goldmann眼压计,正确的是
-
有关Goldmann眼压计叙述错误的是
- 视野检查方法包括( )。
-
在视屏的各个选点上,由弱至强增加视标亮度的测量视野的方法属于
-
自动视野计检查分类的叙述不正确的是
- 镜片测度仪不能用于测量
- 使用手动镜片测度仪测量镜片时,将镜片靠着测帽逐渐移动,发现始终无法将十字线中心位于目镜视场中心,说明被测镜片一定( )。
-
下列关于镜片测度仪说法错误的是
-
影响超声诊断仪分辨力的因素包括
-
眼科超声类型包括
-
下列有关超声检查叙述错误的是
-
手术显微镜的基本结构包括
-
手术显微镜的叙述不正确的是
-
对于手术显微镜的共焦系统叙述有误的是
-
角膜内皮显微镜的基本原理是
-
对非接触式角膜内皮显微镜的特点,描述有误的是
-
以下有关接触式角膜内皮显微镜的特点有误的是
- 角膜内皮显微镜可用于( )。
-
有关视觉电生理检查,正确的是
-
关于眼电图(EOG)叙述有误的是
-
关于视网膜电图(ERG)的描述错误的是
-
关于视觉诱发电位(VEP)的描述错误的是
-
同视机的临床应用包括
-
同视机的结构和原理描述正确的是
-
水样液缺乏性干眼症,下列描述错误的是
-
粘弹剂在眼科手术中的作用主要包括
-
眼睑最常见的恶性肿瘤是
-
对放射治疗最敏感的眼睑恶性肿瘤是
-
早期与睑板腺囊肿体征相似的是
-
患儿女,9岁,右眼睑不慎被沸水烫伤,局部立即出现红、肿、痛,随之皮肤上起水泡,其病变属于
-
下面关于角膜炎病因的叙述中,不正确的是
-
下述描述符合细菌性角膜炎特点的是
-
下述不是单纯疱疹病毒性角膜炎(HSK)特点的是
-
关于感染性角膜炎的治疗,正确的是
-
关于蚕食性角膜溃疡的叙述,下列错误的是
-
下述疾病中,最不容易引起角膜带状变性的是
-
边缘性角膜变性(Terrion边缘变性)的临床特点是
-
关于浅层巩膜炎与巩膜(基质)炎,下述叙述错误的是
-
革兰阳性菌引起角膜溃疡最主要的临床体征是
-
下列哪种细菌性角膜溃疡发展最为迅速
-
关于真菌性角膜溃疡的病原学描述,不正确的是
-
不属于真菌性角膜溃疡临床特征的是
-
下列关于单纯疱疹病毒性角膜炎的描述,不正确的是
-
铜绿假单胞菌导致角膜迅速溶解坏死的主要原因是
-
关于棘阿米巴性角膜炎的叙述,不正确的是
-
临床上怀疑棘阿米巴角膜溃疡,进行角膜刮片培养后,应选择的培养基是
-
角膜基质炎与单纯疱疹病毒感染引起的免疫性盘状角膜炎的最主要鉴别点是
-
关于带状角膜变性的叙述,不正确的是
-
不正确佩戴角膜接触镜所引起的并发症中,最严重的是
-
引起角膜基质炎的寄生虫是
-
引起暴露性角膜炎的危险因素不包括
-
对于卷丝状角膜炎描述不正确的是
-
角膜变性和角膜营养不良最主要的鉴别点在于
-
不会引起大泡性角膜病变的是
-
角膜炎的并发症不包括
-
属于角膜恶性肿瘤的是
-
关于前巩膜炎的临床表现,下列描述不正确的是
-
不属于单纯性巩膜外层炎临床表现的是
-
后巩膜炎的临床表现包括下列几项,除了
-
下列对Stevens-Johnson综合征描述不准确的是
-
患者男,45岁,左眼被谷粒射伤后红、痛、视力下降一月余。眼部检查:左眼视力0.04,眼睑轻度红肿,睑痉挛(±),混合充血(+++),角膜中央偏下方见菊花团样灰白色病灶,大小约5mm×6mm,略高于角膜表面,病灶中央部溃疡,前房下方见黄白色积脓,高2mm,瞳孔7mm×7mm(曾用过1%阿托品)。根据上述表现,最可能的诊断是
-
患者女,22岁,右眼连续戴角膜接触镜2周,出现眼红、眼痛、视力下降11天。眼部检查:右眼视力F.C./30mm,眼睑红肿(+++),睑痉挛(+++),混合充血(+++),角膜中央部见7mm×7mm环形浸润,角膜后弹力层皱褶和2mm黄白色前房积脓。为明确诊断,下述检查最有意义的是
-
患者男,36岁,右眼化脓性角膜溃疡,角膜刮片细菌培养证实为耐甲氧西林的金黄色葡萄球菌感染,此时首选的眼用抗菌药是
-
患者男,右眼角膜异物剔除术后1天,角膜形成溃疡,发展迅速,呈液化性坏死,1周内波及全角膜。首先考虑的致病菌是
- 以下属于或可能为多基因遗传的眼病的为()
-
下列有关视网膜中央动脉的陈述正确的是()
-
眼睑肌包括(如图)()

-
(如图)角膜在组织学上分为()

-
眼睑分为哪几层()
-
视神经从视盘起至视交叉前脚共分为()
-
睫状神经节的组成是()
-
前房角镜检查()
-
影响视野检查结果的因素包括()
-
下列关于角膜内皮细胞的说法正确的有()
-
下列属于视功能主观检查的是()
-
(如图)该种疾病的病因可能是由于()

-
(如图)该疾病的说法正确的是()

- 有关泪腺腺样囊性癌说法正确的有()
-
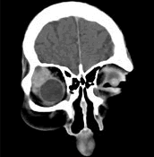
患者,男性,45岁,右眼外眦部有一包块,无疼痛,眼球向内移位,触诊扪及实质性包块,无压痛,眼部表现(如图),关于本病描述为()
-
有关慢性结膜炎描述正确的是()
-
(如图)常见致病菌为()

-
图中所示疾病主要见于()

-
(如图)该种疾病的手术方式可采用()

-
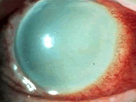
(如图)女性,患者,于15年行右眼囊外人工晶状体摘除术,在前房植入硬性人工晶状体片。现在右眼视力渐进性下降,该图为裂隙灯检查提示右眼角膜水肿及后弹力层炎症。下列说法正确的是()


-
一位患者眼部的表现如图,前弹力层出现细点状灰白色沉着,下列说法错误的是()

-
(如图)一位25岁男性,双眼没有疼痛,角膜边缘变薄,上皮仍完整,变薄区有黄色的脂质沉着物,下列说法正确的是()


-
这是一个病人右眼前段的图片,右眼突发异物感,流泪,裂隙灯左眼检查有相同的症状,反复发作。下列说法正确的是()

-
(如图)一年轻人,高度散光,圆锥角膜,有戴硬性角膜接触镜病史,自述最近眼睛突发性疼痛,烧灼感。下列说法正确的是()

-
治疗(如图)角膜新生血管的药物种类有()

-
引起(如图)大泡性角膜病变的有()

-
(如图)单纯疱疹性角膜炎在眼部的表现有()

-
后巩膜炎的临床表现是()
-
许多先天性白内障患者,(如图),常合并其他眼病或异常,如()

-
男性,79岁,双眼视物模糊4年余,裂隙灯检查如图,双眼还可能出现的症状有哪些()

-
男性,25岁,左眼撞到摩托车扶手,裂隙灯检查如图,该患者的手术指征()

-
诊断晶状体半脱位(如图)的体征有()
-
引起晶状体脱位或半脱位(如图)的病因是()

-
晶状体半脱位(见图)常见于以下何种疾病()

-
患者,女性,58岁,左眼行闭角型青光眼行小梁切除术,术后第3天诉眼胀痛。检查左眼前房消失(如图),眼压40mmHg。治疗需要()

-
患者,女性,56岁,2天前傍晚感左眼胀痛、雾视、虹视,裂隙灯房角检查如图,对其合适的治疗是()


-
虹膜角膜内皮综合征(如图)治疗需要()

-
婴幼儿型青光眼(如图)需与哪些相鉴别()

-
鉴别生理性大杯与青光眼杯(如图)重要的是()

-
婴幼儿型青光眼(如图)三大症状是指()

-
毛果芸香碱的副作用有()
-
下列属于β2受体激动剂的有()
-
婴幼儿型青光眼(如图)首选术式是()

-
急性闭角型青光眼(如图)慢性期特点是()


-
患儿,男,1岁,眼部检查如图,对该病描述正确的是()

-
下列关于脉络膜转移癌(如图)说法正确的是()
-
以下关于脉络膜血管瘤(如图)的说法正确的是()

-
患者,女性,50岁,三年前曾患甲状腺癌,已行根治手术,近日觉双眼疼痛,检查眼底如图,有关该病描述正确的是()

-
Behcet病(如图)的临床表现正确的有()




-
后葡萄膜炎(如图)常见的临床表现()

-
中间葡萄膜炎(如图)在临床上易被忽略,遇到以下哪些情况应做详细的周边眼底检查()

-
中间葡萄膜炎(如图)可累及()

-
脉络膜恶性黑色素瘤(如图),说法正确的是()

-
玻璃体切除术的基本系统有(如图)()

-
可能发生淀粉样变的部位有()
-
荧光造影检查常见缺血无灌注区有以下哪些疾病()
-
病变部位主要在黄斑区的有以下哪些疾病()
-
以下哪些疾病常见黄斑囊样水肿(如图)()


-
视网膜新生血管(如图)多见于()

-
母斑病(如图)包括下列疾病()

-
患者,男性,60岁,高血压病史10年,近1周突感左眼视力下降,视力由原来的0.8降至0.04,裂隙灯检查见眼前段(-),眼底检查如图,符合该病的描述的是()


-
对于视网膜中央动脉阻塞(如图)急诊处理有()

-
以下不能用激光光凝治疗的疾病有()
-
以下常导致牵拉性视网膜脱离(如图)的疾病有()

-
特发性视网膜血管炎(如图)的临床特征有()

-
以下对视网膜棉绒斑(如图)描述正确的是()

-
有关视神经缺损(如图)说法正确的是()

-
视神经萎缩(如图)的治疗包括以下哪些()

-
男性,47岁,诉右眼眼胀痛,查见眼底表现酷似一朵盛开的牵牛花,视盘比正常的扩大3~5倍,视盘周围有色素环及萎缩区,视盘呈漏斗状,眼底检查如图,对该病描述正确的是()

-
男性,20岁,双眼视物不清就诊,检查:眼前段(-),眼底检查如图,符合该病的描述是()

-
视路(如图)包括()

-
视神经萎缩(如图)的常见病因有()

-
有关远视眼的叙述以下哪些为正确()
-
光线的屈折力取决于()
-
关于准分子激光角膜切削术治疗近视时,禁忌证有()
- 与LASIK相比,LASEK的优点包括()
- 出现同侧复视提示哪些肌肉麻痹()
-
斜视角检查法包括()

-
眼眶血管瘤(如图)的常见表现()
-
眼眶蜂窝织炎(如图)的严重并发症有()


-
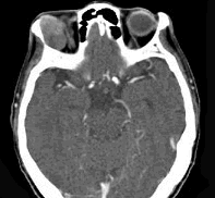
女性,38岁,右侧眼球运动障碍伴眼球突出4个多月,CT扫描如图,请选择正确的描述和答案()




-
挫伤性虹膜与瞳孔异常,常具有()

-
前房积血(如图)的治疗包括()

-
视神经撕脱可见于()
-
Ⅲ期单纯性糖尿病性视网膜病变(如图)的主要临床表现有()
-
Gradenigo综合征的表现为()
- 中耳炎可引起哪些眼部的临床表现()
-
母亲妊娠头3个月内感染麻疹,可引起新生儿的哪些眼部病变()
-
白血病的眼底改变可有()

-
长期大剂量服用氯丙嗪会损害哪些眼部组织()
-
下列属于高血压视网膜病变(如图)的有()

-
钩端螺旋体病(如图)可引起()

-
下列属于高血压性视神经视网膜病变(如图)的有()

-
儿童盲主要是由于()
-
角膜病引起混浊是我国致盲主要原因()
-
“视觉2020"行动,对屈光不正和低视力问题()
-
从下述各项中选出正确答案()
- 通过眶上裂的脑神经有()
-
眼周注射有()
-
眼科流行病学的描述性研究有()
-
视神经穿过巩膜处形成筛板区,包括()
-
视交叉与周围组织的解剖关系为()
-
眼科用药存在的血眼屏障包括()
- 正常角膜的大小为()
-
角巩膜缘的解剖特点()
-
光感受器的组织结构包括()
-
眼眶骨壁的正常结构包括()
- 药物由眼球表面进入眼球内组织的途径有()
-
常用眼药剂型及给药方式有()
- 结膜血管来自()
- 眼外肌的血液供应来自()
-
下列哪些因素影响药物透过角膜()
-
视皮质位于大脑枕叶其特征有()
-
角膜无血管,其营养代谢主要依靠()
-
胚眼的发育来源于()
- 眼球静脉回流主要为()
-
根据遗传方式和遗传物质的关系,眼遗传病分为()
-
下列可检查出有中心暗点的疾病有()
- 视功能检查包括哪些方法()
-
下列可出现生理盲点扩大的疾病包括()
-
瘢痕性睑内翻的可能病因是()
-
眦部睑缘炎的可能病因为()
-
睑板腺囊肿的病因可能是()
-
可能导致眼睑接触性皮炎的是()
-
痉挛性睑内翻的可能病因是()
- 关于色素痣病变正确的有()
- 正常情况下,眼睑闭合时()
-
长期泪溢可引起()
- 正常情况下,睁开眼睑时()
-
关于慢性泪囊炎描述正确的是()
-
泪道阻塞和狭窄的常用检查方法有()
- 鼻泪管阻塞常可引起()
-
婴幼儿泪道阻塞治疗正确的是()
-
结膜炎时结膜囊的分泌物成分是()
- 结膜假膜可见于()
-
睫状充血的特点是()
- 结膜炎常见的眼部症状是()
-
细菌性角膜炎的后遗症是()
-
治疗真菌性角膜炎手术方式包括()
-
后巩膜炎可以合并下面哪些疾病()
-
后巩膜炎可以通过下面哪些检查来诊断()
-
巩膜炎可并发眼部哪些疾病()
-
巩膜炎的患者需做下面哪些检查()
-
巩膜炎的治疗原则是()
-
晶状体悬韧带全部断裂,晶状体可脱位至()
-
白内障囊外摘除术的优点是()
-
哪些类型的先天性白内障对视力影响较大()
-
晶状体先天异常包括()
-
触电引起晶状体哪些部位的混浊()
- 晶状体全脱位的手术指征有哪些()
-
白内障囊内摘除术常见并发症是()
-
先天性甲状旁腺功能不足的典型改变是()
-
下列属于青光眼危险因素的是()
-
急性闭角型青光眼间歇期主要诊断标准是()
- 下列属于急性闭角型青光眼诱因的是()
-
虹膜睫状体炎继发性青光眼早期治疗需要()
-
急性闭角型青光眼发病的主要因素是()
-
可引起虹视的眼病有()
-
正常眼压性青光眼需与哪些病相鉴别()
-
原发性开角型青光眼房角病理改变有()
-
大角膜与先天性青光眼牛眼鉴别要点是后者()
-
下列属于青光眼形态学检查的是()
-
虹膜睫状体炎继发性青光眼()
-
睫状肌麻痹剂的作用是()
-
糖皮质激素治疗葡萄膜炎()
-
中间葡萄膜炎并发黄斑病变()
- 葡萄膜先天异常包括有()
-
关于Fuchs虹膜异色性葡萄膜炎说法正确的是()
-
急性视网膜坏死综合征()
-
玻璃体的功能为()
-
下面有关玻璃体液化的有()
-
以下哪些和玻璃体液化有关()
-
玻璃体动脉若不消退,可引起多种发育异常,包括()
-
以下哪些为玻璃体积血可引起的并发症()
-
关于“飞蚊症”正确的是()
-
关于星状玻璃体变性描述正确的是()
-
玻璃体积血可引起()
-
可引起玻璃体出血的有下面哪些疾病()
-
玻璃体积血排除视网膜脱离时主要用()
-
下列哪项属于PRK的并发症
-
成人发生中间葡萄膜炎(如图)可出现()

-
以下哪项疾病不治疗可自行恢复()
-
可导致视神经炎有以下哪些疾病()
-
关于硬性角膜接触镜,以下说法哪些是正确的()
- 1m检影时影光为顺动,表示()
-
眼睑结核可由哪些途径引起()
-
视神经疾病的常见病因有()
-
视神经炎可有以下哪些表现()
-
视盘炎与假性视盘炎的主要依据是()
-
可能引起视网膜中央动脉阻塞的病因有()
-
眼的三联动现象是指()
-
为了看清近距离目标,需()
-
患儿,男,2个月,母亲孕34周产下,出生时有长时间吸氧史,眼底如图,以下对该病说法正确的是()

- 以下说法正确的是()
- 糖尿病引起的眼部并发症有()
-
现代屈光手术包括()
- 典型的视神经炎患者一般不需做系统检查,但除以下哪些情况外()
-
哪些疾病可出现眼球震颤()
-
视野同向偏盲的病变部位()
-
患者,男,30岁,左眼视物不清2天,检查左眼视力0.9,眼前段(-),眼底检查如图,符合该病的临床表现为()

-
病理性近视眼底可出现()
-
属于视盘发育异常有以下哪些()
-
高度近视眼的并发症有以下哪些()
-
以下哪项是“视觉2020,享有看见的权利”的措施()
-
准分子激光角膜切削术的缺点是()
-
前部缺血性视神经病变的病因以下正确的是()
-
以下哪些为近视的正确临床表现()
-
以下为中心性浆液性脉络膜视网膜病变(如图)的临床特征的有()
-
盲和低视力的康复()
-
以下哪些为视网膜色素变性(如图)的特征()

-
Foster-Kennedy综合征的表现为()
-
需戴凸透镜矫正的情况()
- 以下与老视有关的是()
-
全身长期应用以下药物应注意眼部并发症()
-
下颌瞬目综合征是由下列哪些神经的异常联系所引起的()
-
糖尿病性视网膜毛细血管(如图)的病理改变有()

-
渐变多焦眼镜包括()
-
远视常伴有以下哪些表现()
-
视神经炎的主要临床表现有()
-
关于软性角膜接触镜的叙述,哪项不正确()
-
麻疹的主要后果之一是迟发性亚急性硬化性全脑炎,其中50%可引起眼部损害,表现为()
-
不到2岁的婴幼儿可以通过哪些方法进行弱视初筛()
-
一些防盲先进县的共同特点是()
-
结膜结核主要的临床表现有()
-
关于视网膜色素上皮,正确的说法是()
-
角膜组织学各层中,有再生能力的是()
-
虹膜动脉大环由哪些血管吻合而成的()
-
由神经外胚层发育而来的有()
- 下列哪些叙述是不正确的()
-
有关自动视野检查结果判读的要点,叙述错误的是()
-
不属于结膜分泌腺的是()
-
来自于颈外动脉系统的眼睑浅部动脉包括()
-
以下腺体中,称之为副泪腺的是()
-
眼睑的组织学构成包括()
-
眼外肌中起自总腱环的有()
- 鼻睫状神经在眶内发出的分支有()
-
艾滋病(AIDS)的眼部常见并发症有()
-
胚眼由下列哪些发育而成()
-
下列描述中正确的是()
-
轴旁中胚叶发育而来的眼组织包括()
-
引起视疲劳的眼部因素包括()
-
睑腺炎在哪些情况下有可能形成眼睑蜂窝织炎()
- 根据病因,睑内翻分类中应包括()
-
选出与眼睑闭合不全有关系的疾病()
-
睑板腺囊肿的特征包括()
-
下列疾病哪些可引起睑球粘连()
-
关于先天性上睑下垂的手术,若提上睑肌肌力极差,可以选用以下哪些术式()
-
维持眼表健康的主要因素包括()
-
沙眼的并发症和后遗症有()
-
不形成结膜假膜的是()
-
沙眼引起上睑下垂的主要原因有()
-
大泡性角膜病变的治疗措施中,正确的是()
-
以下哪些疾病禁用糖皮质激素类药物()
-
放射状角膜切开术最主要的并发症有()
-
准分子激光屈光性角膜切削术(PRK)主要并发症有()
-
人工晶状体植入术术后发生的并发症包括()
-
白内障术前的视功能检查包括()
-
下列有关人工晶状体材料的叙述,哪些是正确的()
-
下列关于先天性全白内障的治疗,哪些是错误的()
-
下列哪些疾病可以合并黄斑囊样水肿()
-
玻璃体积血的原因包括()
-
有关视网膜分支静脉阻塞,正确的是()
-
眼外伤应正确处理,是因为()
-
虹膜睫状体挫伤可引起()
-
以下哪些不是眼型Graves病的体征()
-
关于眼眶横纹肌肉瘤,错误的是()
-
眼内或眶内木质异物难处理的原因是()
-
有关眶蜂窝织炎的诊治,以下措施中错误的是()
-
验光时应用交叉柱镜的主要作用为()
-
关于感光细胞说法错误的是()
-
可反映弥漫性视野缺损的指标包括()
-
Descemet膜破裂可见于()
- 房角后退的特征()
-
泪液中含有的下列抗菌成分中,在角结膜受到细菌病毒感染后含量明显增高的物质包括()
-
某人瞳距为60mm,双眼注视1m处物体时用1D调节,则注视33cm处物体时所用集合角为()
- 眼底可出现晚霞样改变的疾病有()
-
荧光素钠在眼科的作用是()
- 下列药物中能引起白内障的药物有()
-
肉芽肿型葡萄膜炎的主要病理特征为()
-
MRI T
加权呈中低信号,T
加权呈高信号的有()
-
继发性视神经萎缩与青光眼性视神经凹陷的鉴别方法主要有()
-
莫-阿双杆菌可引起()
-
无角膜血管翳的疾病是()
-
碳酸酐酶抑制剂的副作用()
-
VKH综合征的荧光造影特点主要为()
-
脉络膜破裂主要累及()
-
引起视疲劳的眼部因素包括()
-
先天性色盲的特点正确的是()
-
溃疡性睑缘炎是()
-
可帮助诊断沙眼的较为特异的特征有()
-
Goldenhar综合征包括()
-
ICE综合征引起高眼压的原因有()
-
色素性青光眼描述正确的()
-
眼底可能出现棉绒斑的疾病有()
-
Devic病的特点是()
-
PRK手术常见的并发症包括()
-
斜视手术的并发症有()
-
炎性假瘤的辅助诊断中,错误的是()
-
典型的Reiter综合征的主要临床表现不包括()
-
黏弹性保护剂在眼科手术中的作用是()
-
单眼复视可见于()
-
中心暗点可见于()
-
可伴有明显疼痛、眼球向前下突出,外上转受限的疾病有()
-
关于水样液缺乏性干眼症的治疗以下说法正确的是()
-
泡性角膜炎的临床特点包括()
-
角膜移植术后何种角膜营养不良易复发()
-
软性人工晶状体的材料常用()
-
低眼压性黄斑病变的易患因素包括()
-
视网膜脱离外垫压术的适应证不包括()
- 可伴有黄斑分裂现象的有()
- 视神经胶质瘤和视神经脑膜瘤的鉴别,正确的是()
-
需急诊行眼内异物取出术的情况包括()
-
关于AIDS患者及其眼部病变,正确的是()
-
有关甲状腺相关性眼病以下哪项正确
-
单疱病毒性睑皮炎可发生于以下情况
- 睑外翻的病因分类包括
-
导致后天性上睑下垂的病因有
-
睑板腺受累的疾病包括
-
睑腺炎的治疗包括
-
手术时切口位于睑结膜面,与睑缘垂直的疾病有
-
睫毛毛囊及其附属腺体受累的疾病有
-
睑腺炎的特征包括
-
以下可引起眼睑闭合不全的疾病有
-
先天性上睑下垂的病因有
- 溃疡性睑缘炎的诱因包括
-
瘢痕性睑外翻的可能病因是
-
接触性睑皮炎的可能病因是
-
与先天性睑内翻有关的是
-
下列关于睑板腺囊肿治疗正确的有
-
干性年龄相关性黄斑变性的异常改变主要有
-
引起视力突然丧失的眼底病变有
-
视网膜血管炎的主要特征有
-
视网膜中央动脉栓塞常有
-
糖尿病性视网膜病变可引起下列哪些眼部病变
-
视网膜色素变性是一组遗传病,其遗传方式为
-
可引起视网膜新生血管的疾病有
-
玻璃体积血常见于
- 糖尿病性视网膜病变早期眼底特征性表现是
-
关于玻璃体积血正确的是
-
以下对玻璃体积血表述正确的是
-
对玻璃体猪囊尾蚴疾病表述正确的是
-
下列哪些疾病在荧光造影检查表现荧光渗漏的有
-
视网膜实际上是大脑的一部分,与白质相应的是
-
以下疾病可用激光光凝治疗的有
-
易患孔源性视网膜脱离的因素有
- 与脉络膜新生血管有关的有以下哪些
-
Coats病应与下列疾病鉴别
-
下列常伴有视网膜血管炎的疾病有
- 常诱发视网膜新生血管有以下哪些疾病
-
引起Coats病最终失明的主要原因是
-
视网膜中央动脉阻塞的病因有以下哪些
-
可引起视网膜毛细血管前小动脉阻塞有
-
以下可发生渗出性RD的疾病有
-
Marchesani综合征的特点有
-
以下疾病可致高血压性视网膜病变
-
急性淋巴细胞白血病的眼部损害有
-
风湿热的临床表现有
-
眼部长期滴用糖皮质激素的副作用包括
-
药物通透血-眼屏障的能力提高可见于以下情况
-
药物的赋形剂会影响药物
-
获得性免疫缺陷综合征(艾滋病)的眼部表现有
-
恶性高血压性视网膜病变
-
肝豆状核变性的特点有
- 恶性高血压眼底特征
-
毒性弥漫性甲状腺肿(Graves病)的眼部表现有
-
系统性红斑狼疮的特点
- Behcet病的临床表现有
- 属于神经乳头炎临床特点的有
- 视乳头水肿应与下列哪些疾病鉴别
- 视神经炎呈现的症状为
- 引起原发性视神经萎缩的原因有
- 以下哪项引起的视神经萎缩属于继发性视神经萎缩
- 视乳头血管炎的特点包括
- 视乳头水肿眼底呈现
- 瞳孔异常包括
- 前部缺血性视神经病变的特点有
- 引起视力急剧减退的视神经病变有
- 泪液排出部是指
- 泪液分泌部包括
-
泪溢可造成
-
急性泪腺炎最常见的病原体为
- 慢性泪囊炎的常见诱因包括
- 泪囊摘除时,应注意
-
慢性泪囊炎患者治疗措施有
-
施行泪囊鼻腔吻合术主要的是
- Mikulicz综合征是指
-
泪囊鼻腔吻合术时注意
-
与慢性泪囊炎发病有关的是
-
左眼视野异常如下图所示,右眼无异常。左眼眼压7.5/4.0(SchiOtz眼压计)。血压130/80mmHg。应考虑的诊断是()

-
眼球的后房指()
-
Graves病(如图)指()

-
海绵窦血栓形成与眶蜂窝织炎的区别,说法错误的是()
-
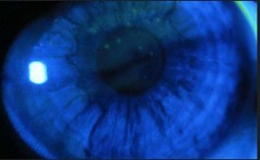
患者,女性,24岁,右眼胀痛2天。检查,右眼视力0.9,角膜透明,前房深,房水闪辉阴性,瞳孔对光反应好,房角见睫状体带较右眼宽(如图),右眼眼压30mmHg。1个月前有右眼钝挫伤史。最可能的诊断是()

- 虹膜炎继发性青光眼是由于( )。
-
护理人员最基本的道德义务是
- 角膜带状变性的常见病因中,错误的是( )。
-
正常人的暗适应时间为
- 巩膜最薄弱处是( )。
- 眼科影像的常规检查不包括()
-
不会出现角膜知觉减退的疾病是()
- 类似于睑板腺囊肿的眼睑肿瘤是
- 虹膜投影阳性是年龄相关性白内障哪一期特征()
-
医务人员根据确定的医学行为目标,拟订多个诊疗方案,然后从中选出达到最佳诊疗效果的方案是()
- 胚裂闭合不全时,可形成( )。
-
顺规散光
-
准分子激光角膜切削术治疗近视时,受术者年龄应大于几岁()
- 以下关于单纯疱疹病毒不正确的描述有( )。
-
患者,男,8岁,双眼反复痒3年,春季多发,眼部有(如图)表现,以下说法正确的是()

-
中心性浆液性脉络膜视网膜病变的视力
-
男性,38岁,右眼视力下降数年,查见该眼视网膜脱离伴视网膜色素上皮改变及慢性黄斑水肿,眼底如图,该患者可能患()

- 女,5岁,两岁发现内斜视。检查:视力为右0.3,左0.1,眼位为左眼+15°,眼球运动为各方向均不受限,眼底像清晰未发现明显异常,同视机检查不合作,睫状肌麻痹下验光结果为中度远视。戴镜一年后的检查结果记录:眼位为左眼+15°,戴镜为内隐斜。确切诊断应为()
- 细菌感染引起的角膜溃疡的特点不正确的有( )。
- 泪膜的主要成分为()
-
一名护士发现自己给患者发错了药,不知如何是好,请帮助她选择最佳行为()
- 滤过手术失败最常见、最主要的原因是( )。
-
90%的视网膜母细胞瘤(如图)发生在()

-
患者,女性,70岁,高血压史5年,3个月前右眼突然视力下降,外院诊断为右眼缺血型视网膜中央静脉阻塞,予药物治疗。2天前,患者出现右眼胀痛。检查右眼视力数指,角膜上皮水肿,前房不浅,虹膜红变,晶状体尚透明,眼压40mmHg。
(如图)最可能的诊断是()

-
患者,女性,70岁,高血压史5年,3个月前右眼突然视力下降,外院诊断为右眼缺血型视网膜中央静脉阻塞,予药物治疗。2天前,患者出现右眼胀痛。检查右眼视力数指,角膜上皮水肿,前房不浅,虹膜红变,晶状体尚透明,眼压40mmHg。
对本患者的治疗,下列哪项是错误的()
-
患者,女性,70岁,高血压史5年,3个月前右眼突然视力下降,外院诊断为右眼缺血型视网膜中央静脉阻塞,予药物治疗。2天前,患者出现右眼胀痛。检查右眼视力数指,角膜上皮水肿,前房不浅,虹膜红变,晶状体尚透明,眼压40mmHg。
下列哪项不是这类疾病的常见原因()
-
患者,女性,70岁,高血压史5年,3个月前右眼突然视力下降,外院诊断为右眼缺血型视网膜中央静脉阻塞,予药物治疗。2天前,患者出现右眼胀痛。检查右眼视力数指,角膜上皮水肿,前房不浅,虹膜红变,晶状体尚透明,眼压40mmHg。
在缺血型视网膜中央静脉阻塞的患者中,下列哪项治疗可能预防本病的发生()
-
患儿,男性,2岁,足月顺产,无吸氧史。家长发现右眼白瞳症,对光线反应不敏感。超声波提示眼内占位性病变,直径约6mm。无全身性疾病,无眼病家族史。
可能是哪一种疾病(如图)()
-
患儿,男性,2岁,足月顺产,无吸氧史。家长发现右眼白瞳症,对光线反应不敏感。超声波提示眼内占位性病变,直径约6mm。无全身性疾病,无眼病家族史。
辅助检查中最有意义的发现是(如图)()
-
患儿,男性,2岁,足月顺产,无吸氧史。家长发现右眼白瞳症,对光线反应不敏感。超声波提示眼内占位性病变,直径约6mm。无全身性疾病,无眼病家族史。
哪一种治疗为最佳选择()
-
患者男性,60岁,左眼经常疲劳后酸胀,伴虹视,休息后好转,右眼无类似症状。检查双眼视力1.0,双眼角膜透明,前房浅,周边前房1/4角膜厚度,瞳孔对光反应好,晶状体透明,视乳头杯盘比左眼0.4,右眼0.3,眼压左眼21mmHg,右眼18mmHg。
如果左眼房角1/3闭合,则左眼最可能的诊断是()
-
患者男性,60岁,左眼经常疲劳后酸胀,伴虹视,休息后好转,右眼无类似症状。检查双眼视力1.0,双眼角膜透明,前房浅,周边前房1/4角膜厚度,瞳孔对光反应好,晶状体透明,视乳头杯盘比左眼0.4,右眼0.3,眼压左眼21mmHg,右眼18mmHg。
出现虹视的原因是()
-
患者男性,60岁,左眼经常疲劳后酸胀,伴虹视,休息后好转,右眼无类似症状。检查双眼视力1.0,双眼角膜透明,前房浅,周边前房1/4角膜厚度,瞳孔对光反应好,晶状体透明,视乳头杯盘比左眼0.4,右眼0.3,眼压左眼21mmHg,右眼18mmHg。
右眼最有可能的诊断是()
-
患者男性,60岁,左眼经常疲劳后酸胀,伴虹视,休息后好转,右眼无类似症状。检查双眼视力1.0,双眼角膜透明,前房浅,周边前房1/4角膜厚度,瞳孔对光反应好,晶状体透明,视乳头杯盘比左眼0.4,右眼0.3,眼压左眼21mmHg,右眼18mmHg。
左眼最合适的治疗方法是()
-
某老年男性患者,双眼视力均良好,某日于咳嗽后突然发现右眼前出现以灰色半透明的不规则环形飘浮物,而视力无减退。
该患者最可能的诊断是()
-
某老年男性患者,双眼视力均良好,某日于咳嗽后突然发现右眼前出现以灰色半透明的不规则环形飘浮物,而视力无减退。
对于该患者最需要进行以下哪一种检查()
-
某老年男性患者,双眼视力均良好,某日于咳嗽后突然发现右眼前出现以灰色半透明的不规则环形飘浮物,而视力无减退。
经过以上检查,可能发现以下各项改变,除了()
-
某青年男性,无任何诱因情况下左眼出现大量红黑影飞舞、遮挡视线1天,视力骤降至指数。
最可能的诊断是()
-
某青年男性,无任何诱因情况下左眼出现大量红黑影飞舞、遮挡视线1天,视力骤降至指数。
如该青年平素无高血压、糖尿病病史,此前数年间曾多次出现患眼前少量红色黑点状漂浮物,视力无明显影响,则最可能的诊断是()
-
某青年男性,无任何诱因情况下左眼出现大量红黑影飞舞、遮挡视线1天,视力骤降至指数。
该患者当前的处理方案是()
-
某青年男性,无任何诱因情况下左眼出现大量红黑影飞舞、遮挡视线1天,视力骤降至指数。
为了明确右眼是否存在相似的血管病变,可采取的最有效的检查措施是()
-
某青年男性,无任何诱因情况下左眼出现大量红黑影飞舞、遮挡视线1天,视力骤降至指数。
如果经检查右眼也存在相同的血管病变,则可采取以下哪种治疗最有效()
-
患者,女性,60岁,高血压病史20年。2小时前突发左眼视力丧失,自诉似“电灯开关关闭”。眼底检查。
(如图)最可能的诊断是()


-
患者,女性,60岁,高血压病史20年。2小时前突发左眼视力丧失,自诉似“电灯开关关闭”。眼底检查。
最有特征的体征是()
-
患者,女性,60岁,高血压病史20年。2小时前突发左眼视力丧失,自诉似“电灯开关关闭”。眼底检查。
该病的急诊处理原则是()
-
患者男性,右眼不慎被拳头击伤,当时感疼痛,视物不清。检查:右眼视力0.1,角膜透明,前房1/4积血,晶状体无混浊,瞳孔直径4,光反射迟钝。
患者前房积血(如图)的程度为()
-
患者男性,右眼不慎被拳头击伤,当时感疼痛,视物不清。检查:右眼视力0.1,角膜透明,前房1/4积血,晶状体无混浊,瞳孔直径4,光反射迟钝。
经治疗,该患者1年后还有可能查到的体征是()
-
患者,女性70岁,因双眼视力骤降半天就诊。检查:右眼视力0.02,左眼0.03,结膜无充血,角膜透明,角膜后沉着物阴性,瞳孔对光反射对称、迟钝,晶状体轻度混浊,玻璃体无混浊;视乳头充血水肿。(如图)请问首选需行哪种检查()
-
患者,女性70岁,因双眼视力骤降半天就诊。检查:右眼视力0.02,左眼0.03,结膜无充血,角膜透明,角膜后沉着物阴性,瞳孔对光反射对称、迟钝,晶状体轻度混浊,玻璃体无混浊;视乳头充血水肿。
如VEP为各波潜伏期延长、波幅下降;眼底荧光造影为视盘高荧光;视野为巨大中心暗点;CT无异常;视力下降经验光试镜无法矫正。则诊断为()
- 患者,女性70岁,因双眼视力骤降半天就诊。检查:右眼视力0.02,左眼0.03,结膜无充血,角膜透明,角膜后沉着物阴性,瞳孔对光反射对称、迟钝,晶状体轻度混浊,玻璃体无混浊;视乳头充血水肿。下列有关本病的治疗原则中错误的为()
-
患者男性,4岁,家长发现其喜近视。国际标准视力表检查双眼远视力为0.5,近视力检查为J3,眼部未见明显器质性病变。
患者最不可能的诊断是()
-
患者男性,4岁,家长发现其喜近视。国际标准视力表检查双眼远视力为0.5,近视力检查为J3,眼部未见明显器质性病变。
对于患者的诊断最有帮助的检查是()
-
患者男性,4岁,家长发现其喜近视。国际标准视力表检查双眼远视力为0.5,近视力检查为J3,眼部未见明显器质性病变。
患者,喜近视的原因是()
-
眼球破裂伤可表现为
-
下列有关前部缺血性视神经病变说法正确的是()
-
眶尖综合征累及的颅神经是
-
患者,男性,60岁,双眼视物模糊,2年前曾做过白内障手术,既往无糖尿病高血压病史,其眼底检查如图,以下符合该病描述的是()
- 双眼视功能检查方法有
-
视网膜中央动脉阻塞(如图)的临床特征是()

-
关于AC/A下列哪些说法是错误的
-
哪种情况需要现代玻璃体手术()
- 下列哪些不是渐进镜比较理想的配戴人群
-
葡萄膜炎的病因与发病机制是()
-
下列哪些属于视乳头炎的病因
-
关节强直性脊椎炎()
- 原发性视网膜脱离的体征是
-
下列对婴幼儿青光眼(如图)叙述正确的是()

- 外睑腺炎是下列哪些腺体的化脓性炎症()
-
中间葡萄膜炎的病变部位为
-
出现青光眼术后浅前房的情况是()
-
目前,关于脉络膜恶性黑色素瘤的治疗,正确的是()
- 原发性闭角型青光眼发病机制有
-
晶状体病主要病变是哪些()
- 非调节内斜视的特点是()
-
关于先天性青光眼的描述是
-
白内障可按哪些不同方法进行分类()
-
屈光不正性弱视的叙述正确的是()
-
以下哪种药物可引起药物性白内障
-
引起(如图)真菌性角膜炎常见的原因是()

-
可说明视网膜内屏障受到破坏的体征包括()
- 暴露性角膜炎的病因主要有
-
角膜炎的治疗原则是()
-
道德义务和政治法律中的义务之区别是
-
ERG的a波、b波均下降符合以下描述
- 角膜的组织结构特点是()
-
近视根据屈光成分分类为()
-
在前房角内可见到()
-
有晶状体眼人工晶状体植入术的并发症包括()
-
眼内注射的优点包括()
-
不属于蚕蚀性角膜溃疡特征的有
- 有关对“病例报告”的叙述,正确的有
-
患者女性,25岁。诉左眼长一肿块3个月,伴疼痛3天。查体:双眼视力1.2,左上睑皮肤红肿,可扪及一硬结,压痛明显,相应结膜面呈紫红色,未见脓点,眼球检查正常。正确的处理有
-
Foster-Kennedy综合征的眼底表现为
-
Lawrence-Moon-Biedle综合征的特征有
- 非共同性斜视特点有
-
关于泪小管炎叙述正确的是
-
下列情况中,伴有传入性瞳孔障碍的有
-
羊膜移植手术的适应证有
-
患儿男,2天。双眼流脓1天,检查双眼红肿,睑裂处见大量脓液流出。下列叙述正确的是
-
患儿男,11岁。左眼角膜擦伤后8天,出现角膜溃疡及前房积脓。错误的治疗有
- 能够促进泪液分泌的药物有
-
有关Coats病,正确的有
- 不受眼球硬度影响的眼压计有
-
对于外睑腺炎早期治疗,正确的是
-
白内障人工晶状体植入手术后角膜发生水肿常见的原因()
-
可降低翼状胬肉术后复发率的手术方式有
-
关于视网膜母细胞瘤(RB),下面正确的是
- 关于眼球挫伤引起的房角后退的描述,正确的有
-
患者女性,71岁。生气后突然发生右侧剧烈头痛、呕吐、眼球胀痛及眼球充血。血压高达180/110mmHg,内科以高血压、脑血管小卒中而收入院,经内科降压及对症治疗症状缓解。但瞳孔仍大,留院观察治疗一月。出院后第二天,上述头痛眼胀复发,伴右眼视物模糊不清就诊于眼科。既往因类风湿性关节炎,长年口服强的松10mg/日。
根据病史,急诊最好应先进行哪些检查?
-
关于泪液的化学性质的说法,哪项不正确
-
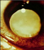
患者,男性,70岁,右眼胀痛1周入院。检查右眼视力0.06,结膜混合性充血,角膜混浊,晶状体膨胀,前房浅(如图),眼底不清,该患者最有可能的诊断是()


-
对于社会主义的人道主义,不正确的理解是
-
角膜细菌感染时,导致角膜损伤的主要细胞是()
-
该图最有可能是何种类型的白内障()

-
下面哪项不属于眼的屈光系统
-
眼眶蜂窝织炎包括哪些()
-
引起视物变形的疾病有
-
大致了解患儿视力情况的检查是()
-
双眼单视产生的条件中包括()
- 以下哪项不能用于治疗远视的是()
-
皮脂腺腺癌是眼睑的恶性肿瘤,多数起源于()
-
下列关于结核病的说法错误的是
-
过敏性结膜炎患者结膜的分泌物()
-
体现医师克已美德的做法是()
-
成年人最常见的眼内恶性肿瘤是
-
以下哪项不符合原发性视网膜脱离临床表现()
-
沙眼可导致()
-
检测脉络膜黑色素瘤发生肝脏转移最敏感的方法是()
- 真菌所致角膜溃疡的特点不包括( )。
-
中华人民共和国卫生部颁布的《医务人员医德规范及实施办法》这一文献的基本精神是()
- 角膜可分为5层,最厚的是( )。
-
男性,65岁,右眼视力骤降20分钟而来急诊。检查右眼无光感,眼底如图。你考虑需要首先进行的诊疗措施是()

-
患者男性,72岁,左眼被小孩头部撞伤5个小时,眼胀痛,视力下降,并有虹视现象。检查视力:右1.2,左0.1;眼压:右17mmHg,左43mmHg。左眼混合充血,角膜轻度雾样水肿,周边部前房12:00处约1/2CT,6:00处呈裂隙状,上方虹膜震颤,瞳孔稍散大,眼底看不清。本例最可能的诊断是
-
有关三面镜检查法的描述,错误的是
-
以下不属于非机械性眼外伤的有()
-
上睑下垂的治疗,错误的是()
-
下列哪种结膜炎易在结膜表面形成膜
-
某女,60岁,有高度近视眼病史,近半年来眼前可见黑色漂浮物,视力较前降低,做了眼底镜检查(如图)患者的可能诊断是()

-
成熟的白内障长期存在(未摘除)的患者继发了急性青光眼,首先应考虑的诊断是()
-
海绵窦疾患最先受累的脑神经是
-
男性,41岁,右侧眶外上方肿胀,可触及无痛性包块,CT及MRI检查如图所示,请选择最可能诊断()




-
下列表述最能全面反映伦理学概念内涵的是
-
关于急性视网膜坏死综合征,不正确的是
- 当颅内压高于多少mmHg(1mmHg=O.133kPa)以上时,视网膜中央静脉血流将停止()
-
患者男性,75岁,睑板腺囊肿切除术后复发,首先应排除()
-
有关脉络膜挫伤的描述,错误的是()
-
对虹膜后粘连的描述错误的有
- 关于虹膜睫状体炎的治疗是
-
下列属于难治性青光眼的有()
-
眼压高低的决定因素有
- 下面哪些药物是对晶状体有毒性作用的()
-
穿透性角膜移植的适应证()
-
下列关于巩膜炎葡萄肿的是
-
棘阿米巴性角膜炎穿透性角膜移植术的适应证是()
-
下述细胞中,细胞之间存在紧密连接的包括()
-
属于沙眼并发症的是
-
耳前淋巴结肿大常见于()
- 青光眼是我国主要致盲原因之一()
- 不属于眼表概念范围的是()
- 先天性睑裂狭窄综合征的表现有
- 基础分泌腺是指()
- 角膜异物时的刺激症状有()
-
突然视力下降伴眼痛的眼病有
-
有关单纯疱疹病毒性睑皮炎描述正确的是()
- 弱视患儿的视功能检查包括()
-
关于巩膜,正确的描述是
-
色素上皮细胞层的生理功能有()
- 硬性角膜接触镜的作用包括()
-
"视觉2020"行动将下列哪些疾病列为重点
-
视盘水肿与视盘炎(如图)的鉴别主要依据是()


-
眶上裂的组成为
-
患者,女性,25岁,右眼视力下降3天,检查右眼视力1.0,眼前段(-),眼底检查如图,属于该病临床特征的是()

-
关于先天性特发性眼球震颤的说法,哪些是正确的
-
需与年龄相关性黄斑变性鉴别的疾病有
- 葡萄膜易受到自身免疫、感染、代谢、血源性、肿瘤等因素影响,与下列哪项有关()
-
前葡萄膜炎时,引起继发性青光眼的原因
-
(如图)关于急性泪囊炎的描述正确的是()

-
有关视神经炎,下列说法正确的有()
-
飞蚊症是指()
- 前房角是指
-
下列哪种疾病不引起眼球突出
-
皮样囊肿(如图)最好发于()

-
脉络膜脱离的B超特点不包括()
- 关于黄色瘤,以下说法正确的是
-
环形暗点属于青光眼哪期视野缺损()
-
()是指人具有最高价值,医学界应该尊重、同情、关心、救助服务对象的思想。
-
有关眼睑接触性皮炎,错误的是()
- 外伤性眼内炎治疗首选
- 下列备注答案中,哪-个属于逆规散光
-
某患者眼睛偏斜,眼位检查如图,考虑麻痹肌为()

-
下列哪一项不能增加滴眼药后眼部对药物的吸收()
-
睑外翻的病因中不包括
-
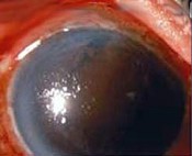
(如图)患者,男性,右眼剔除角膜异物后一天,有畏光、流泪、视力下降,检查右眼视力O.1,无法矫正,结膜混合充血,角膜表面见3mm×2mm大小的黄白色坏死灶,周围水肿,前房积脓1mm,最可能的诊断是()

-
在医德评价中,自我评价方式及主观评价力量是指
- 关于眼的血液供应,正确的是( )。
-
为了看清近距离目标,需()
-
睫状后长动脉斜穿进入巩膜处位于()
-
眼部滴用的糖皮质激素的适应症不包括
-
Herbert小凹主要见于()
-
目前广泛应用的人类生育控制技术不包括()
-
全世界致盲的首位原因()
-
闭角型青光眼急性期临床表现不正确的是
-
视网膜前出血是指()
-
中心暗点不常见于
- 影响药物透过角膜的因素不包括( )。
-
上睑退缩和滞后见于()

-
Gullstrand简易模型眼的特点是()
-
发病多为儿童的肿瘤不包括()
-
一过性视力丧失的眼病不包括
-
好发于睑缘皮肤粘膜移行处的是()
-
下列著作中,属于张仲景的著作是()
- 关于缺血型视网膜中央静脉阻塞描述正确的是()
-
关于眼心反射,下列哪些说法是错误的
-
以下为缺血型视网膜中央静脉阻塞及虹膜新生血管的危险因素是()
-
先天性上斜肌麻痹的手术指征
-
下面对家族渗出性玻璃体视网膜病变正确的是()
-
像差的主要类型有
-
诊断玻璃体后脱离可采用以下哪些方法()
-
球后视神经炎的视野改变中正确的有
-
患者,男,诉左眼胀痛,检查左眼视力0.8,裂隙灯检查如图,对该病描述正确的是()

- 视网膜脱离的高危因素有
-
下列属于青光眼功能检查的是()
-
全身或局部使用可使泪管发生阻塞的药物包括()
-
Behcet病诊断标准为
-
有关色素性青光眼(如图)的描述正确的是()

-
玻璃体混浊、眼底朦胧时,适合的检查方法是()
-
关于小梁切除术,正确的有
-
早期出现视力下降的白内障见于()
- 眼球内陷可见于()
-
原发性开角型青光眼治疗原则
- 下面哪些白内障的名称属于按病因分类的是()
-
缺血型视网膜中央静脉阻塞可能出现()
-
以下哪种情况易引起放射性白内障
-
角结膜皮样瘤内可含有()
- 发育来源于神经外胚叶的有()
-
肌动脉的外肌支供应哪些肌肉()
-
细菌性角膜炎发病的危险因素有
-
感染性角膜炎病原体包括()
-
护患关系中主动被动型适用于
- 关于视神经脑膜瘤,错误的是()
-
新生儿出生后应常规应用
-
涡静脉共有几条
-
儿童双眼视觉发育完成的年龄是
-
共同性斜视的特点为()
-
位于肌圆锥内的疾病是()
-
溃疡性睑缘炎的治疗方法错误的有
-
前房变深,虹膜震颤是皮质性白内障发展到了哪一期()
-
为了切实做到尊重病人自主性或决定。医生向病人提供信息时要避免
-
由展神经支配的眼肌有()
-
与远视眼无关的是
- 准分子激光光屈光性角膜切削术(PRK)治疗远视时,切削角膜()
-
对玻璃体后脱离,说法错误的是()
- 先天性梅毒的眼部表现不包括( )。
- 有关结膜皮样脂肪瘤描述正确的是()
- 是指通过基因水平的操纵而达到治疗或预防疾病的疗法
-
已知视网膜动脉阻塞最常见的原因是
-
关于动脉炎性前部缺血性视神经病变描述错误的是()
-
眼内激光显微镜系统可用于下列哪些疾病的检查()
-
下列哪项属于白内障超声乳化术的优点
- 治疗圆锥角膜的方法有哪些()
-
利用同视机,可检查()
-
角膜炎的病因有
-
(如图)单孢病毒性角膜应用糖皮质激素的作用是()
-
生命神圣论在现代社会中日益显示出的不足之处是
-
眼化学伤后当时的主要治疗包括()
-
应严格消毒隔离的眼病是
-
一位老年女性,自述睑裂区有一新生物,眼部表现及病理(如图),下列说法正确的是()


-
提高白内障手术效率还应当掌握防盲治盲工作的“三A”原则是()
-
穿透性角膜移植失败的高危因素有()
-
沙眼的诊断条件有
-
对衣原体敏感的药物是()
-
房角后退体征()
-
眶上裂综合征可出现()
-
睑板腺囊肿的特点有
-
有关泪液膜功能描述正确的有()
-
角膜异物(如图)剔除后随访应注意()

-
关于睫状神经节的描述,正确的是()
-
重症肌无力有以下特点
-
(如图)患者左眼内眦部红肿,疼痛3天,该疾病正确的治疗是()

-
甲状腺相关性眼病可包括下列哪些()
-
经济发达地区盲的主要原因()
-
突然视力下降无眼痛可见于
-
患者出现交叉复视提示哪些肌肉麻痹()
-
一过性视力丧失可见于以下疾病
-
以下眼无痛性视力下降的有()
-
引起共同性斜视的病因包括()
-
角膜组织的发育来源于()
-
关于Gullstrand精密模型眼()
- 前房大量积血治疗不及时可引起()
-
眶上壁由哪些骨构成()
-
睑内翻的病因包括
-
慢性泪腺炎常见的临床体征为()
-
关于神经麻痹性角膜炎,下列哪项不正确
-
对于视网膜中央动脉阻塞(如图)的急诊处理不包括()

-
视网膜脱离复位术后视力预后的关键因素是()
- 前房角镜检查时,依Scheie前房角分类法,能看到巩膜突者为( )。
- 噪声可造成以下眼部损伤,但不包括()
-
远视眼易发生()
-
患儿,男,8岁,发现左眼眶上缘肿块1个月。检查:双眼视力1.2,右眼无异常,左眼眶缘外侧可触及圆形光滑肿物,直径约7mm,边界清楚,活动度好,B超及CT均显示眶上缘囊性物,囊内为液性暗区。初步诊断为()
-
关于鳞状乳头状瘤,何者不对
-
一患者因乳腺癌行乳房切除术后1年来复查,见视盘颞侧有大量的深灰色隆起,(如图)诊断考虑是()

-
视网膜中央血管系统的发育始于()
-
女,28岁,右眼红、疼痛1天,有定期发作史。检查见右眼视力1.2,右眼颞侧巩膜表层血管迂曲扩张,色鲜红,局部有压痛,余无明显异常。最可能的诊断是()
- 角膜组织( )损伤后由瘢痕组织替代。
-
患者,男,3岁,发现左眼球突出逐渐加重6月,视力不配合。右眼前节及眼底未见异常。左眼睑肿胀,颞侧结膜下可见透明水泡样肿物,角膜透明,眼底未见异常。左眼向前下方突出,眼眶颞上方可扪及一圆形肿物,质软,B超示肿瘤形状不规则,边界不圆滑透声区,其中有大小不等间隔,具有轻度可压缩性,最可能的诊断是
-
儿童眼球突出最常见的原因是()
-
患者,女性,35岁,右眼畏光、流泪1周,既往反复发作5年。眼科检查:Vos0.4,右眼结膜混合充血(++),角膜荧光素染色见弥漫点状着色,基质盘状水肿,可见KP,房水闪辉(+)。可能的病原体为()
-
手术时切口在睑皮肤面,与睑缘平行的疾病是
-
如果晶状体核的颜色为琥珀色的,硬度应为()
-
()是把外在的社会道德规范要求转化为医务人员的内在的自身医德信念,是医学伦理学的最终归宿。
-
一正视者能看清的最近视标离眼球表面的距离为10cm,其调节幅度为
-
视网膜脱离可分为
-
患者,女性,35岁,双眼视力突然下降,同时伴有头痛、耳鸣、听力下降、毛发变白,查见右眼视力0.1,左眼0.08,角膜后KP阳性,前方闪辉阳性,眼底检查如图,对该病描述正确的是()

-
白瞳症可见于
- 下列可增加葡萄膜巩膜通道房水外流的是()
-
可造成眼睑接触性皮炎的物质有()
-
急性虹膜睫状体炎与急性闭角型青光眼主要鉴别点为
-
新生血管性青光眼(如图)治疗需要()

- 不适合应用免疫抑制剂的是()
- 关于闭角型青光眼治疗
-
在白内障进展过程什么时候易出现晶状体溶解性青光眼()
-
眼球后退综合征的主要特征是()
- 下列哪项是原发性闭角型青光眼与开角型青光眼的共有特点
-
皮质性白内障按其发展过程分哪几期()
-
角膜移植排斥反应包括()
-
视力明显障碍的先天性白内障为
- 可引起角膜穿孔的角膜病变是()
-
具有阶级性的道德范畴是
-
玻璃体抗原性极弱的原因有()
-
组织学上把角膜分为
- 常伴有较多脓性分泌物的角膜炎常见于()
-
老年病人护理难度大是由于他们
-
哪些眼内小异物可暂不做手术,而随诊观察()
-
结膜炎时,结膜对致病因子反应的主要形态为
-
过敏性结膜炎的分泌物常为()
-
新中国成立以前以下哪些是致盲的主要原因()
-
角膜软化症治疗原则包括()
-
泪膜构成是由
-
衣原体性结膜炎包括()
-
对玻璃体后脱离,说法错误的是()
- 先天性梅毒的眼部表现不包括( )。
- 有关结膜皮样脂肪瘤描述正确的是()
- 是指通过基因水平的操纵而达到治疗或预防疾病的疗法
-
已知视网膜动脉阻塞最常见的原因是
-
正常情况下在眼表的泪液中球蛋白占的比例()
-
下列哪项不是白内障囊外摘除术的优点
-
男,3岁,家长发现右眼瞳孔发白3个月(如图),眼眶CT如图,对该病描述错误的是()



-
最适宜观察角膜内皮细胞的照明法是()
-
前房角镜检查时,依Seheie前房角分类法,能见到前部小梁者为
-
正常人行眼底荧光血管造影检查(如图),臂-视网膜循环时间大约()


- 眼球钝挫伤的常见原因不包括下列哪一项?( )
-
以下关于视神经炎与球后视神经炎,说法错误的是()
-
结膜下出血常见于
- 玻璃体后脱离是在什么基础上发生?( )
- 房角切开术的适应证( )。
- 向远方看物体时,瞳孔应是( )。
-
睫状后短动脉可供给视网膜的()
-
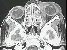
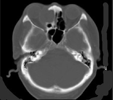
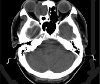
41岁女性,右眼胀痛、眼球外突3月余,体检,发现低头时右侧眼球外突加重,CT检查如图所示,请选择最可能诊断()




-
白内障手术后最严重的并发症()
- 治疗闭角型青光眼的一线药是( )。
-
沙眼"视觉2020"行动制定"SAFE",包括()
-
双鼻侧偏盲可见于
-
(如图)带状疱疹性睑皮炎描述正确的有()

-
麻痹性斜视的临床表现为()
-
可导致泪溢的包括
-
视力障碍包括()
- 麻痹性内斜的临床特点包括()
- 下述关于视力表述正确的为
- 眼科学研究的视觉器官包括()
-
有关屈光性近视的说法正确的是()
-
关于角膜的解剖正确描述是
-
下列关于晶状体的说法正确的是()
-
近视的矫正包括()
-
眼科流行病学的分析性研究有()
- 以下哪项疾病表现为一致性双眼同侧偏盲()
-
关于脉络膜破裂正确的是
-
以下说法不正确的是()
-
下列论述甲状腺相关性眼病正确的是
-
结膜充血的特点是()
-
医疗仪器,尤其是高科技手段大量进入临床,要求临床医师注意防范的伦理问题包括
-
戴角膜接触镜可能导致的并发症有()
-
可累及角膜的眼病
-
Herbert小凹是指()
- 眼化学伤的严重程度取决于()
-
睑腺炎有可能形成眼睑蜂窝织炎的情况有
-
眼表面包括()
-
挫伤性晶状体脱位()
- 三原色学说中的三种基本颜色是指()
-
符合Marfan综合征的有
-
慢性泪囊炎的常见致病菌为()
-
有关泪液膜中的脂质层描述正确的是()
-
眼球钝挫伤易造成哪部分破裂()
-
参与角膜营养作用的有()
-
真菌在下列条件下易致眼组织损伤
- 有关慢性泪腺炎描述正确的是()
- 眶上裂综合征是下列脑神经受累()
-
有效减少我国儿童盲的措施是()
-
流行性角结膜炎传染期一般为()
-
结膜炎患者结膜充血的原因()
- 细菌性结膜炎患者结膜的分泌物为()
- 耳前淋巴结肿大和压痛最常见于( )。
- 结膜细胞学检查时可见大量的嗜酸性粒细胞和嗜酸性颗粒时应考虑()
- 有关结膜色素痣描述正确的是()
- “阿波罗11号结膜炎”是指
-
由金黄色葡萄球菌导致的非感染性结膜炎是()
-
(如图)感染阿米巴角膜炎常见于下面哪一项原因()

-
下面哪一种药物不能用于树枝状和地图状角膜溃疡的治疗()
- 治疗铜绿假单胞菌性角膜溃疡的首选药物是()
- 圆锥角膜早期有效的诊断方法是( )。
-
周期性表层巩膜炎临床特征是()
- 后巩膜葡萄肿位于眼底后极部及视盘周围,多见于下面哪种疾病?( )
-
严重的巩膜炎或出现无血管区禁用哪一项治疗()
-
赤道部巩膜葡萄肿多为哪种疾病的并发症()
-
(如图)坏死性巩膜炎明显的症状是()

-
女性,76岁,左眼昨天行超声乳化及人工晶状体植入术,今检查人工晶状体夹持,最先考虑的治疗方法是()
-
后房型人工晶状体使物像放大()
-
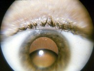
患者,女性,40岁,右眼胀痛2天伴同侧额部疼痛。检查结膜混合性充血,角膜混浊,周边房角浅,眼底如图,该患者最有可能的诊断是()
- 血-视网膜外屏障位于( )。
-
不起于眶尖Zinn总腱环的眼外肌是
- 正常成年人角膜横径约为( )。
-
导致慢性泪囊炎的主要病因是
-
慢性泪囊炎的主要症状是
-
患者,女性,56岁,左眼溢泪2个月余。查体:左眼视力1.0,左侧泪道冲洗时有阻力,冲洗液全部由另一泪点反流,伴黏性分泌物流出,余未见异常。考虑诊断为
-
患者,男性,3个月,出生后2周右眼开始流泪。查体:右眼下睑内侧红肿,压迫泪囊可见脓性分泌物自泪小点排出。可能的诊断是
-
25岁女性,右眼视物模糊,伴眼球转动痛5天。5天来视力进行性下降,既往体健。眼科检查:Vod0.2,Vos1.0,右眼瞳孔相对传入障碍,眼球运动正常,眼底正常。视野检查右眼中心暗点。最可能的诊断是
-
22岁男性,突然左眼视力下降,视力0.1,左眼瞳孔相对性传导阻滞,视野中心暗点,左侧视盘水肿,诊断为
-
弱视病因或诱因有()
-
眼球贯通伤可引起()
- 可以矫正老视的眼镜()
-
眼外伤后明显低眼压要考虑()
-
视交叉的病变包括()
-
常累及双眼有以下哪些疾病()
-
铁锈症的表现为()
-
玻璃体视网膜界面异常有()
-
角膜结核的主要临床表现是()
-
表现为双眼同侧偏盲有以下哪些疾病()
-
角膜各层中,损伤后不能再生的有
-
关于重症肌无力的叙述,正确的是
- 有关正常眼压性青光眼的叙述,正确的有
-
内转肌有
-
眼底病激光治疗所利用的激光效应有
- 关于先天性泪道阻塞,描述正确的是
- 关于泪腺多形性腺瘤的影像学表现,正确的是
-
暴露性角膜炎常见原因包括
-
为防止青光眼滤过性手术因瘢痕形成而失败,采取的措施有
- 屈光手术的视光学原则包括
- 810nm波长的激光可以进行
- 眼睑常见的良性肿瘤有
-
接触性睑皮炎的治疗中哪些是正确的
-
先天性睑裂狭小综合征会出现的表现是
- 玻璃体切割术中操作应注意()
- 白内障术后引起低眼压、浅前房的原因是
- 适合治疗大疱性角膜病变的措施有
-
Nd:YAG台激光人工晶状体前膜切开术禁忌证包括()
-
高度近视引起的并发性白内障混浊部位多为()
-
高度正球面镜片可使物像放大()
-
半乳糖性白内障的治疗一般为()
-
正常婴儿角膜横径约()
- 测量高眼压病人较准确的眼压计是( )。
-
急性闭角型青光眼常有()
- 急性闭角型青光眼好发于( )。
-
降低碳酸酐酶抑制药副作用的最有效方法为()
-
一位农民不慎头部受伤,当时没有明显不适感觉。数月后,右眼内斜视,左眼眼位正常,可能的原因是()
-
脉络膜含有丰富的血管,血液主要来自
-
支配上斜肌的神经是
-
创伤后,角膜各层中再生能力最强的是
-
对急性泪囊炎的表述错误的是
-
急性泪囊炎不应该进行下列哪项处理
-
先天性泪道阻塞患者多大可以考虑行泪道探通术
-
对获得性泪道阻塞,应重点追问病史,包括
-
关于泪囊鼻腔吻合术,下列说法不正确的是
-
患者,女性,65岁,确诊为右眼慢性泪囊炎,术前查体:右眼泪囊区皮肤无红肿,泪道冲洗时,冲洗液全部反流伴黏性分泌物排出,泪囊碘油造影显示泪囊明显萎缩,余未见异常。目前采取的最佳手术方案是
-
患者,女性,65岁,1年前曾行右眼泪囊摘除术,术后右眼下睑仍间断出现红肿,鼻侧结膜充血,压迫下睑内侧,可见少量脓性分泌物从下泪小点排出,泪小点水肿。余无异常。可能的诊断是
-
52岁男性,晨起发现右眼视力下降,无疼痛及其他症状。原发性高血压病史5年,血压控制良好,1周来视力无明显变化。眼科检查:Vod0.5,Vos1.0,右眼视盘肿胀,相对瞳孔传导阻滞,下半视野缺损。左眼杯盘比0.1,色泽正常,黄斑中心凹反光清晰。诊断为
-
眶内组织钙化提示可能存在()
-
关于球后视神经炎可有()
-
下面属于眼球外伤的有()
-
视神经脑膜瘤的四联征包括()
-
眼球突出症可源于()
-
以下散光不正确的说法是()
- 可引起眼球突出的疾病有()
-
后巩膜加固术的材料选择可有()
- 与AC/A的大小有关的是()
- 对维持光感受器微环境具有重要作用的功能整体的组成()
-
眼球后血肿可引起()
-
白内障是致盲的主要原因()
-
以下哪些为垂直斜视的病因()
-
关于Irvine-Gass综合征的叙述,正确的有
- 对Coats病的视网膜血管异常的描述中,正确的有
-
Young-Helmholtz三原色学说中的三原色有
- 眼球后退综合征的主要表现有
- 闭角型青光眼首次手术的手术方式是
- 关于泪囊鼻腔吻合术,下列说法正确的是
-
下列哪些是泪腺恶性肿瘤的表现
-
晶状体的上皮细胞在出生后位于
-
关于视网膜分支静脉阻塞的叙述,正确的是
- 视网膜震荡主要表现为
-
可引起电光性眼炎的有
- 板层角膜移植的适应证包括
- 下列黄色瘤的特点中正确的是
-
关于泪道功能不全的叙述,正确的是
-
眼球摘除术联合眶内羟磷灰石植入物手术的并发症包括
-
虹膜睫状体挫伤可引起
-
闭角型青光眼一般选择以下哪些手术方式
-
不属于我国社会主义医德基本原则的内容是
-
慢性结膜炎常见的非感染性致病因素为()
-
睫状体挫伤可出现()
-
关于泪器的说法,正确的是()
-
诊断接触性睑皮炎的要点包括
-
结膜下血肿(如图)应考虑()
-
参与血-房水屏障构成的有()
-
糖尿病引起的眼部并发症包括
-
关于图中所示疾病说法正确的是()

- 诊断眼眶肿瘤最可靠的方法是()
-
防盲治盲的"三A"原则()
-
视力下降而眼底正常者见于
-
治疗原则上应先戴镜治疗的斜视类型()
-
结膜炎患者结膜水肿的原因()
-
结膜炎患者结膜水肿的原因()
- 急性或亚急性结膜炎的潜伏期( )。
- 可导致流行性出血性结膜炎的是( )。
-
以下哪项检查有助于圆锥角膜的早期确诊()
-
白内障手术率是指
-
在第一眼位时,有外旋作用的直肌有
-
按眼球震颤的方向分类,不正确的类型是()
-
Kappa角为阳性说明()
-
不符合眦部睑缘炎临床表现的有
- 皮质性白内障膨胀期和初发期的临床表现不同之处是( )。
-
关于医患双方权利与义务的下述口号和做法中。不可取的是
-
鼻窦感染较易累及眶内,主要是由于()
-
角膜塑型术时,OK眼镜()
-
血-房水屏障的组成是()
- 不符合真菌特点的是( )。
-
患者,男性,20岁,右眼红3天就诊,眼部检查(如图)所示,角膜透明,诊断为()

- 在生物医学模式以及现代社会背景下的医患关系呈现的倾向正确的是
-
对看不见眼底的大量玻璃体积血患者,最有价值的检查是
-
使用激素治疗只能缩短病程,但长期疗效不确切的疾病是()
- 检查视力时需注意
-
泪膜的生理作用是()
- 屈光不正包括()
-
睫状体部的正常结构有()
-
下列哪些是高度近视的症状()
-
眼科流行病学研究的范围有()
-
有关视神经炎,下列说法正确的有()
-
关于前房积血的处理正确的是
-
可引起视盘水肿(如图)有以下哪几项()

-
眼眶良性肿瘤手术治疗原则为
-
裂孔性视网膜脱离与下列哪些因素有关()
-
共同性外斜视的分类方法正确的是
- 逐渐视力下降无眼痛可见于
-
老年性睑外翻的常见病因是()
-
可引起白瞳症的眼病有
-
可比较精确了解患儿视力情况的检查是()
-
眼球震颤的性质包括()
- 一般认为角膜缘的后界止于( )。
-
下列几种药物中,哪一种可以减少房水分泌()
-
眼球固定液的组成包括()
-
为检查角膜上皮是否有损伤,可用荧光素钠染色后再检查,荧光素钠的浓度应为
-
根据Speath术后浅前房分级法,全虹膜接触角膜内皮属于
-
关于睫状长神经,说法正确的是()
-
不属于中性粒细胞中毒性改变的是
-
诊断弥散性血管内凝血(DIC)最有意义的试验是
-
无昼夜分泌节律性变化的是
-
在前房角镜下,前房角关闭是指()
-
屈光参差较大时的常用矫正方法为()
- 共同性外斜视的主要治疗方法是( )。
-
眼外肌的特点中,错误的是()
-
不属于免疫缺陷性疾病的是()
-
老年性睑外翻首选的手术方法,正确的是()
-
甲状腺相关性眼病的典型眼部表现除外
-
下列黄色瘤的特点中错误的是
-
玻璃体积血的病因不包括下列哪项
-
下面飞蚊症患者玻璃体表述正确的有
- 动脉硬化不包括
- 角膜结核的临床表现中最常见的是( )。
-
关于视网膜脱离的描述,正确的是
-
甲状腺相关眼病早期最常见的眼征是
-
关于激光的特点描述有误的是
-
关于眼电图(EOG)叙述有误的是
-
视网膜脱离的部位是在
-
下列哪种睑内翻最不常见
-
激光治疗青光眼有以下几种方法,其中哪项疗效最好()
-
关于家族性渗出性玻璃体视网膜病变错误的是()
-
Vossius环见于哪种白内障()
-
睑缘之间水平分布的角膜表层混浊最可能是()
- 关于泪膜的结构,正确的是()
-
黄色瘤患者合并有血脂异常的比例是()
-
球后麻醉时封闭睫状神经节达到镇痛作用,是由于睫状神经节含有()
-
不属于近用助视器的是()
-
皮质盲的临床特征为以下哪些()
-
关于星状玻璃体变性正确的是()
-
下列哪项没有无痛性视力下降()
-
首次病程记录的书写要求和内容中,下列哪项是正确的
-
关于术前小结以下哪点有错
- 下面关于麻醉通气机的描述不正确的是( )。
- 关于骶管裂孔,哪一项不正确?( )
- 气道内径缩小一倍,呼吸阻力增加( )。
- 正常胎儿血液循环的特点是( )。
- 房颤对循环功能的干扰主要在于( )。
- 用强心苷治疗心力衰竭的患者,麻醉时使用琥珀胆碱可产生( )。
- 下列叙述哪项是错误的?( )
- MEAC是( )。
- 近期反复使用最可能导致肝坏死的吸入麻醉药是( )。
- 落实( )管理措施,为患者提供安全、秩序良好的就医环境。
- 该患者最可能的诊断是()
-
患者玻璃体积血大部分吸收后,应做的辅助检查为()
-
此时首先要考虑的疾病是
-
以下措施中不符合治疗原则的是
-
此患者最可能的诊断是
-
下列不属于该病诊断标准的是
-
该病常见的并发症包括
-
根据以上临床表现,初步的诊断是
-
结膜刮片染色镜检最常见到的细胞类型是
-
患者发病后3周,角膜上皮下浸润加剧,此时应选择的治疗方案是
-
此患者的初步诊断是
-
在下述治疗措施中不正确的是
-
最可能的诊断是
-
如果该肿物为双眼均发生,且伴有副耳,则可称为
-
如果该肿物进一步发展,遮挡瞳孔光学区时,首选的治疗措施是
-
最可能的诊断是
-
该病常见的并发症不包括
-
应选择的治疗方案是
- 最可能的诊断是()
- 首先应进行的检查是()
- 首先应立即采取的治疗措施是()
-
对于该患者的诊断是
-
对于该患者还需注意的全身其他异常情况是
- 该患者的治疗方案不恰当的是
- 该患者右眼诊断为
- 对右眼应选择何种治疗方案为宜
- 白内障手术方式选择
- 可能的诊断为
- 下面治疗方法中不正确的是
- 可能的诊断是
- 此病好发于
- 治疗首选
- 手术前最需要做的检查是
- 下列选项中最能帮助诊断的检查是
- 该患者行眼眶CT检查显示,病变位于泪腺窝,呈类圆形,边界清楚,均质的高密度影,眶骨无破坏。目前最有可能的诊断是
- 首选的治疗方案是
- 可能的诊断是
- 下列处理中错误的是
- 若处理不当,该病可危及生命,因其可演变成
- 可能的诊断是
- 下列处理不当的是
-
患者最可能的诊断是
-
患者的最佳治疗方案是
- 患者最可能的诊断是
-
患者还需做哪些辅助检查以明确诊断
-
本病的治疗方案是
-
患者最可能的诊断是
-
患者还需做哪些辅助检查以明确诊断
-
本病的治疗方案是
- 该病例的诊断是
- 若该患者右眼行小梁切除术,术后病人出现前房完全消失,查:视力:右0.4,左1.0,眼压(NCT):右:40mmHg,左16mmHg,可能的诊断是
- 此时对于病人的处理不正确的是
- 进一步的治疗
-
FFA检查结果所示:后极部弥散的针尖点状强荧光,荧光素渗漏,晚期多灶性湖样强荧光积存。ICGA示:早期脉络膜毛细血管迟缓充盈,脉络膜后极部多灶性通透性增加。OCT示黄斑区神经上皮层脱离,视乳头水肿。可能的诊断
-
为明确诊断,需要进一步的眼科检查
-
患者正确的诊断应该是
-
接诊患者后首选的治疗方式应该是
-
患者经治疗后眼压下降至正常,此时对指导治疗最有价值的检查项目是
-
该患者的初步诊断为()
-
患者最重要的治疗是()
-
该患儿若要诊断早产儿视网膜病变的关键依据是
-
若复查中见到分界线抬高、加宽并形成嵴,其严重程度属于
-
若复查中见到分界线抬高、加宽并形成嵴,应该采用的处理方案是
-
门诊首诊时,为帮助诊断,首先需要给予的检查是
- 若左眼B超提示后极部局部隆起,首先考虑
-
若眼底检查见上1/3视网膜有变性区,下方2/3视网膜看不见,但B超未提示视网膜脱离,从病情角度考虑,最好的治疗方法是
-
为帮助诊断,门诊首先应做什么检查
-
右眼底检查发现:视盘充血水肿,边界不清,视网膜静脉高度迂曲扩张,血管旁大片出血,视网膜水肿,黄斑水肿。对侧眼眼底未见出血渗出。考虑诊断
-
若1个月后FFA显示有大面积无灌注区,其治疗应选择
-
可能的诊断为()
- 为寻找病因应进一步做()
-
如保守治疗无效,患者仍症状明显,何时可采取手术方法矫正斜视()
-
应诊断为()
- 该病例由远视引起的内斜度是()
-
该病例的这种内斜属于()
-
该病例剩余的内斜度应()
-
最可能的诊断是()
- 该病例发生最常见的代偿头位是()
-
该病例不需要马上做的处理是()
-
该病例的复视像性质()
-
该病例的治疗方法是()
-
该患者的碱烧伤属于()
-
为减轻炎症反应,可在哪段时间内用皮质类固醇激素()
- 目前的治疗手段错误的是()
-
晚期可能出现的并发症有()
-
晚期可采取的治疗措施错误的是()
-
首先应特别注意的是()
-
眼部最可能的损伤是()
-
首先应做的检查是()
- 应立即采取的治疗方法是()
- 手术方法正确的是()
-
本病例首先需要做检查的项目是
-
本病例最可能的诊断是
-
本病例最佳的处理方法是
-
本病例若处理不当,最严重的并发症是
-
本病最可能的诊断是
-
除以上临床表现及影像学改变,以下检查最有助于诊断的是
- 上述眼外肌肥厚最常累及的是
-
该病的病理变化不包括
-
本病选择下列哪些检查有助于临床诊断
-
若本病CT检查提示左眼视神经中段呈肿块样增粗,肿物边界清楚,内密度高、均匀,CT值+60~+80HU,增强扫描可以中度强化。则该患者最呵能是下列哪个诊断
-
本病最佳的治疗措施是
- 对诊断有决定性意义的检查是
- 为了解患者肾脏形态改变,最有价值的检查是
- 最可能的诊断是
- 应该采取的合理治疗措施是
- 为明确诊断应采用的检查是
- 发现其肿物为脓液黏稠有粪臭,考虑感染的病原菌为
- 首选的抗菌药物是
- 拟诊考虑为
- 应首先选择的检查为
- 若该患者出现感染性休克,会出现
- 如治疗效果不好,最好应选择
- 最可能的诊断是
- 具有诊断意义的检查是
- 首选的治疗措施为
- 首选的检查是
- 对确诊最有价值的检查为
- 该患者发热的原因可能是
- 该患者最可能的诊断是
- 对诊断有决定性意义的检查是
- 双下肢水肿的原因是
- 最可能的诊断是
- 腹水的性质为
- 主要的治疗是
- 出现腹水的机制为
- 该患者拟诊为
- 贫血的原因可能为
- 心率增快的原因是
- 该患者最有可能的诊断是
- 首选的检查为
- 主要应该鉴别的疾病是
- 应紧急施行的治疗是
- 关于黄疸的诊断,该患者符合哪项
- 该患者行胆红素测定时,可出现哪种改变
- 该患者的尿胆红素代谢检查可出现哪种改变
- 患者最初脐周疼痛其发生机制属于
-
下列哪一项不属于对疼痛特点的问诊
- 对该患者腹泻的分类和原因说法正确的是
-
该患者腹泻的发生机制是
- 有关诊断,哪种病可能性大
- 该患者吞咽困难属于
- 明确诊断,首选哪项检查
- 该患者尿频、尿急、尿痛出现的原因是
-
该患者出现少尿的可能原因是
- 该患者血透后出现血尿的可能原因是
- 其尿失禁为
- 其尿失禁的原因可能为
- 其基础病因是
- 排尿困难最可能的诱因是
- 排除尿道梗阻最简易可靠的检查方法是
- 考虑该患目前为以下哪种肥胖
- 该患目前属于以下哪种情况
- 患者今后生活中应进行哪些生活方式的干预
- 结合以上病例,以下哪项说法错误
- 该患者消瘦考虑与以下哪种情况有关
- 进一步做哪项检查有助于确诊
- 最可能的诊断是
- 该患者最可能的诊断为
-
不是诊断依据的是
-
该患者在抽搐发作时不会出现的情况是
-
该患者最可能的诊断为
-
该患者最适宜的治疗方法为
- 采集病史时应注意询问
- 对该患者诊断最有意义的检查为
- 该患者最可能的诊断是
- 该患者不可能出现的是
- 假设患者有食痘肉史,查体发现皮下结节,血常规化验示嗜酸性粒细胞升高,则抽搐最可能的病因是
- 若明确诊断,最佳检查是
- 患者还可能出现的面容
-
最可能的诊断是
- 此时患者的面容是
- 体检时首先注意
- 体检重点在
- 该患者最可能的诊断是
- 该患者若出现浅表淋巴结肿大,最先肿大组群可能为
- 该患者若出现上述淋巴结肿大,其性质最可能是
- 该患者如果出现浅表淋巴结肿大,最先肿大组群可能是
- 如果出现上述淋巴结肿大,其性质最可能是
- 检查患者左锁骨上淋巴结正确手法是
- 患者淋巴结特点应为
- 结合其他体征,抬举性心尖搏动的体征最可能是
- 周围血管征产生的原因最可能是
- 根据以上资料,该患者最可能的诊断为
- 如考虑动脉导管未闭,存在的最重要体征是
-
此患儿最可能出现的其他体征是
-
此患儿的诊断最可能是
-
如三尖瓣区听到收缩期杂音,提示存在
-
此患儿应注意的体征还有
- 可能存在的血流动力学改变是
- 诊断考虑为
- 该患者此时的诊断最可能的是
- 其肺动脉瓣区杂音最可能为
-
体检时可能出现的脉搏是
-
如考虑心包积液,心包穿刺的注意事项中,错误的是
-
如需与心力衰竭鉴别,最重要的心脏体征是有无
-
关于心尖部舒张期杂音是器质性或是相对性狭窄的鉴别,较不可靠的是
-
作相关血管检查时不可能存在的是
-
心脏触诊时,最可能发现的体征是
-
如欲明确诊断,需了解的最常见的病史是
-
根据周围血管体征,关于诊断考虑错误的是
-
如考虑主动脉瓣关闭不全,最重要的体征是
-
测量血压时,关于注意事项的描述中错误的是
-
若非同日3次及以上测量血压在(150~165)/(95~105)mmHg之间波动,则其血压水平为
-
如患者是高血压,其最可能出现的心音改变是
-
如患者脉压明显增大,应考虑
-
最可能是下列哪一种疾病
-
为了明确诊断,应采取下列哪一种辅助检查
-
如在腹部检查时扪及腹块,应出现在哪一个部位
-
该患者最可能患下列哪一种疾病
-
该患者可能发生下列哪一种并发症
-
如进行腹部检查,最具诊断价值的腹部体征是下列哪一种
-
为确诊疾病应选择下列哪一种检查手段
-
该患者不可能的诊断是
-
该患者首选下列哪项检查
-
下列诊断性治疗哪项最合适
-
为明确阴囊肿大的原因首选下列哪项检查
-
作阴囊触诊会有下列何种特征
-
该患者阴囊肿大最可能的原因为
-
根据现有病史,该患者最可能的诊断是
-
要鉴别前列腺的恶性或良性病变,简便无创的检查方法是
-
要排除患者是否合并尿路感染,应首选哪项检查
-
该患者首先应考虑的疾病是
-
该患者如做直肠指诊时可能有以下哪种特点
-
要明确诊断,下列哪项检查列为首选
-
根据以上病史,最可能诊断为
-
下列哪项检查作为首选
-
下列哪种病变特点可能不会出现
-
该患者体查时除肺部体征外,要注意有无下列哪种体征
-
下列哪项检查列为首选
-
X线片下哪种改变有特征性诊断意义
-
该患者的病史哪项应补充询问
-
椎体无压痛,弯腰45°时左下肢牵扯性疼痛,腰椎X线片未见异常。
根据病情,哪项检查最有意义
-
椎体无压痛,弯腰45°时左下肢牵扯性疼痛,腰椎X线片未见异常。
该患者最可能的诊断是
-
该患者在体查时应重点注意
-
下列实验检查项目应首选
-
该患者的诊断首先考虑的是
-
右侧鼻唇沟变浅提示
-
伸舌舌尖偏向右侧提示
-
右上肢肢体在床面上能水平移动提示
-
右下肢肢体能抬离床面,但不能抗阻力提示
-
根据上述检查结果提示患者存在
-
患者肌张力增高属于
-
根据上述检查结果最可能的是
-
如考虑是面神经损害,需进一步注意是否
-
如考虑是面神经损害性面部表情肌瘫痪,尚需注意检查是否
-
此患者的踝反射程度属于
-
如考虑是坐骨神经疼痛,重要阳性体征是
-
患者膝反射消失提示受累脊髓包括
-
根据膝反射消失的检查结果,可能同时出现的浅反射障碍有
Copyright 2023 上海欣师教育科技有限公司